Józsa László

Paleopathologia

Elődeink betegségei


A táplálkozási zavarok indikátorai

A paleopathologiában jól ismertek azok az elváltozások, amelyek jelzik az időleges vagy tartós nutricionális elégtelenséget. Olykor felnőttek malnutriciója esetén is kialakulnak, többnyire azonban a gyermekkor éveiben átélt hiányos táplálkozásra adnak felvilágosítást. Az adekvát tápláléknak tartalmaznia kell:
  1. Energiahordozókat szénhidrátok, zsírok és fehérjék formájában.
  2. Esszenciális és egyéb aminosavakat és zsírsavakat, amelyeket a szervezet építőkövekként használ fel saját strukturális és nem
strukturális fehérjéinek és lipidjeinek szintézisében.
  1. Vitaminokat és ásványi sókat, amelyek koenzimként, hormonként vagy szerkezeti anyagként (kalcium, foszfor) vesznek részt az anyagcsere-folyamatokban.
Ha ezek közül egy vagy több komponens hiányzik a táplálékból akkor elsődleges, amikor felszívódási zavar, felhasználási anomália, vagy excess leadás miatt fokozott szükséglet alakul ki (és ezt a szervezet nem kapja meg), másodlagos táplálkozási elégtelenség keletkezik. A régmúlt korokban az éhezés sem volt ritka, de sokkal többször fordult elő malnutrició. Az étel elégséges az éhség csillapítására, esetleg a kalóriabevitel is megfelelő, de nem tartalmaz kellő mennyiségű fehérjét, vitaminokat és ásványi anyagokat. A protein-energia malnutrició főként a gyermekeket sújtotta, fogékonnyá váltak infekciókkal szemben, izomzatuk, bőralatti zsírszövetük fejletlen, növekedésükben elmaradtak, közvetlenül a malnutrició, vagy a fertőző betegségek miatt korán elhaltak. A vitaminhiány-betegségekben rendszerint több anyag hiánya együttesen jelentkezett. A C és D avitaminosis a vázanyagon is kimutatható, mások elégtelen felvétele nem hoz létre csonttüneteket. A minőségi malnutriciók egy része természeti adottságokból fakad. A mészkő hegységek az ivóvíz jódszegénysége miatt golyva-endémiásak. Sem fluor hiányra, sem fokozott fluor felvételre utaló csontkárosodás nem fordult elő a Kárpát-medencében, más tájakon viszont nem ritka a hyperfluorosis (Torino és mtsai 1995). Világszerte leggyakoribb a vashiányos állapot, napjainkban a magyar gyermekek 4%-a szenved vashiányos vérszegénységben (Bernáth és mtsai 1990).
 
120. ábra. Mindkét tibia distalis végén jól látszanak a Harris-féle harántvonalak (nyíl)
 
A Harris-vonal a növekedésben lévők táplálkozási elégtelenségének következménye, az epiphysisben a csontosodási vonal időlegesen lezáródik, majd a megfelelő étkezésre való visszatéréskor a növekedés ettől distal felé folytatódik. A Harris-vonalak a gyermekek és felnőttek vázanyagán egyaránt kimutathatók. Nem feltétlenül utalnak éhezésre, jelezhetik a viszonylagos elégtelenséget, ugyanis a lázas betegségekben romlik a tápanyagok hasznosítása, miközben a szervezet fehérje, vitamin és kalóriaigénye fokozott. A Harris-vonalak elhelyezkedéséből következtetni lehet, hogy a nutricionális zavar milyen életkorban következett be, számukból pedig a malnutriciós időszakok ismétlődése mondható meg. Elsősorban a tibiában, a femurban és humerusban, ritkábban az alkar és fibula, kivételesen a kéz és lábközép csontokban képződhet. A recens populáció rtg-felvételeinek 1-5%-ában is látszik. Bugyi (1972) arra hívta fel a figyelmet, hogy a II. világháború idején világrajött gyermekekben gyakoribb, mint az 1938 előtt, illetve 1950 után születettekben. A Harris-vonalak röntgenvizsgálattal és a csont metszéslapján jól felismerhetők (120. ábra, 121. ábra). A Vörs-Papkerti B (9–13. század) és a Tiszafüred-Nagykenderföldek (10–12. sz.) temetők több mint 2000 hosszú csöves csontjának rtg-vizsgálatakor az előbbiben a tibiák 66%án, 6-10 (maximálisan 28-28), a tiszafürediben fele ilyen gyakoriságú Harris-vonalat észleltünk (Józsa és Pap 1989). A női csontokon mindkét lelőhelyen többször, viszont férfiakon (ha volt) nagyobb számban fordult elő. A Harris vonalak száma jól korrelált egyéb, ugyancsak táplálkozási zavarra utaló indikátorokkal (Józsa és Pap 1989, 1990).
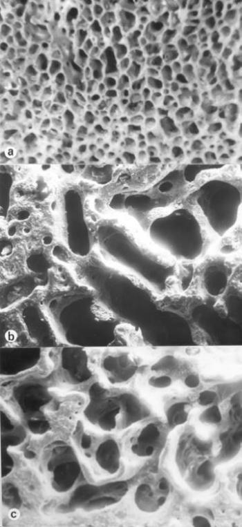
A poroticus hyperostosis (szinonimák: cribra orbitalia, cribra cranii, hyperostosis spongiosa, hyperostosis porotica, osteoporosis cranii) elsősorban a koponya, (főként a szemüreg) elváltozása (122. ábra) ám megjelenhet valamennyi lapos és csöves csonton. Mikroszkópos képével Hamperl és Weiss (1955), Marcsik és Kósa (1976), az elektronmikroszkópos és hisztomorfometriai eltérésekkel Józsa és Pap (1991) foglalkoztak. Morfológiai képe a folyamat súlyossága szerint eltérő. A poroticus típusban a corticalison tág nyílások keletkeznek (123. ábra), a spongiosus alakban a corticalis felszivódik, a felületet szívacsos állomány képezi (124. ábra), trabeculáris formában a diploe gerendái a környező csont szintje fölé burjánzanak (125. ábra) ami a rtg-felvételen „kefekoponya” alakjában jelentkezik (126. ábra). Mikroszkóposan a spongiosa gerendáinak feldúsulása, a gerendákon másodlagos üregek kialakulása állapítható meg (Józsa és Pap 1991), az egységnyi ürtartalomban megnő a csontvelőt hordozó felület, az újonnan képződő gerendák kóros szerkezetüek (123. ábra, 124. ábra, 125. ábra). Fokozott vörösvértest produkcióval járó valamennyi kórképben megjelenhet, vashiányos vérszegénységben 60-90%, Cooley anemiában 100%, sarlósejtes anaemiában 50-60%, maláriásokon 40-60%, cyanoticus szívfejlődési rendellenességekben 1-5% gyakoriságú (15. táblázat).
 
121. ábra. a) A csont metszéslapján is leolvasható a Harris-vonalak száma b) A Harris-vonalak nagyított képe (nyíl). 10–12. század, adultus férfi Sztereómikroszkópos felvétel 20×nagyítás
122. ábra. a) A homlokdudorokon és a szemüreg peremén (nyíl) elhelyezkedő cribrák. b) A kinagyított képen a corticalis felszívódása, a spongiosa felszínre türemkedése látszik. A széleken poroticus (csillag), a centrumban spongiosus területek. 10. századi gyermek. Sztereómikroszkópos felvétel 6× nagyítás
 
123. ábra. a) A poroticus terület sztereomikroszkópos képe 20× nagyítás b) Ugyanezen rész elektronmikroszkópos képe. SEM 500× nagyítás
 
Elsőként Welcker (1888) németországi leleteken írta le és adta a cribra orbitalia elnevezést, Hrdlicka (1914) Peruban, Hooton (1930) mexikói indiánokon, Adachi (1904) egyiptomi múmiákon és dajak koponyákon, Nathan és Haas (1966) emberszabásúakon és majmokon észlelte. Etiológiája hosszú időn át ismeretlen és vitatott volt, Hrdlicka (1914) toxikus ártalomnak vélte, Cooley és Lee (1925) thalassemiában mindig, Vogt és Diamond (1930) más veleszületett haemoglobinopathiákban (ovalocytosis, sarlósejtes anaemia) gyakran fellelték. Hooton (1930) abból indult ki, hogy a prekolumbián Amerikában nem volt veleszületett haemoglobinopathia, poroticus hyperostosis viszont gyakran, ezért úgy gondolta, hogy más okai is lehetnek. A későbbiekben a malária, kecsketej-anaemia, vashiányos anaemia, féregbetegségek, B12 vitaminhiány, fólsavhiány, idült vérzések, cyanotikus szívbetegségek szerepére is fény derült (Lallo és mtsai 1977. Marcsik 1975).
 
124. ábra. a) A spongiosus elváltozás sztereomikroszkópos képe. 20× nagyítás b)–c) A trabeculák között változó nagyságú üregek, a csontvelőt hordozó csontfelület jelentősen megnövekedett. SEM b) 600×, c) 1000× nagyítás
 
A Kárpát-medencében veleszületett haemoglobinopathia nem fordult elő, hazai anyagban elsősorban táplálkozási eredetű, ezen belül is vashiányos, vagy fertőzéses vérszegénység következményének kell tartanunk. Különböző lelőhelyekről (Vörs-Papkert 9-11., Nagykőrös 11-13., Esztergom 11-12., Szabolcs-Petőfi u. 11-13. század) előkerült 808 csontvázat vizsgálva, a Vörs-Papkerti gyermekeken 80%, a felnőtteken 25% a többi temető anyagában (632 skeleton) a gyermekeken2,2%, a felnőtt férfiakon 0,4 %, nőkön 1,1% incidenciát észleltünk (Józsa és Pap 1990). Szoros összefüggést találtunk a poroticus hyperostosis és Harris vonalak gyakorisága, együttes előfordulása között (Józsa és Pap 1989). Az egészséges vázanyagon 800 ppm fölötti, az elváltozást hordozókon 200-400 ppm körüli vastartalmat (Fornaciari és mtsai 1981), csökkent réztartartalmat mutattak ki (Schutkowski és mtsa 1997).
 
125. ábra. a) A trabecularis formában a csontgerendák (T) a lamina externa szintje (LE) fölé emelkednek. SEM 170× nagyítás b) A kóros szerkezetű trabecula kinagyított képe SEM 1200× nagyítás
 
126. ábra. A koponya rtg-képén látható „kefeszerű” rajzolatot (nyíl) a lamina externa szintje fölé növekvő trabeculák idézik elő. 9–11. század, 2-4 éves gyermek
 
127. ábra. A zománc-hypoplasiás felszín porózus szerkezetű. 6–8. század, 14-17 éves személy metszőfoga. SEM 200× nagyítás
 
A fogzománc-hypoplasia a zománc és/vagy dentin egyes részleteinek, esetleg egészének hiányos kialakulásában vagy elmeszesedésében nyilvánul meg (Boros 1961). Táplálkozási elégtelenség, A, C, D-vitaminhiány, továbbá heveny (himlő, diphteria, kanyaró, skarlát) és idült fertőzőbetegségek (tbc, syphilis) az ameloblastokat károsítják, hiányos a zománc szerves vázának képződése és emiatt a mineralizáció is elégtelen. Marcsik és Baglyas (1987) a hypoplasia két formáját, a linearis és cavitasos alakot különíti el. Olykor a színével is elütő bemélyedés, esetleg körkörös barázda (Willis gyűrű) látható a fogkoronán, mikroszkóposan a zománc porózus szerkezete, a prizmák rendezetlensége, több apró gócból egybefolyó kagylószerű 500 μm-nél kisebb átmérőjű bemélyedések (127. ábra) mutatkoznak. Ismételten ható károsító tényező több párhuzamos Willis gyűrűt képezhet. Egyaránt előfordulhat a tej- és maradandó fogakon, jelenléte arra utal, hogy az ártalom csecsemő vagy gyermekkorban következett be, bár jóval ritkább jel, mint a Harris vonal vagy a poroticus hyperostosis. Incidenciája területenként nagy variabilitást mutat. Bermudez-de-Castro (1987) a neolitikumban élt személyek fogain 0,5%-ban látta és ugyanezek vázcsontjain Harris-vonalakat is ki tudott mutatni. Molnár és mtsa (1971) hét, prehisztórikus korból való temetőben elvétve észleltek zománchypoplasiát, amit az ivóvíz magas fluor tartalmával magyaráztak. Marcsik és Baglyas (1987) 8. századi avar temetőben a felső fogsoron 77, az alsón 60,5%-ban figyelték meg. Pap (1986) a 10–12. századból származó 1724 db, magam 1400 fogon nem találtuk. Később ugyanezen anyagon elvégeztük a poroticus hyperostosis és Harris-vonal regisztrálását és 0,4 %, ill. 1,1% gyakoriságot észleltünk (Józsa és Pap 1990). A csont-remodellációs zavarok. Az elégtelen táplálkozás egyéb jelei ritkábbak, felismerésük, jóval bonyolultabb és bizonytalanabb (Pfeiffer és King 1983). A corticalis remodellációs zavara, a fokozott endostealis csontfelszívódás a protein és kalóriafelvétel hiányosságára utal (Garn és mtsai 1969). Egyesek szerint összefüggés van a csigolyák csontgerenda-sűrűsége és a táplálkozás minősége között. Számos jel, a termet, testmagasság, a csontok vaskossága stb. csak nagyon áttételesen utalnak a nutricionális státuszra.

Paleopathologia

Tartalomjegyzék


Kiadó: Semmelweis Kiadó

Online megjelenés éve: 2026

ISBN: 978 963 331 721 1

Józsa László (1935) a Debreceni Orvostudományi Egyetemen végzett, majd Kecskeméten dolgozott 1968-ig. 1968–1999-ig az Országos Traumatológiai Intézet patológus főorvosa. Közben másfél évtizeden át a Tamperei Egyetem professzora. 1972-ben az Orvostudomány kandidátusa, 1980-ban akadémiai doktori minősítést szerzett. Őskórtani munkáit hosszú évtizedeken át folytatta.

A millecentenáriumra megjelent könyvében a honfoglaló és Árpád-kori népesség egészségi állapotát és betegségeit foglalta össze. Sokezer csontváz és jó néhány múmia makroszkópos és szövettani-hisztokémiai vizsgálata közben a rencens patológia legmodernebb eljárásait alkalmazta. Így sikerült enzimeket, köztiállomány alkotórészeket kimutatni egyiptomi múmia bőrében, XIX. századi múmia vesegyulladásában az immunglobulin-kicsapódást. „Amikor az egyetemen, vagy munkánk közben betegségekről tanulunk, rendszerint megismerjük annak első leíróját, megtudjuk a felfedezések időpontját, ki és mikor dolgozott ki valamiféle műtéti eljárást, vizsgálómódszert. Időnként elrévedünk: vajon mit tudhattak szakmai őseink, hogyan figyelhettek fel azokra a betegségekre, elváltozásokra, amelyek az emberiség életét már a történelem ködébe vesző évezredekben is keserítették. Ezekre, és hasonló kérdéseinkre kapunk választ Józsa László egyetemi tanár könyvében, aki évtizedeken át vizsgálta a föld mélyéből napvilágra kerülő emberi maradványokat, kórboncnokként összehasonlította a napjaink emberén kialakuló elváltozásokkal. Közben szorgalmasan gyűjtötte a kérdéssel foglalkozó világirodalmi adatokat.”

Dr. Cseplák György

A majd kétszáz fotóval gazdagon illusztrált könyv a történelem előtti vagy a későbbi korokból származó, emberi maradványokon található kóros elváltozásokkal foglalkozik. A téma éppúgy érdekli az orvost, állatorvost, őslénykutatót, régészt, antroplógust, humánbiológust vagy a történészt, történeti demográfust, múzeológust.

Hivatkozás: https://mersz.hu/jozsa-paleopathologia//

BibTeXEndNoteMendeleyZotero

Kivonat
fullscreenclose
printsave