Kövesi György (szerk.)

Orális medicina


1.4. Az abnormális (nem egészséges) nyálkahártya

Számos szájnyálkahártya-léziónál a végeredmény a hám normális struktúrájának károsodása, ennek következtében, abnormális működése. A keratinképződés variációi, a különböző sejtrétegek közti aránytalanság, az intercelluláris kapcsolatok sérülése pl. a str. spinosumban, a hám és kötőszövet (corium) elválása és számos más abnormalitás is megjelenhet különböző betegségekben.
Pl. bizonyos betegségekben hyperkeratosis alakul ki (1.6. ábra). Ilyen elváltozás kialakulhat irritáció hatására, és bizonyos esetekben spontán is, pl. atrophia esetén (1.7. ábra), aminek az eredménye inkomplett keratinizáció. Ekkor már kis trauma hatására is sérül a hám, és fekély (erózió) alakul ki. Számos erózióval járó betegség alakul ki ilyen módon. A szájnyálkahártya-hólyag két úton jelenhet meg: a sejtek közötti kapcsolat degenerációja miatt a str. spinosumban, vagy a hám elválik az alatta lévő kötőszövettől (corium) és bulla alakul ki (1.8. ábra).
 
1.6. ábra. Hiperkeratotikus lézió a szájnyálkahártyán
 
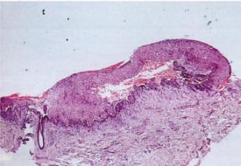
1.7. ábra. A nyálkahártya atrophiája a szájban
(J.A. Regezi, J.J. Sciubba, R.C.K.Jordan. Oral Patholgy, Saunders, Elsevier , St. Louis. 2008)
 
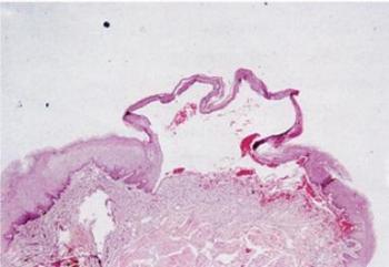
1.8. ábra. Subepithelialis bulla alakul ki, ha a hám elválik az alatta lévő kötőszövettől (corium)
(J.A. Regezi, J.J. Sciubba, R.C.K.Jordan. Oral Patholgy, Saunders, Elsevier , St. Louis. 2008)
 
1.9. ábra. Intraepithelialis bullaképződés a szájnyálkahártyán
(J.A. Regezi, J.J. Sciubba, R.C.K.Jordan. Oral Patholgy, Saunders, Elsevier, St. Louis. 2008)
 
Előfordul, hogy betegség alakul ki a környező szövetekben, pl. a kötőszövetben, ami a látható, másodlagos elváltozást okoz a hámon, mert a hám nutritiójára vagy metabolizmusára fejt ki hatást.
A szájnyálkahártya integritását több, kölcsönhatásban lévő tényező tartja fenn, melyeket helyi stabilizáló mechanizmusok biztosítanak. A beteg hormonális állapota, táplálkozási és metabolikus faktorok érintettek a nyálkahártya sejtes szerkezetének stabilizálásában. Pl. számos vizsgálat témája a vasmetabolizmus szerepe a szájnyálkahártya struktúrájának fenntartásában. Néhány esetben a laboratóriumi vizsgálat enyhe vashiányt mutat, ugyanakkor a szájban a nyelvpapillák elvesztését és nyálkahártya-atrophiát okoz. (Ezt a vérképző szervi betegségekről szóló fejezet részletesen tárgyalja.)
Néha nehéz eldönteni, hogy a kialakult szájnyálkahártya-elváltozás, helyi nyálkahártya- abnormalitás vagy szisztémás betegség szájtünete. Ennek eldöntése orális medicinában jártas szakember feladata.
A szájnyálkahártya reakciója nem kizárólagosan olyan, mint amit általában a nyálkahártyákon látunk. Sok bőrbetegségnek vannak szájtünetei. Ez nem meglepő, hiszen anatómiailag a szájnyálkahártya felfogható, mint a környező hám embrionális invaginációja, melyből az arc hámja és a szájnyálkahártya is fejlődik. A mucocutan betegségek – bár szövettani képük hasonló – klinikailag gyakran különbözőnek látszanak a szájban és a bőrön. Ennek oka a folyamatosan nedves környezet, mely állandó enyhe sérülésekkel kombinálódik, valamint a fogak aktuális állapota és ételmaradék következtében számos baktérium jelenléte.
 

Orális medicina

Tartalomjegyzék


Kiadó: Semmelweis Kiadó

Online megjelenés éve: 2026

ISBN: 978 963 331 709 9

Az Orális Medicina a fogorvostan-hallgatók számára egy kissé elhanyagolt tárgy, mert elméleti alapjainak ismerete korábbi évfolyamok során történik, mint a tárgy oktatása (anatómia, élettan, immunológia). A könyv bizonyos elméleti ismereteket feltételezve, azokra hivatkozva adhat tájékozódási lehetőséget a fogorvostan-hallgatóknak és alkalmanként a fogorvosoknak is a szájbetegségek felismerésére, a diagnózis felállítására és a betegségek kezelésére. A szerzők célja emellett az is, hogy bizonyos tájékoztatást adjanak az általános betegségek fogászati vonatkozásaira és a fogak mellett a száj egyéb alkotóelemeinek és szerveinek betegségeivel kapcsolatban. Bár az orális medicinát a világ minden részén kissé mostohagyermekkén kezelik, egyre nagyobb jelentőséggel bír az életkor meghosszabbodása és a prevenció miatt a fogazat egyre hosszabb ideig való megtartása eredményeképpen. Vegye hasznát az olvasó mind a diagnosztikus, mind a terápiás módszereknek, tanulmányai, illetve praxisa során.

Hivatkozás: https://mersz.hu/kovesi-oralis-medicina//

BibTeXEndNoteMendeleyZotero

Kivonat
fullscreenclose
printsave