Józsa László

Paleopathologia

Elődeink betegségei


A koponyalékelések gyógyulása

A beavatkozást nem, vagy csak pár nappal túlélőkön nincsenek gyógyulási jelek, a szélek élesek, a diploe gerendaszerkezete jól látszik a felszínen. Boyde és mtsai (1990) emberi koponyacsontgraftokon megállapították, hogy a gyógyulás menete független a beteg életkorától. Megfigyeléseikből kiindulva bonctermi anyagot vizsgáltam, pontosan ismertem a műtét és a halál közötti időtartamot. A koponyacsont-darabok macerálásával gyakorlatilag ugyanaz a csontszerkezet látható, mint az ásatag anyagban. A konszolidáció első jelei szabad szemmel kb. 4 héttel, mikroszkóposan 12–14 nappal a műtét után ismerhetők fel. Kezdetben a necroticus csontrészek felszívódnak, a diploe üregrendszere beszűkül, a gerendák és a külső-belső corticalis lemez megvastagszanak, 4 hét múltán szélei lekerekednek, a csontegyenetlenségek „eltűnnek”, 4–5 hónap alatt fonatos csont zárja le a diploe üregeit, a csontseb felületét beborítja. A későbbiekben nem változik a kép, annyi mondható, hogy a sérült legalább 4–5 hónappal túlélte a beavatkozást.
 
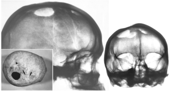
102. ábra. Többszörös trepanáció a falcsonton és homlokcsonton. A legnagyobb csonthiány szövődménymentesen, a kisebbek (amint ez a rtg képeken is jól látszik) osteomyelitises csontfelrakódással gyógyultak. 10–11. század, adultus férfi
 
Korábban 446 koponyán 15 esetben (3,4 %) találtunk sérülést és/vagy trepanációt (Pap és Józsa 1991). A négy nyílt koponyasérülés közül egyben, a négy lékelésből szintén egyben mutattunk ki fertőzéses szövődményt (102. ábra). Hasonló arányú szeptikus szövődményről számolnak be mások is (Bakay 1985, Bartucz 1966, Marino és mtsa 2000, Rifkinson-Man 1988). A 10–12. századi sebészek jó higiénés körülmények között, kevés vérveszteséggel, csekély szöveti roncsolással, a sérült csontrészeket gondosan eltávolítva végezték műtéteiket. A koponyalékeltek több mint kétharmada felgyógyult, sorsuk természetesen nemcsak a műtéti technikától, esetleges szövődményektől, hanem elsősorban a műtétet indokoló sérüléstől függött. A hazai leleteknek mindössze egyhetede a befejezetlen trapanáció, hasonlóan egyes dél-amerikai területek magas gyógyulási arányához. Anda (1951) számításai szerint a trepanáltak 69%-a több mint három hónappal túlélte a műtétet. Marino és mtsai (2000) a preinka és inka-kori lékelések tartós túlélési rátáját 70%-nak találták. Összehasonlításul néhány adat: a Nagy-Britanniában a trepanált koponyák 6%-ában (Parker és mtsai 1986), a 19. századi hazai anyag (Bartucz 1966) 10%-ban észleltek túlélést. Ezeknek ismeretében lehet igazán csodálni a 10–12. századi magyar gyógyítók műtéti eredményeit, amint Anda (1951) megjegyezte: „...a honfoglaló magyarok a korabeli orvosi ismereteket jóval meghaladó tudás birtokában voltak [ ] fejlett trepanációs ismeretekkel rendelkeztek”.

Paleopathologia

Tartalomjegyzék


Kiadó: Semmelweis Kiadó

Online megjelenés éve: 2026

ISBN: 978 963 331 721 1

Józsa László (1935) a Debreceni Orvostudományi Egyetemen végzett, majd Kecskeméten dolgozott 1968-ig. 1968–1999-ig az Országos Traumatológiai Intézet patológus főorvosa. Közben másfél évtizeden át a Tamperei Egyetem professzora. 1972-ben az Orvostudomány kandidátusa, 1980-ban akadémiai doktori minősítést szerzett. Őskórtani munkáit hosszú évtizedeken át folytatta.

A millecentenáriumra megjelent könyvében a honfoglaló és Árpád-kori népesség egészségi állapotát és betegségeit foglalta össze. Sokezer csontváz és jó néhány múmia makroszkópos és szövettani-hisztokémiai vizsgálata közben a rencens patológia legmodernebb eljárásait alkalmazta. Így sikerült enzimeket, köztiállomány alkotórészeket kimutatni egyiptomi múmia bőrében, XIX. századi múmia vesegyulladásában az immunglobulin-kicsapódást. „Amikor az egyetemen, vagy munkánk közben betegségekről tanulunk, rendszerint megismerjük annak első leíróját, megtudjuk a felfedezések időpontját, ki és mikor dolgozott ki valamiféle műtéti eljárást, vizsgálómódszert. Időnként elrévedünk: vajon mit tudhattak szakmai őseink, hogyan figyelhettek fel azokra a betegségekre, elváltozásokra, amelyek az emberiség életét már a történelem ködébe vesző évezredekben is keserítették. Ezekre, és hasonló kérdéseinkre kapunk választ Józsa László egyetemi tanár könyvében, aki évtizedeken át vizsgálta a föld mélyéből napvilágra kerülő emberi maradványokat, kórboncnokként összehasonlította a napjaink emberén kialakuló elváltozásokkal. Közben szorgalmasan gyűjtötte a kérdéssel foglalkozó világirodalmi adatokat.”

Dr. Cseplák György

A majd kétszáz fotóval gazdagon illusztrált könyv a történelem előtti vagy a későbbi korokból származó, emberi maradványokon található kóros elváltozásokkal foglalkozik. A téma éppúgy érdekli az orvost, állatorvost, őslénykutatót, régészt, antroplógust, humánbiológust vagy a történészt, történeti demográfust, múzeológust.

Hivatkozás: https://mersz.hu/jozsa-paleopathologia//

BibTeXEndNoteMendeleyZotero

Kivonat
fullscreenclose
printsave