Darvas Zsuzsa, László Valéria

Sejtbiológia


A saját anyag bekebelezése: autofágia

A fentebb tárgyalt fagocitózissal szemben, az autofágia folyamata során a részecske, amely létrejön a sejt valamilyen saját komponensét tartalmazza. Az autofágia ezen formája, amelyet makroautofágiának nevezünk a legtöbb sejtben előfordul, fontos szerepe van a sejtorganellumok mennyiségének szabályozásában, az elöregedett sejtalkotók eltávolításában, azaz az organellumok sejten belüli turnoverében, és pl. a makrofágokban kórokozók elleni védekezésben. Természetesen kóros folyamat is lehet, amikor a sejtet ért toxikus hatások eredményeként káros anyagok halmozódnak fel a sejtekben és védekezésként a sejtben az autofágia mértéke fokozódik.
A makroautofágia legfontosabb lépései:
  1. indukciós hatás, amely kiváltja az autofagoszóma képződését
  2. az anyagok, illetve organellumok izolálása, membránba csomagolása
  3. a létrejött autofagoszóma érése és fúziója a lizoszómális kompartment elemeivel
  4. az autofagoszóma tartalmának megemésztése savas hidrolázokkal
 
A 3. és 4. pont alatt szereplő lépések tárgyalására a fejezet későbbi részében térünk ki, ahol az összes anyagfelvételi úton bekerült molekulák, és organellumok további sorsáról és lebontásáról lesz szó.
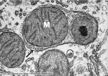
A sejt saját anyagát tartalmazó képlet az autofagoszóma, melynek létrejöttét valamilyen hatás váltja ki, pl. ez lehet éhezés, más stresszhatás, kórokozó vagy toxikus anyag bekerülése a sejtbe. Mivel sokféle anyag kerülhet autofagoszómába, tartalma az elektronmikroszkópos képek alapján rendkívül változatos lehet. Az autofagoszómát a citoplazma egyéb területeitől elválasztó ún. izolációs membrán nagy valószínűséggel ER eredetű, ezt az is megerősíti, hogy COPII burka van az autofagoszómának. Az elektronmikroszkópos képeken jól látszódik, hogy a kialakuló korai autofagoszómának kezdetben kettős határoló membránja van (VI.4. ábra). Később csak egy membrán marad a vezikulum körül.
 
VI.4. ábra. Korai autofagoszóma elektronmikroszkópos képe, amely mitokondriumot (M) tartalmaz.
A nyíl a kettős izoláló membránra mutat
 
Az autofagoszómában az izolációt követően megindul a benne lévő anyagok csoportosítása, az izoláló membrán átalakítása, (pl. ubuquitin jelölés) hogy alkalmas legyen az endoszomális–lizoszomális kompartment elemeivel való fúzióra.
 
Fehérje bekerülése a lizoszómába az endoszómák megkerülésével: karrier mediált proteolízis
A citoplazma bizonyos fehérjéi közvetlenül a citoplamából is bekerülhetnek a lizoszómákba. A bekerülés a lizoszóma membránjában lévő karrier fehérjék segítségével történik. A lizoszómába történő irányításnak is van szignálja, amely az aminósavak egybetűs kódja alapján a KFERQ szekvencia (lizin, fenilalanin, glutaminsav, arginin, glutamin). A bekerült fehérje a lizoszómában aminósavakra bomlik. Ez a folyamat nagyon hasonló az ún. mikroautofágiához amikor hasonló módon a citoplazmából kerülnek anyagok a lizoszómába. Az sem kizárt, hogy ugyanarról a folyamatról van szó, amelyet két különböző néven neveztek el.
 

Sejtbiológia

Tartalomjegyzék


Kiadó: Semmelweis Kiadó

Online megjelenés éve: 2026

ISBN: 978 963 331 704 4

Reméljük, hogy a hallgatóknak nemcsak egy olyan jegyzetet készítettünk, amelyet meg kell tanulniuk, de sikerült belevinnünk azt az érzést is, amely a jegyzet megírásakor és átírásakor eltöltött minket. Ez az érzés a csodálat. Milyen csodálatos kis egység a sejt, milyen tökéletesen és logikusan szervezett! Mi sem, és így a hallgató sem menekülhet meg a molekuláris szemlélettől, amely manapság a biológia és az orvostudomány minden területén uralkodóvá vált. Igyekeztünk csak annyi molekulát és molekuláris mechanizmust megemlíteni, amelyet feltétlenül szükségesnek tartottunk a sejtben zajló folyamatok megismeréséhez és megértéséhez. Kívánjuk, hogy a leírtak segítsék a hallgatókat más tárgyak anyagának megértésében és elsajátításában is. A jegyzet immáron negyedik, javított kiadását tartják a kezükben és persze ez is több, mint az előző. Mentségünkre legyen mondva a többlet nemcsak több szöveget, de több képanyagot és ábrát is jelent. Reméljük ez segít jobban megérteni a sejtekben zajló, néha bizony komplikált eseményeket. (a szerzők)

Hivatkozás: https://mersz.hu/darvas-laszlo-sejtbiologia//

BibTeXEndNoteMendeleyZotero

Kivonat
fullscreenclose
printsave