Kövesi György (szerk.)

Orális medicina


8.2. Epulis

Az ínyszélen kialakuló lágyrészduzzanat, ami egy hiperplasztikus, gyulladásos lézió, mely a parodontiumon alakul ki. Ez a parodontium eltúlzott gyulladásos válasza, de az irritáció eredete nem mindig tisztázható. A gyulladásos folyamat az interdentalis területen alakul ki, és kapcsolatban lehet az alveolaris csont csúcsával, ha a folyamat súlyossá válik.
Három formája van: a fibrosus epulis, a pyogen granuloma (terhességi epulis) és az óriássejtes epulis, ezek a formák a gyulladás és a csontreszorpció folyamatának különböző fokozatait képviselik. Az epulis gyakrabban fordul elő nőkön és az 5, 6, 7 fogak környezetében.
 
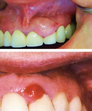
Fibromatosus epulis (epulis fibromatosa)
Nyélen ülő duzzanatként jelenik meg a gingiván. Erősen fibrosus, granulációs szövetből áll. Főleg kollagénrostok építik fel, kemény, gumiszerű, színe sápadt rózsaszín. A fibrosis mértéke függ a daganat érettségétől, a szövet keménységétől és a sejtek szövettani képétől. A hosszú ideje fennálló léziókban fokális mineralizáció és/vagy csontképződés is kialakulhat. Trauma vagy fertőzés esetén akut gyulladás jöhet létre. Ilyen esetekben az epulis vörös és fájdalmas (8.1. ábra).
 
8.1. ábra. Korai, éretlen fibrosus epulis
(a: Gera I. felvétele)
 
Pyogen granuloma és terhességi epulis
Mindkét forma jól vaszkularizált, klinikailag lilásvörös duzzanat a gingiván. A terhességi epulis szövettanilag megegyezik a pyogen granulomával, de csak terhesség alatt fordul elő. Mindkét esetben a granulációs szövet jól vaszkularizált, de éretlen. Sokkal erőteljesebben vöröses a színe, mint a fibrosus epulisé és sokkal vérzékenyebb.
 
Óriássejtes epulis (perifériás óriássejtes granuloma)
Az óriássejtes epulis osteogen természetű, granulációs szövet. Szövettani képére jellemző, hogy többmagvú óriássejteket tartalmaz, szétszórva a vaszkularizált stromában. Érése során a lézió lehet kevésbé vaszkularizált, fibrosus és képezhet csontot.
 
Az epulis kezelése (management). Az összes epulisforma kezelésének alapja a sebészi eltávolítás. A lézió gyakran interdentalis eredetű, és előrehaladott esetekben a parodontium is érintett lehet. Ha a kimetszés nem az épben történik, a lézió recidiválhat, és bár a radikális eltávolítás nem feltétlenül szükséges, a kimetszés minden esetben teljes terjedelmében tartalmazza az érintett szövetrészt. Az 1-2 fogat érintő terhességi epulis eltávolítása nem feltétlenül szükséges (szülés után spontán gyógyulhat).
Az esetek többségében a betegség nem egyértelmű, a diagnózist meg kell erősíteni szövettani vizsgálattal. Előfordulhat, hogy malignus tumor úgy néz ki, mintha epulis lenne.
 

Orális medicina

Tartalomjegyzék


Kiadó: Semmelweis Kiadó

Online megjelenés éve: 2026

ISBN: 978 963 331 709 9

Az Orális Medicina a fogorvostan-hallgatók számára egy kissé elhanyagolt tárgy, mert elméleti alapjainak ismerete korábbi évfolyamok során történik, mint a tárgy oktatása (anatómia, élettan, immunológia). A könyv bizonyos elméleti ismereteket feltételezve, azokra hivatkozva adhat tájékozódási lehetőséget a fogorvostan-hallgatóknak és alkalmanként a fogorvosoknak is a szájbetegségek felismerésére, a diagnózis felállítására és a betegségek kezelésére. A szerzők célja emellett az is, hogy bizonyos tájékoztatást adjanak az általános betegségek fogászati vonatkozásaira és a fogak mellett a száj egyéb alkotóelemeinek és szerveinek betegségeivel kapcsolatban. Bár az orális medicinát a világ minden részén kissé mostohagyermekkén kezelik, egyre nagyobb jelentőséggel bír az életkor meghosszabbodása és a prevenció miatt a fogazat egyre hosszabb ideig való megtartása eredményeképpen. Vegye hasznát az olvasó mind a diagnosztikus, mind a terápiás módszereknek, tanulmányai, illetve praxisa során.

Hivatkozás: https://mersz.hu/kovesi-oralis-medicina//

BibTeXEndNoteMendeleyZotero

Kivonat
fullscreenclose
printsave