Idegsebészet
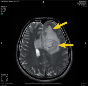
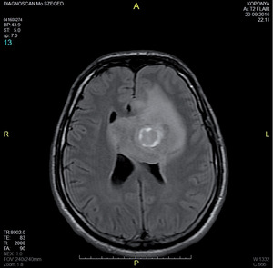
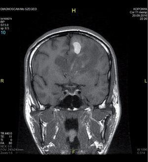
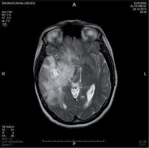
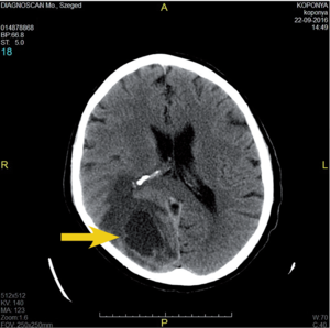
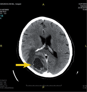
3.6.2. Daganatok: az agy (64–72. ábra)
- MRI: T2, FLAIR, T1/T1gad, DWI.
- CT: natív és kontrasztos – akut eset, staging, mész kimutatására.
Tartalomjegyzék
- IDEGSEBÉSZET
- Impresszum
- Előszó
- Rövidítések
- 1. fejezet. Az idegsebészet története
- 2. fejezet. Idegsebészeti (neurológiai) fizikális betegvizsgálat
- 2.1. Az agyidegek vizsgálata
- 2.2. Az akaratlagos mozgatórendszer vizsgálata
- 2.3. Az érzőkör vizsgálata
- 2.4. A kisagyi bántalmak kórjelei
- 2.5. A gerincvelői funkciók vizsgálata
- 2.6. Az extrapiramidális rendszer ártalmának tünetei
- 2.7. Érzékszervi zavarok és vizsgálatuk
- 2.8. Az agyféltekék lebenyei és működésük zavarai
- 2.9. A beszédzavarokról és vizsgálatukról
- 2.10. A tudatzavarokról
- 2.11. A nyaki gerincszakasz tünetcsoportjainak vizsgálata
- 2.12. A háti porckorongsérv tünetcsoportja
- 2.13. A háti és végtagfájdalmakról
- 2.14. Deréktáji fájdalmak, lumboischialgia
- 2.1. Az agyidegek vizsgálata
- 3. fejezet. Idegsebészeti képalkotó vizsgálatok
- 4. fejezet. A koponya- és agysérülések sebészi kezelése
- 4.1. Bevezető, epidemiológia
- 4.2. A koponyasérülések osztályozása
- 4.3. Súlyosság szerinti osztályozás
- 4.4. A koponya-, agysérültek vizsgálatának, ellátásának alapelvei
- 4.5. A koponyasérülések súlyosság szerinti osztályozása, kezelése
- 4.6. Az intracranialis nyomás
- 4.7. A koponya és az agy sérülésének típusai
- 4.8. Subduralis haematoma
- Ajánlott irodalom
- 4.1. Bevezető, epidemiológia
- 5. fejezet. A gerinc sérülései
- 6. fejezet. A gerinc degeneratív kórképeinek sebészi kezelése
- 7. fejezet. A központi idegrendszer daganatainak idegsebészeti vonatkozásai
- 7.1. Bevezető
- 7.2. Klinikai tünetek és panaszok
- 7.2.1. Alacsony malignitási fokozatú (low-grade) gliomák (WHO szerinti I–II. grádus)
- 7.2.2. Magas malignitási fokozatú (ún. high-grade) gliomák (WHO szerinti III–IV. grádus)
- 7.2.3. Craniopharyngeomák
- 7.2.4. Vestibularis schwannoma
- 7.2.5. Medulloblastoma
- 7.2.6. Meningeomák
- 7.2.7. Haemangioblastoma
- 7.2.8. Áttéti agydaganatok
- 7.2.9. Spinalis daganatok
- 7.2.1. Alacsony malignitási fokozatú (low-grade) gliomák (WHO szerinti I–II. grádus)
- Ajánlott irodalom
- 7.1. Bevezető
- 8. fejezet. A hypophysis daganatai
- 9. fejezet. A koponyaalap daganatai
- 9.1. A koponyaalapot érintő daganatok
- 9.2. Az orr- és orrmelléküregek, valamint a koponyaalap daganatainak endoszkópos sebészete
- 9.2.1. A rinológia és az endoszkópia története
- 9.2.2. Endoszkóp vagy mikroszkóp?
- 9.2.3. Koponyaalapi anatómia
- 9.2.4. A koponyaalapot infiltráló cranialis daganatok
- 9.2.5. Koponyaalapi rekonstrukció
- 9.2.6. Liquorsipoly
- 9.2.7. Endonasalis endoszkópos feltárási technikák
- 9.2.8. Az endoszkópos melléküregi és koponyaalapi feltárások korlátai
- 9.2.1. A rinológia és az endoszkópia története
- Ajánlott irodalom
- 10. fejezet. Funkcionális idegsebészet
- 11. fejezet. Vaszkuláris idegsebészet
- 11.1. Az agyi ér eredetű megbetegedések idegsebészeti ellátása
- 11.2. Az agyi aneurizmák endovascularis ellátása
- Ajánlott irodalom
- 12. fejezet. Fejlődési anomáliák és idegsebészeti vonatkozásaik
- 12.1. Bevezető, epidemiológia
- 12.2. Spina bifida aperta
- 12.3. Myeloschisis
- 12.4. Myelomeningokele
- 12.5. Syringomyelomeningokele
- 12.6. Arnold–Chiari-malformatio
- 12.7. Dandy–Walker-malformatio
- 12.8. Encephalokele
- 12.9. Veleszületett cranialis dermalis sinus
- 12.10. Veleszületett spinalis dermalis sinus
- 12.11. Lumbosacralis lipoma
- 12.12. Arachnoidealis cysta
- 12.13. Craniosynostosis
- 12.14. Platybasia, basalis impresszió
- Ajánlott irodalom
- 12.1. Bevezető, epidemiológia
- 13. fejezet. A liquorkeringés és zavarai
- 14. fejezet. A központi idegrendszer idegsebészeti ellátást igénylő fertőzései
- 15. fejezet. A perifériás idegrendszer idegsebészeti vonatkozásai
- 16. fejezet. Az idegsebészeti munka pszichológiai vonatkozásai
- 17. fejezet. Fizioterápia az idegsebészetben
- 17.1. Fizioterápia
- 17.2. Gyógytorna
- 17.3. A gyógytornász kompetenciái
- 17.4. Módszerek
- 17.4.1. Hagyományos fizioterápiás módszerek
- 17.4.2. A McKenzie-módszer
- 17.4.3. Manuálterápia
- 17.4.4. Idegmobilizáció
- 17.4.5. Terrier-féle lágyrész-mobilizációs technika (manipulatív masszázs)
- 17.4.6. Aktív lumbalis stabilizációs tréning
- 17.4.7. Funkcionális tréning (proprioceptív vagy szenzomotoros tréning)
- 17.4.8. Subaqualis torna
- 17.4.9. Tartásjavítás
- 17.4.1. Hagyományos fizioterápiás módszerek
- 17.5. Műtét utáni mozgásterápia
- Ajánlott irodalom
- 17.1. Fizioterápia
Kiadó: Akadémiai Kiadó
Online megjelenés éve: 2017
ISBN: 978 963 059 902 3
Munkám során mindenkor fontosnak tartottam azt az oktatásra, képzésre vonatkozó – talán Környey által megfogalmazott – elvárást, miszerint „minden gyakorló orvosnak ismernie kell az ideggyógyászati és az idegsebészeti betegségek kezdeti, jó prognózist nyújtó alakjait, nehogy a betegek túl későn kerüljenek szakorvos kezébe”. Az idők folyamán sajnálattal kellett azonban tapasztalnom, hogy az egymást követő tanügyi reformoknak és a specializációnak már azok a szakmák is kezdtek áldozatul esni, amelyeknek nem csupán egy-egy panasszal, tünettel vagy betegségformával, hanem az egész emberrel kellett foglalkozniuk. Munkatársaimmal arra vállalkoztunk, hogy olyan, az orvostanhallgatók és a gyakorló orvosok munkáját is segítő könyvet állítsunk össze, amelyben ismertetésre kerülnek mindazok a neurológiai kórformák, amelyeknek gyógykezelésében az idegsebészeti ellátás indokolt vagy komolyan mérlegelendő. Bízunk abban, hogy a könyvünkben megjelenő szemlélet, a diagnosztikai és terápiás ajánlások hasznos tanácsokként szolgálnak mind az orvosok, mind a betegek számára.
Hivatkozás: https://mersz.hu/barzo-idegsebeszet//
BibTeXEndNoteMendeleyZotero







