Darvas Zsuzsa, László Valéria

Sejtbiológia


Nem klatrin burkos vezikulummal történő endocitózis

Ha egyes sejtekben legátolták a klatrin burkos vezikulummok útján történő endocitózist, akkor egy rövid szünet után a sejtekben újra endocitotikus aktivitás volt megfígyelhető. Ezek az alternatív, nem klatrin függő endocitózis folyamatok. Nem lehet tudni, hogy mennyire általánosak és mennyire sejttípus specifikusak, de egyre többféle sejtben mutattak ki ilyen mechanizmusokat.
 
A makropinocitózis
Ahogy a neve is elárulja, olyan pinocitózist jelent, ahol a formálódó vezikulum mérete kicsit nagyobb (0,2–5 µm), mint a klatrinburkos vezikulumok esetében. A makropinocitózis olyan sejtek esetében fígyelhető meg, amelyekben a kérgi aktin réteg átrendeződése révén, a sejt mozgásának irányába mutató membránfelszínen a plazmamembrán alatti aktin réteg segítségével fodrozódás (ruffling) történik. Nem sokat tudunk arról, hogy milyen membránösszetétele van ezeknek a fodroknak, de úgy tűnik itt is olyan lipid „tutajok” (raftok) szerepelnek, amelyek összetétele eltér a membrán általános foszfolipid összetételétől. Ezek a fodrok azután elkeskenyedve egymással összekapcsolódnak, és egy folyadékteret bezárva lefűződnek.
A létrejövő képlet a makropinoszóma, dinamikus képlet, amelynek a sorsa kétféle lehet: vagy amint bezárul, a fodor újra kinyílik és a felvett anyagok visszakerülnek oda ahonnan származnak, vagy a makropinoszóma a sejt belseje felé vándorol. Ebben az esetben megfigyelhető hogy egyes membránkomponensei (fehérjék és lipidek) visszakerülhetnek a plazmamembránba, míg más összetevői, pl. az endoszomális kompartment elemeivel kapcsolódhatnak. Ez azt sugallja, hogy a makropinoszóma általi anyagfelvétel is kapcsolódik az általános endoszómális-lizoszómális útvonalhoz.
A makropinocitózis egyik jelentősége abban rejlik, hogy igazi folyadékfázisú endocitózist jelent, az extracelluláris tér molekuláinak nem szelektív, de a jó tömeg/felület arány miatt igen hatékony felvételi módját. A másik jelentősége az lehet, hogy a sejt ilyen módon mintegy megszondázza a környezetét, mintát vesz a környező extracelluláris térből. Ilyen szerepe lehet a makropinocitózisnak pl. makrofágokban, ahol íly módon exogén antigén felvétele történhet a sejtbe.
 
A kaveolák útján történő anyagfelvételi út
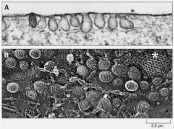
A kaveolák a plazmamembrán olyan speciális területei, amelyek jellegzetes morfológiai képet mutatnak az elektronmikroszkópos felvételeken (VI.2. ábra). A kaveola jellegzetes palack alakját speciális fehérjéjének köszönheti. Ez a fehérje a koleszterinkötő képességgel rendelkező kaveolin. A kaveola felszíne jellegzetes ujjlenyomatszerű képet ad speciális elekronmikroszkópos képeken, és ez alapján lehet elkülöníteni a kaveolát a klatrin burkos vezikulumoktól. A kaveolák mérete is jellemző: kisebbek klatrin burkos társaiknál, általában 50–80 nm átmérőjűek.
 
VI.2. ábra. A kaveola elektronmikroszkópos képe.
A: hagyományos technikával készült transzmissziós TEMos felvétel. B: fagyasztva töréses technikával készült TEM-os felvétel. Látható a kaveolák ujjlenyomat-szerű burokmintázata. *: egy klatrin buros gödör eltérő burokmintázata
 
Jellegzetes fehérjekomponensei még a kaveoláknak a GPI horgonnyal kihorgonyzott fehérjék (receptorok, transzporterek) is. A kaveolák nemcsak fehérje alkotóikban térnek el a plazmamembrán többi részétől, hanem lipid öszzetételük is jellegzetes. Olyan speciális lipid „tutajoknak” (raft) tekinthetők, amelyek gazdagok glikoszfingolipidekben, szfingomielinben és kolesztrinben. Különösen nagy számban fordulnak elő egyes sejtek membránjában, pl. a kapillárisok endothél sejtjeiben, izomsejtekben, zsírsejtekben.
A kaveolák többféle sejttani folyamatban fontos szerepet töltenek be. A kaveolákból többféle transzport folyamat útján kerülhet tovább az anyag.
  1. A kaveolák által közvetített endocitózis lehet egy olyan speciális folyamat, amelyet potocitózisnak neveznek. Ebben a folyamatban a kaveola nem fűződik le a sejtmembránról csak időlegesen bezárul, majd újra kinyílik. Amikor a kaveola bezárul a benne lévő receptorához kötött anyag leválik a receptorról és egy karrier molekula segítségével átkerül a citoplazmába. Ezt követően a kaveola újra kinyílik. Ilyen potocitózissal történik a folsav (B4 vitamin) felvétele egyes sejtekbe.
  2. A kaveola leválik a plazmammembránról és a megkötött anyagot vivő vezikulum egy kaveoszómával fúzionál. A kaveoszóma olyan az endoszómához hasonló, de stabilabb vezikulum, amelyre jellemző, hogy kaveolin fehérje van a membránjában. Kaveolák útján kerülhetnek be a gazdasejtbe egyes baktériumok és vírusok. Először az SV 40 vírusról, újabban pedig az Ebola és Marburg vírusokról írták le, hogy a plazmamembránhoz való kötődésüket követően a kaveolába kerülnek. A kaveoszómákból többfelé vezethet az út, egyes komponensek közvetlenül innen térhetnek vissza a plazmamembránba, más esetben először a Golgi komplex elemeivel történik kapcsolódás, és csak ezt követően kerülnek a plazmamembránba. Az említett SV 40 vírust a kaveoszómából elszállító vezikulum pedig az endoplazmatikus retikulummal fúzionál.
  3. Kaveola közvetítésével történhet transzcitózis is, ami azt jelenti, hogy a ligandot tartalmazó vezikulum lefűződik és más intracelluláris membrán (endoszóma, Golgi) érintése nélkül átszállítja a sejten az anyagot. Íly módon történhet endothél sejtekben az albumin szállítása az apikális felszínről a bazális felszínre. Transzcitózis nemcsak kaveola útján felvett anyagokkal, hanem bármilyen más endocitózis típussal a sejtbe került liganddal is végbemehet.
  4. A kaveola részt vehet a sejtek jelátviteli folyamataiban (növekedési faktor receptorok, integrinek, másodlagos hírvivő molekulák), amelynek részleteiről későbbi fejezetekben lesz szó. Egyes integrinek és növekedési faktor receptorok ugyanis szintén a kaveolákban találhatók.
 
A konstitutív endocitózis
A konstitutív endocitózis során külső stimulus nélkül közel állandó sebességgel vezikulumok képződnek és fűződnek le a plazmamembránról és ezen vezikulumok esetében sem klatrin, sem kaveolin jelenléte nem mutatható ki a membránban. Ezekben a folyamatokban fontos szerepet tulajdonítanak a plazmamembrán eltérő lipid „tutaj” (raft) területeinek. Limfocitákban az IL-2-nek a sejtbe jutása így történik, ugyanis az IL-2 receptor egy lipid „tutaj”-ban helyezkedik el. Más esetekben is kimutatták ezeknek a lipid „tutajoknak” a sejtbe való bejutását vagy oly módon, hogy a lipid komponenseket fluorescens festékkel jelölték, vagy az általuk kötött molekulát (pl. kolera toxin) jelölték meg.
A felvételt követően az anyagok különböző kompartmentekbe kerülhetnek tovább. Az IL-2 receptor az endoszomális kompartmentbe kerül majd a lizoszómában végzi, míg a legtöbb jelölt lipid „tutaj” a Golgiba kerül. A lipid „tutajok” felvétele és Golgiba szállítása, majd innen ismét a plazmamembránba juttatása a plazmamembrán felszíneinek polaritásában, eltérő lipid és fehérje-összetételében játszik fontos szerepet.
 
A fagocitózis
A nagyméretű, szilárd részecskék bekebelezésére nem minden sejt képes. Fagocita tevékenységet folytatnak pl. csillós egysejtűek, amőbák, és a magasabbrendű szervezetek olyan speciális sejtjei, mint pl. a makrofágok, granulociták és dendritikus sejtek, amelyek mind az immunrendszer tagjai. Találkozhatunk a fagocitózissal olyan esetekben is, mint a csontfaló sejtek tevékenysége a csontokban, vagy a trofoblaszt sejtek működése során, az anyaméhbe történő beágyazódáskor.
A fagocitózis az egysejtűekben elsősorban a táplálékszerzés módja, és az így bekerült anyag a lizoszómákban történő lebontást követően a sejt citoplazmájába kerülve felhasználódik a sejt saját molekuláinak felépítésére.
A soksejtűekben, pl. a makrofágok esetében a fagocitózis az immunfolyamatok részeként, pl. mikroorganizmusok bekebelezését jelenti, de fagocitózissal történik az elöregedett sejtek, pl. vörösvértestek és sejttörmelékek eltávolítása is. A makrofágok naponta 1011 elöregedett vörösvértestet kebeleznek be. A fagocitózis során képződött fagoszóma változatos méretű és akár a bekebelezést végző sejt méretét is megközelítheti. A fagoszóma a citoplazmában vándorolva az endoszómális-lizoszómális kompartment elemeivel fúzionál.
A fagocitózis általában nem spontán, konstitutívan végbemenő folyamat, hanem csak a megfelelő szignál hatására következik be. Ehhez az szükséges, hogy a bekebelezésre kerülő anyag a fagocita sejt receptoraihoz kötődjön. Ez a szignál kiváltja a sejtfelszíni membránban nyúlványok, pl. állábak képződését, amelyek fokozatosan körbeveszik a részecskét. A membránnyúlványok sejttípustól függően különböznek, de mindegyikben közös, hogy a fagoszóma kialakulásához és lefűződéséhez a kérgi aktin filamentum rendszer átrendeződése és aktiválódása kell. Számos ilyen receptor van a sejtek felszínén, az egysejtűektől kezdve a makrofágokig. A makrofágok és és neutrofil granulociták felszínén, pl. Fc receptor található, amely az ellenanyag molekula egyik részét, az Fc részt képes specifikusan felismerni, és az ellenanyag „kabáttal” beburkolt mikroorganizmusokat megkötni.
A normális szöveti szerkezet fenntartásában, az egyedfejlődés során fontos az apoptózissal elpusztult, de nem idegen, hanem saját sejt bekebelezése és lebontása is. Ez is fagocitózis, de ebben az esetben más receptorok (integrin, lásd a sejtadhézó fejezetben), ABC1 transzporterek (lásd a multidrog rezisztencia faktor rokon molekula) ismerik fel a bekebelezendő sejtet és indítják el a bekebelezéshez szükséges folyamatokat. pl. állláb képződés, kérgi aktin sejtváz átrendeződése. Szignál lehet az apoptózis útján elhalt sejt megváltozott membránlipid összetétele is (foszfatidilszerin kerül a külső rétegbe, és ez jelenti a szignált).
A következő VI.3. ábra röviden összefoglalja a fentiekben említett anyagfelvételi módokat.
A sejtbe jutott anyagok többsége az endoszomális-lizoszomális kompartmentbe kerül. Ide azonban nemcsak kívülről kerülhetnek, pl. lebontásra ítélt anyagok, hanem a sejt saját anyagai is csatlakozhatnak ehhez az útvonalhoz. Milyen folyamatok teszik lehetővé, hogy a sejt saját anyagai ebbe a kompartmentbe kerüljenek?
Többféle olyan mechanizmus is ismert, ami ezt lehetővé teszi, itt két folyamatot: az autofágiát, és a karrier mediált proteolízist említjük meg.
 
VI.3. ábra. Az anyagfelvétel ismert típusai.
1. endocitózis: klatrin burkos vezikulummal 2. makropinocitózis: 3. szilárd részecskék felvétele fagocitózissal 4. A konstitutív endocitózis: lipid tutajokkal 5. kaveolin burkos: a kaveolával. Részleteket lásd a szövegben
 

Sejtbiológia

Tartalomjegyzék


Kiadó: Semmelweis Kiadó

Online megjelenés éve: 2026

ISBN: 978 963 331 704 4

Reméljük, hogy a hallgatóknak nemcsak egy olyan jegyzetet készítettünk, amelyet meg kell tanulniuk, de sikerült belevinnünk azt az érzést is, amely a jegyzet megírásakor és átírásakor eltöltött minket. Ez az érzés a csodálat. Milyen csodálatos kis egység a sejt, milyen tökéletesen és logikusan szervezett! Mi sem, és így a hallgató sem menekülhet meg a molekuláris szemlélettől, amely manapság a biológia és az orvostudomány minden területén uralkodóvá vált. Igyekeztünk csak annyi molekulát és molekuláris mechanizmust megemlíteni, amelyet feltétlenül szükségesnek tartottunk a sejtben zajló folyamatok megismeréséhez és megértéséhez. Kívánjuk, hogy a leírtak segítsék a hallgatókat más tárgyak anyagának megértésében és elsajátításában is. A jegyzet immáron negyedik, javított kiadását tartják a kezükben és persze ez is több, mint az előző. Mentségünkre legyen mondva a többlet nemcsak több szöveget, de több képanyagot és ábrát is jelent. Reméljük ez segít jobban megérteni a sejtekben zajló, néha bizony komplikált eseményeket. (a szerzők)

Hivatkozás: https://mersz.hu/darvas-laszlo-sejtbiologia//

BibTeXEndNoteMendeleyZotero

Kivonat
fullscreenclose
printsave