Józsa László

Paleopathologia

Elődeink betegségei


A parazitás (féreg-) betegségek paleopathologiája

Az első féregbetegséget, a schistomiasist Ruffer közölte 1910-ben, a 20. dinasztia korából (Kr. e. 1250–1000) származó múmiák belében és hólyagkövében ismerte fel a féregpetéket. Később kiderítették, hogy az ókori Egyiptomban, Nubiában, Szudánban mumifikálódott tetemek fele, (kortól és nemüktől függetlenül) fertőzött (Miller és mtsai 1992). Zimmermann (1977) egyiptomi múmiában schistosomiasis szövődményeként májzsugorodást, mellékleletként szalagféreg petéket talált. Wei (1973) kínai női múmiában Schistosomát, ostorférgeket és fonálgilisztát (Ascaris lumbricoides) identifikált. Prekolumbián múmiában Enterobius vermicularis fertőzöttséget kórisméztek (Allison és mtsai 1974). A jégmúmiák nagy része trichinellosisban szenvedett (Wells 1984/85, Zimmermann és Aufderheide 1984), ami arra mutat, hogy az eszkimók által többnyire nyersen fogyasztott fókák húsában sem lehetett ritka a borsóka fertőzöttség.
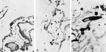
Az emberi bélférgesség epidemiológiájára vonatkozó adatok akkor szaporodtak meg, amikor rájöttek, hogy a szemét- és pöcegödrök anyagában, továbbá a csontvázak medencéjéből vett földben kimutathatók a féregrészek (Fry és Moori 1969). A talajmintákból Enterobius vermicularis, Diphyllobotrium pacificum (Araujo és mtsai 1983), Strongyloides stercoralis, Ascaris lumbricoides (Reinhard és mtsai 1988) petéjét azonosították. A H. sapiens sapiens, de talán már a neandervölgyi ember is szenvedett bélférgességben. A trópusi és szubtrópusi vidékeken és az állattenyésztők körében gyakoribb, a mérsékelt és hideg égövi területeken valamivel ritkább volt a helminthiasis (Wells 1984/85). Hazánkban elsőként Tóth (1996) ismert fel Taenia petéket a gyermek medencéjéből vett földmintában. A váci múmiák közül a 36 éves korában elhunyt pap-tanár spontán mumifikálódott tetemének béltartalmából sem flotációs, sem szedimentációs eljárással féreg részeket nem találtak, a vékonybél szövettani vizsgálata a parazita testének részeit és petéit megtalálta (119. ábra). A gyermekközösségben élt férfi valószínűleg cérnagiliszta (Enterobius vermicularis) fertőzésben szenvedett (Józsa és Pap 2000).
 
119. ábra. a) Cérnagiliszta (Enterobius vermicularis) részlete b) Féregpeték a béltartalomban c) Más fajhoz tartozó, de nem azonosítható bélféreg rostellumai 19. század, 40 éves férfi. Pikrosziriusz-festés, 150× nagyítás

Paleopathologia

Tartalomjegyzék


Kiadó: Semmelweis Kiadó

Online megjelenés éve: 2026

ISBN: 978 963 331 721 1

Józsa László (1935) a Debreceni Orvostudományi Egyetemen végzett, majd Kecskeméten dolgozott 1968-ig. 1968–1999-ig az Országos Traumatológiai Intézet patológus főorvosa. Közben másfél évtizeden át a Tamperei Egyetem professzora. 1972-ben az Orvostudomány kandidátusa, 1980-ban akadémiai doktori minősítést szerzett. Őskórtani munkáit hosszú évtizedeken át folytatta.

A millecentenáriumra megjelent könyvében a honfoglaló és Árpád-kori népesség egészségi állapotát és betegségeit foglalta össze. Sokezer csontváz és jó néhány múmia makroszkópos és szövettani-hisztokémiai vizsgálata közben a rencens patológia legmodernebb eljárásait alkalmazta. Így sikerült enzimeket, köztiállomány alkotórészeket kimutatni egyiptomi múmia bőrében, XIX. századi múmia vesegyulladásában az immunglobulin-kicsapódást. „Amikor az egyetemen, vagy munkánk közben betegségekről tanulunk, rendszerint megismerjük annak első leíróját, megtudjuk a felfedezések időpontját, ki és mikor dolgozott ki valamiféle műtéti eljárást, vizsgálómódszert. Időnként elrévedünk: vajon mit tudhattak szakmai őseink, hogyan figyelhettek fel azokra a betegségekre, elváltozásokra, amelyek az emberiség életét már a történelem ködébe vesző évezredekben is keserítették. Ezekre, és hasonló kérdéseinkre kapunk választ Józsa László egyetemi tanár könyvében, aki évtizedeken át vizsgálta a föld mélyéből napvilágra kerülő emberi maradványokat, kórboncnokként összehasonlította a napjaink emberén kialakuló elváltozásokkal. Közben szorgalmasan gyűjtötte a kérdéssel foglalkozó világirodalmi adatokat.”

Dr. Cseplák György

A majd kétszáz fotóval gazdagon illusztrált könyv a történelem előtti vagy a későbbi korokból származó, emberi maradványokon található kóros elváltozásokkal foglalkozik. A téma éppúgy érdekli az orvost, állatorvost, őslénykutatót, régészt, antroplógust, humánbiológust vagy a történészt, történeti demográfust, múzeológust.

Hivatkozás: https://mersz.hu/jozsa-paleopathologia//

BibTeXEndNoteMendeleyZotero

Kivonat
fullscreenclose
printsave