Kövesi György (szerk.)

Orális medicina


10.1.1. Leukoplakia

A leukoplakia definíciója és diagnózisa. A szájnyálkahártya 5 mm-nél nagyobb letörölhetetlen fehér foltja, mely klinikailag és patológiailag más betegségcsoportba nem sorolható be (Pindborg, 1978). A leukoplakia a szájnyálkahártya védekező mechanizmusa, mely valamilyen irritáló tényező hatására alakul ki. Ez az irritáció hazánkban az esetek 83,3%-ában a dohányzás. A fennmaradó 16,7% rossz tömések és pótlások mechanikus irritáló hatása (pl. a különböző fémek közötti a nyálban – mint elektrolitoldatban – kialakuló elektromos potenciálkülönbség – galvanizmus okozta irritáló hatás).
Az elváltozás tulajdonképpen hyperkeratinisatióval járó krónikus gyulladás, mely panaszt általában nem okoz. Első leírása óta (Schwimmer Ernő, 1877) többféle csoportosítás látott napvilágot és maga az elnevezés isgyakran képezte vita tárgyát: a „leukoplakia” fehér foltot jelent, így valamely lézió klinikai megjelölésére szolgál. A klinikai kórkép azonban különböző szövettani elváltozásokat takarhat. A szerzők egy része igyekezett tehát a leukoplakiát szövettani értelemben vett egységként körülírni, meghatározva a jellemzőnek tartott szövettani elváltozásokat. Így egyes szerzők csak a szövettani képben dysplasia jeleit mutató fehér foltot nevezték leukoplakiának. Szövettani értelemben alkalmazva a leukoplakia fogalmát azonban előfordulhat, hogy szövettanilag leukoplakiának diagnosztizált lézió klinikailag nem fehér folt alakjában jelentkezik. A szövettani kép esetében sem beszélhetünk világos és egyértelmű diagnózisról. Kutatási eredmények bizonyítják, hogy a patológusok közel ötven százaléka saját korábbi diagnózisával sem értett egyet ugyanannak a metszetnek a későbbi, ismételt vizsgálatakor.
Az elnevezés használatát végül is az Egészségügyi Világszervezet (WHO) szájüregi praecancerosisokkal foglalkozó munkacsoportja 1978-ban tisztázta, és ennek a szellemében a leukoplakiát klinikai diagnózisként tárgyalja.
Axéll és munkatársai 1994-ben egy, a szájüregi fehér léziókkal foglalkozó nemzetközi munkabizottság élén a leukoplakia kétlépcsős diagnózisát javasolták:
  1. ideiglenes diagnózist abban az esetben, ha olyan fehér léziót találunk, amelyet a szájnyálkahártya semmilyen más betegségcsoportjába nem tudunk egyértelműen besorolni, és
  2. definitív diagnózist, ha a kiváltó faktort azonosítani tudjuk és annak kiküszöbölése után azelváltozás megszűnik. Ha a lézió nem tűnik el, hisztopatológiai vizsgálatot kell végeznünk.
 
10.2. ábra. Scully diagnosztikai algoritmusa fehér lézió észlelésekor
 
Scully diagnosztikai algoritmusa szerint érdemes eljárni fehér lézió észlelésekor (10.2. ábra).
A 10.1. táblázatból kiderül, hogy a kezelési tervet és prognózist befolyásoló stádiummeghatározás kevéssé függ az elváltozás kiterjedésétől, sokkal inkább a klinikai jellegtől, illetve szövettani vizsgálat végzése esetén ennek eredményétől.
Az 1. stádiumba tartozó elváltozásoknak igen jó a prognózisa, daganat kialakulása úgyszólván nem fordul elő, így praecancerosisnak is csupán azért kell tekintenünk, mert más, súlyosabb klinikai formába és így 2., vagy 3. stádiumba mehet át. Kezelés ebben a stádiumban főleg konzervatív, az esetek nagy részében a kiváltó tényezők – főleg a dohányzás – eliminálása után spontán gyógyul. Ezt a folyamatot az A-vitaminos borogatás segíti.
A 2. stádiumban már nagyobb a daganat kialakulás veszélye. A kiváltó tényezők megszüntetésén túl a konzervatív kezelés sikertelensége esetén – mely igen gyakori – a biopsia vétele szükséges a pontos diagnózis és hisztológiai stádium felállítása érdekében, így tehát sebészi kezeléseket kell alkalmazni.
A 3. stádiumban biopsia vétele már kötelező a pontos diagnózis és hisztológiai stádium felállítása érdekében. Ilyenkor lehetőleg in toto az egész léziót és a határoló, klinikailag épnek tünő nyálkahárátyarészt is el kell távolítani. Biopsiát már csak olyan intézményben végezhetünk, ahol az esetleges malignus tumor végleges ellátásra is adottak a feltételek.
 
10.1. táblázat. A leukoplakia stádiumbeosztása
Ideiglenes diagnózis
Definitív diagnózis
Méret (M)
1: <2 cm
2: >2 cm
3: >2 cm és <4 cm
x: klinikailag nem meghatározott
Hisztológiai jellemző (H)
1: nincs dysplasia
2: enyhe dysplasia
3: közepes dysplasia
4: súlyos dysplasia
x: nem meghatározott
Klinikai jelleg (K)
1: homogén
2: nem-homogén
x: nem meghatározott
Stádiumbeosztás
1. stádium: bármely M, K1, H1, H2
2. stádium: bármely M, K2, H1, H2
3. stádium: bármely M, bármely K, H3, H4
 
A leukoplakia epidemiológiája. A szájüregi praecancerosisok jelentőségét mutatja az is, hogy számos hazai és külföldi felmérés született előfordulási gyakoriságuk megállapítására. Ezen epidemiológiai vizsgálatok eredményeit összevetve feltűnő az adatok jelentős szóródása (10.2. táblázat), melynek oka valószínűleg az, hogy eltérés fedezhető fel a vizsgált személyek száma, neme, életkora tekintetében, a diagnosztikai kritériumokban és a vizsgálati módszerekben. Mint ahogyan a táblázat is mutatja a különböző vizsgálatok a populációs mintavétel tekintetében is különbözőek. A húsz vizsgálat közül kilenc esetben szelektált beteganyag szerepelt, így vizsgáltak fogászati pácienseket, kórházi betegeket és munkásokat. A táblázatban szereplő sztomatoonkológiai szűrővizsgálatok közül a legtöbbet Indiában végezték és igen nagy a különbség a mintavétel nagyságában is.
A szakirodalom több magyarországi sztomatoonkológiai szűrővizsgálatról is beszámol (10.3. táblázat). A leukoplakia előfordulási gyakorisága ezen vizsgálatok alapján 0,57% és 3,60% között változik. A kisszámú magyarországi szűrővizsgálat a külföldiekhez hasonlóan elsősorban epidemiológiai jellegű volt, míg a Budapest VI. (1990) és III. (1996) kerületében végzett tüdőszűréshez csatlakozó sztomatoonkológiai szűrővizsgálatok már a kiterjedt lakosságszűrést is modellezték. Az egymástól jelentősen eltérő vizsgálati csoportok adatainak összehasonlítása komoly segítséget jelenthet a rizikócsoportok és a rizikótényezők felderítésében, de nem teszik lehetővé az átlag populáció morbiditási adatainak feltérképezését. Erre csak nagy létszámú, random populációs minta lenne alkalmas.
Életkor szerinti megoszlás, lokalizációs gyakoriság. Az irodalmi adatok szerint a lézió főleg idősebb korban jelentkezik (40–60 évesek) és gyakoribb férfiakban. Az újabb adatok szerint azonban egyre nagyobb arányban keletkezik a harmadik évtizedben járókban és nőkben is, ami összefügghet a lakosság dohányzási szokásainak változásával (egyre több tizenéves dohányzik és egyre emelkedik a dohányzó nők aránya). A szájnyálkahártya bármely területén kifejlődhet, de leggyakrabban a szájzugban és a buccán található. Gyakori még a nyelven, a szájfenéken és az ajkakon. A gingiván, illetve a fogatlan állcsontgerincet fedő nyálkahártyán való megjelenés esetén ki kell zárni a fogpótlások (funkció közben elmozduló alaplemez), esetleg az antagonista fogak mechanikus károsító hatásának kóroki szerepét. Az áthajlásban elsősorban a dohányleveleket szájukban tartó (smokless dohányzás) személyeknél alakul ki leukoplakia. A szájpadlás leukoplakiája főleg Indiában a „reverse smoking”-nak hódoló személyeknél alakul ki. Pipadohányt szívóknál alakulhat ki a leukokeratosis nicotina palati, amely leukoplakiához hasonlíthat, de nem praecancerosis (10.15. ábra).
A leukoplakia kialakulásában szerepet játszó tényezők. Kialakulása összetettebb folyamat, minthogy többnyire a dohányosokban fordul elő. Erre utal, hogy nem minden dohányzó személynek van leukoplakiája, illetve hogy – ritkán – nem dohányzó személyekben is létrejöhet az elváltozás, ráadásul ezekben az esetekben fokozottabb daganatrizikóval kell számolnunk. Fel kell tételeznünk tehát, hogy a leukoplakia kialakulásában egyéni hajlamnak is szerepet kell játszania. Ez a hajlam valószínűleg a károsító hatásokra való fokozott érzékenységet, illetve a hyperkeratosissal járó fokozottabb hámszöveti reakciót jelent.
 
10.2. táblázat. A leukoplakia előfordulási gyakorisága irodalmi adatok alapján
Szerzők
Évszám
Ország
Vizsgált populáció
Életkor
%
Gerry és mtsa
1952
Guam
2004 falusi lakos
>0
0,20
Mehta és mtsai
1961
India
4734 városi lakos
 
3,50
Atkinson és mtsa
1964
Új-Guinea
3966 falusi lakos
 
8,10
Forlén és mtsai
1965
Új-Guinea
753 falusi lakos
 
17,00
Pindborg és mtsa
1965
India
10 000 fogászati beteg
 
3,28
Pindborg és mtsa
1965
India
10 000 fogászati beteg
 
2,84
Pindborg és mtsa
1966
India
10 000 fogászati beteg
 
1,55
Zachariah és mtsa
1966
India
5000 fogászati beteg
>0
2,36
Pindborg és mtsa
1968
Új-Guinea
1226 falusi lakos
>20
4,60
Mehrota
1969
India
5000 városi lakos
>20
1,10
Mehta és mtsa
1969
India
50 915 falusi lakos
>15
1,70
Jussawala és Rajpal
1969
India
40 000 falusi lakos
 
7,00
Wahi és Mital
1970
India
7286 falusi lakos
 
5,20
Chrigström
1970
Svédország
201 városi fogsorviselő
öregek
3,00
Knapp
1971
USA
181 338 városi és falusi
 
0,20
Gangadharan és Paymaster
1971
India
203 249 kórházi beteg
>0
0,69
Ross és Gross
1971
USA
11 884 városi lakos
 
3,20
Mehta és mtsa
1972
India
101 761 falusi lakos
>15
0,67
Srivastava
1973
India
8428 falusi lakos
>18
2,80
Grabowski
1974
Dánia
557 falusi lakos
>65
1,30
Axéll
1976
Svédország
20 333 falusi lakos
>15
3,60
Silverman és mtsa
1976
India
57 518 ipari munkás
>35
11,70
Wilsch és mtsai
1978
NSZK
4000 városi lakos
 
2,20
Lay és mtsa
1982
Burma
6000 falusi lakos
>15
1,70
Zhang Kui-Hua
1983
Kína
134 492 falusi lakos
 
10,46
Rodriguez és mtsa
1983
Kuba
749 városi munkás
20–75
2,10
Mani
1985
Szaúd-Arábia
674 fogászati beteg
17–70
1,90
Zachariah és Pindborg
1985
India
24 000 kisvárosi lakos
 
2,00
Bouquot és mtsa
1986
USA
23 616 lakos
>30
2,89
Reichart és mtsa
1987
Thaiföld
1866 lakos
>0
1,10
Hogewind és mtsa
1988
Hollandia
1000 városi lakos
>0
1,40
Ikeda és mtsai
1991
Japán
3131 gyári munkás
>18
2,50
Ikeda és mtsai
1995
Kambodzsa
1319 vidéki e.ü. munk.
15–99
1,10
Chiang és mtsai
2013
Taiwan
2050 fogászati beteg
4–91
0,2
 
10.3. táblázat. Sztomatoonkológiai szűrővizsgálatok Magyarországon
Szerzők
Évszám
Populációs minta
Talált elváltozások
Balogh és Huszár
1952
103
falusi cigány
Leukoplakia: 40,7%
Kovács
1962
500
fogászati beteg
Leukoplakia: 2%
Bruszt
1962
5613
Bácsalmási járás (14 éven felüliek)
Leukoplakia: 3,60 %
Jóindulatú daganat: 0,17%
Bánóczy, Radnai, Reményi
1969
16 332
Dunakeszi és Felsőgöd (17 éven felüliek)
Leukoplakia: 0,57%
Jóindulatú daganat: 0,10%
Sonkodi és Tóth
1974
2124
Szegedi textilipari munkások (14 éven felüliek)
Leukoplakia: 2,40%
Morsicatio: 1,22%
Lichen oris: 0,80%
Jóindulatú daganat: 0,42%
Bánóczy
1976
4359
klinikai beteg
Leukoplakia: 2,54%
Bánóczy és Rigó
1990
7820
Budapest, VI. kerület (18 éven felüliek)
Leukoplakia: 1,30% Lichen oris: 0,08%
Dombi és mtsai
1996
5034
Budapest, III. kerület (14 éven felüliek)
Leukoplakia: 3,31%
Lichen oris: 0,42%
Jóindulatú daganat: 3,71%
Szabó és mtsai
1997
300
hajléktalanok
Praecc. összesen: 14,33
Kardos és mtsai
2000
5054
 
Praecc. összesen: 3,7
Bakó és Kósa
2000
6937
31 település Szabolcs-
Szatmár megyében
Praecc. összesen: 0,62
 
A leukoplakia fő kiváltó tényezője mindenképp a dohányzás. Kimutatható, hogy a leukoplakiás betegek döntő többsége dohányos. Az elszívott dohány mennyiségével pedig arányosan nő a leukoplakia kialakulásának valószínűsége. A dohányzás kóroki szerepe több tényező együttes hatásából származik. A dohányzó forró, száraz füstöt szív be, ami nagyon komolyan szárítja a nyálkahártyát, a füstben lévő irritatív kémiai anyagok pedig kisfokú gyulladást provokálnak a hám alatti kötőszövetben. Ez a lokális hatás olyan határozott, hogy az esetek jó részében a leukoplakia elhelyezkedése és kiterjedése alapján meg lehet határozni a füst szokásos útját a szájüregben. A cigarettafüst, egyes becslések szerint, több mint 4000 különböző vegyületet tartalmaz, melyek közel tizede rákkeltő hatású – többnyire aromás szénhidrogének. Nagy részük a papír, a növényvédő szerek és aromaanyagok égéstermékei, és arányuk magasabb az alacsonyabb hőfokon való elégés termékeként létrejövő füstben. Vagyis veszélyesebb füst keletkezik, amikor a dohányos nem szívja, csak kicsit parázslik a cigaretta. Sem a daganat, sem a leukoplakia létrejöttében nem feltétlenül szükséges a füst jelenléte. Az ún. smokeless tabacco, azaz bagórágás is elegendő lehet. Ennél a dohányzási formánál a dohánylevélkeveréket összerágva a fogak melletti áthajlásba helyezik és az tartósan ott tartják, miközben hatóanyagok (jellemzően a nikotin) és szintén a carcinogenek felszívódnak belőle. Ezen a helyen a leukoplakia és a carcinoma előfordulása sem ritka.
A legtöbb dohányzó emberben már az említett hatások is elegendőek a nyálkahártya lokális kiszáradásához, fizikai és kémiai irritációjához, amelyre a nyálkahártya krónikus kötőszöveti gyulladással és fokozott – ám a permeabilitást nem eléggé gátló – hámképzéssel reagál. (Squayer szerint a leukoplakiában a nyálkahártya permeabilitása fokozott, erről tartott előadást hazánkban is.) A megvastagodott hámréteg pedig fehér folt formájában láthatóvá válik, megjelölve a nyálkahártya veszélyeztetett területeit.
A szájüregben más fizikai és kémiai behatások islétrehozhatnak fehér foltokat. Ezek egy része elősegítheti leukoplakia létrejöttét, vagy súlyosbíthatja a kórképet. Ilyenek lehetnek például a mechanikus mikrosérüléseket okozó éles fog- és fogműszélek, a krónikus candidiasis (candida leukoplakia), az elektromos potenciálkülönbségeket okozó, eltérő összetételű fémekből készült fogművek és a csökkent immunvédekezés mellett kialakuló Epstein–Barrvírus-fertőzés okozta „hajas leukoplakia”. Ezen hatások segítségével létrejövő leukoplakiákat el kell különítenünk azon fehér lézióktól, amelyeket más fizikai (pl. harapdálás, protézismozgás), kémiai (pl. savhatás, aszpirin) és biológiai (pl. fertőzések, örökletes állapotok) hatások hoznak létre, és nem számítanak praecancerosisnak.
A leukoplakia típusai. A szájüregi leukoplakiák legfontosabb klinikai beosztásait a 10.4. táblázat tartalmazza.
 
10.4. táblázat. Szájüregi leukoplakiák klinikai beosztásai
Bánóczy és Sugár (1959)
Pindborg és mtsa (1963)
Axéll és mtsa (1984)
Leukoplakia simplex
Homogén leukoplakia
Homogén leukoplakia
Leukoplakia verrucosa
Nem-homogén leukoplakia
  • Leukoplakia verrucosa
  • Nodularis leukoplakia
  • Erythroleukoplakia
Leukoplakia erosiva
Speckled leukoplakia
 
Homogén leukoplakia
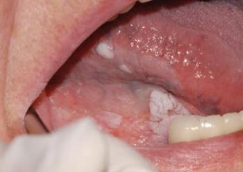
Az elváltozások nagyobbik része a kisebb rizikóval járó, ún. homogén típusba tartozik, amely egyenletesen fehér, sima vagy enyhén töredezett felszínű elváltozás (10.3. ábra10.5. ábra). Ez utóbbi területén szabálytalan vonalban normális nyálkahártyaszínű árkok futnak, utcakövezethez hasonlóvá téve az elváltozást. A homogén leukoplakia felismerését segíti az a diagnosztikus jel, hogy az elváltozásra vetülő fény megtörik az egyenetlen felszínen, így az egészségesnek látszó nyálkahártyára jellemző csillogás elvész. Fontos lehet ez a tulajdonság a néha igen hasonló morfológiájú lichen oris szájüregi képétől való elkülönítésben.
 
10.3. ábra. Homogén leukoplakia a bal buccán és az ajakzugban
 
10.4. ábra. Homogén leukoplakia a lágy szájpad jobb oldalán
 
10.5. ábra. Homogén leukoplakia a szájfenék jobb oldalán
 
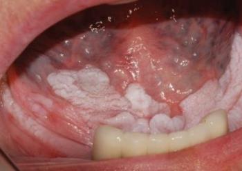
Nem-homogén leukoplakia típusok
A ritkábban előforduló nem homogén csoportba tartozik a verrucosus típus, melyet exophyticus hámmegvastagodás, valamint szabálytalan kiemelkedések jellemeznek (10.6. ábra10.8. ábra). A noduláris leukoplakia a nyálkahártyából kiemelkedő, kerek, piros vagy fehér kiemelkedésekkel tarkított elváltozás, melyet gyakran a homogén vagy verrucosus leukoplakia Candida albicanssal történő felülfertőződése okoz. Az erythroleukoplakia fehér lézió, melyet vörös, erosiós területek szakítanak meg. Valamennyi típus közül leginkább ez utóbbinál számíthatunk arra, hogy a betegnek panaszt okoz, de természetesen ez is lehet teljesen panaszmentes. Ennél a típusnális gyakori a candidiasis jelenléte, ami egyrészt növeli a malignizáció veszélyét, másrészt módosítja a terápiás tervet.
 
10.6. ábra. Verrucosus leukoplakia a szájfenéken
 
10.7. ábra. Verrucosus leukoplakia a nyelv alatt és a ny elv oldalán
 
10.8. ábra. Homogén és nem homogén (verrucosus) leukoplakia a nyelv felszínén
 
Hairy – hajas – leukoplakia
A leukoplakia viszonylag újonnan leírt típusa, mely főleg a nyelv oldalsó felszínein – gyakran bilateralisan – alakul ki és HIV-fertőzötteknél fordulelő. Oka nem tisztázott, de gyakran kimutatható Epstein–Barr-vírus-fertőzés és vírusellenes szerekre megszűnhet. Ugyancsak nem ritka orális candidiasissal való szövődése. A statisztikai adatok alapján nem tartjuk praecancerosisnak, de mint a HIV-fertőzés indikátorát, fontos diagnosztikus jelnek kell tekintenünk (10.9. ábra).
A leukoplakia hisztopatológiája. A leukoplakia biztos definitív diagnózisához tehát az esetek legnagyobb részében hisztopatológiai vizsgálat elvégzése is szükséges. A hematoxilin-eozinnnal festett metszetek kiértékelése a hám és a kötőszövetben látható elváltozások szerint történhet (10.1. ábra). A leukoplakia kórszövettani diagnózisához a 10.5. táblázatban foglaltak közül több elváltozás egyidejű jelenléte szükséges (10.5. táblázat).
 
10.9. ábra. „Hajas” leukoplakia a nyelv jobb oldalán (WHO)
 
10.5. táblázat. Leukoplakia kórszövettani diagnózisa
Hámelváltozások
  1. Orthokeratosis
  2. Hyperorthokeratosis
  3. Parakeratosis
  4. Hyperparakeratosis
  5. Dyskeratosis
  6. Hyperplasia
  7. Atrophia
  8. Intraepithelialis oedema
  9. Degeneratio vacuolaris
  10. 10.Dysplasia*. Dysplasia akkor állapítható meg, ha az alább felsorolt jelek közül kettő vagy annál több van jelen:
    • szabálytalan hámrétegződés
    • basalis réteg hyperplasiája
    • csepp alakú hámcsapok
    • megnövekedett mitosisszám (kevés rendellenes mitotissal)
    • basalis sejtek polaritásának megváltozása
    • megnövekedett mag-plasma arány
    • magpolymorphismus
    • hyperchrom magok, nucleolusok
    • nagyobb nucleolusok
    • egyes sejtek vagy sejtcsoportok elszarusodása a stratum spinosumban
    • intercelluláris sejtösszeköttetés megszakadása
*A hámdysplasiát enyhének tekinthetjük, ha a dysplasia jellemzői közül kettő, mérsékeltnek, ha kettő- négy-, súlyosnak, ha öt-, illetve ötnél több fordult elő.
Kötőszöveti elváltozások:
  1. Gyulladás
  2. Hialinos vagy elacin degeneráció
 
Bánóczy és Csiba 165 leukoplakiás beteg hisztopatológiai vizsgálata során a leukoplakia simplexben (homogén leukoplakia) szenvedőknél hyperorthokeratosist, a stratum granulosum jelenlétét és a hám alatti kötőszövet idültgyulladását találták és a szabályos szerkezetű hám az esetek felében hyperplasiás, másik felében atrophiás volt. A verrucosus leukoplakiát az esetek felében dyskeratosis kísérte, míg az erozív leukoplakiák (erythroleukoplakia) vizsgálata során parakeratosist, hyperparakeratosist, dyskeratosist, hámhyperplasiát és a hám alatti kötőszövet idült gyulladását találták. Ez utóbbi típus három esetben carcinoma in situ (intraepithelialis carcinoma) képét mutatta.
Leukoplakia és candidiasis. A leukoplakia bármely típusánál fokozott veszélyt jelent és ezért a diagnózis felállításánál külön figyelemmel kell lenni a Candida albicanssal történő felülfertőződésre, mely főleg a noduláris formáknál és az erythroleukoplakiánál gyakori. A Candida albicans kapcsolata a leukoplakiával Jepsen és Winther (1965), valamint Balogh és Lelkes (1965) vizsgálatai óta ismeretes. Ma sem eldöntött azonban az a kérdés, hogy vajon a Candida-fertőzésnek etiológiai szerepe is van, vagy csupán másodlagos fertőzésről van-e szó. A „speckled” típusú leukoplakiáknál gyakori a Candida albicanssal való fertőzés. Ilyen esetekben a kezelést mindig a gombás fertőzés leküzdésével kell kezdeni, és gyakran már az antimikotikus kezelés hatására a nem-homogén leukoplakia homogén formába megy át. Különösen gyakori a szájzugban előforduló leukoplakiák candidiasissal való kapcsolata, melyet gyakran krónikus hyperplasiás candidiasisnak vagy Candida-fertőzéssel társult leukoplakiának (Candida associated leukoplakia) nevezünk.
A leukoplakia malignizációs hajlama. Az irodalomban több olyan követéses (longitudinális, follow-up) vizsgálat szerepel, melyek a szájüregi leukoplakiák malignizációs hajlamát figyelték. Ezek eredménye szerint a szájüregi leukoplakiából kifejlődő carcinoma aránya 2–30 évig terjedő megfigyelési idő alatt 0,13–18%, átlagosan 56% között változik. A leukoplakia különböző formái különböző malignizációs hajlammal rendelkeznek. Összehasonlító vizsgálat során (Bánóczy, 1976) a simplex formából 0%, verrucosus formából 4,6%, míg az erozív formából 28% malignizálódott. Scully (2013) szerint az összes leukoplakia malignizációs hajlama 2–5%, a dysplasiát mutató leukoplakiák aránya 5–20%, a dysplasiát mutató leukoplakiák malignizációs hajlama viszont már 10–35%.
Biopsiát indokolt venni,
  • ha a páceins anamnézisében korábbi fej-nyak carcinoma szerepel,
  • ha a leukoplakia nem homogén vagy indurált,
  • ha fokozott rizikójú lokalizációban van (nyelvszél, szájfenék),
  • ha csak egy területen látható,
  • ha tüneteket produkál,
  • és hiányzik a nyilvánvaló etiológiai faktor.
 
10.10. ábra. Morsicatio buccarum
(Gera I felvétele)
 
10.11. ábra. Fordyce foltok a bal buccán
(Gera I. felvétele)
 
A leukoplakia differenciáldiagnosztikája. A leukoplakiát, mint kezelésre és gondozásra szoruló praecancerosus léziót, el kell differenciálnunk olyan gyakran előforduló, ártalmatlan elváltozásoktól, amelyek téves diagnózis esetén felesleges carcinophobiát okozhatnak a pácienseknek (10.6. táblázat).
 
10.6. táblázat. Leukoplakia differenciáldiagnosztikája – elkülönítendő kórképek
Fordyce-foltok
Ectopiás faggyúmirigyek, melyek a szájnyálkahártya áttetszősége miatt apró fehér, vagy sárgás foltokként tűnnek át (10.11. ábra és 10.12. ábra)
Linea alba
A fogsorok záródási vonalában negatív szájűri nyomás miatt kialakuló fehér vonal, melyre a beteg ismételten rá is harap (morsicatio)
Morsicatio buccarum et labiorum
Rossz szokásként felvett krónikus ajak és pofa harapdálás következményeként létrejövő hámleválás, mely leukoplakiát és erythroplakiát is utánozhat (10.10. ábra)
White sponge naevus
Családi halmozódást mutató, gyorsan leváló hámmegvastagodás (10.14. ábra)
Leukooedema
A bucca hámsejtjeiben és a sejtek között felszaporodó víz okozta fehéres szín a buccán
Leukokeratosis nicotina palati
Főleg pipások keményszájpadjának fehér hiperkeratotikus elváltozása, a kis nyálmirigyek gyulladt kivezetőcsöveit mutató pici piros foltokkal (10.15. ábra)
Krónikus hyperplasiás candidiasis
Ebben az esetben a fehér folt letörölhető és alatta pontszerűen vérző erythemás területeket találunk (10.13. ábra)
 
10.12. ábra. Fordyce foltok a buccán
(Gera I. felvétele)
 
10.13. ábra. Candidiasis a palatumon
(Gera I. felvétele)
 
10.14. ábra. White sponge naevus (leukokeratosis exfoliativa mucosae oris)
(Gera I. felvétele)
 
10.15. ábra. Leukokeratosis nicotina palati
(Gera I. felvétele)
 

Orális medicina

Tartalomjegyzék


Kiadó: Semmelweis Kiadó

Online megjelenés éve: 2026

ISBN: 978 963 331 709 9

Az Orális Medicina a fogorvostan-hallgatók számára egy kissé elhanyagolt tárgy, mert elméleti alapjainak ismerete korábbi évfolyamok során történik, mint a tárgy oktatása (anatómia, élettan, immunológia). A könyv bizonyos elméleti ismereteket feltételezve, azokra hivatkozva adhat tájékozódási lehetőséget a fogorvostan-hallgatóknak és alkalmanként a fogorvosoknak is a szájbetegségek felismerésére, a diagnózis felállítására és a betegségek kezelésére. A szerzők célja emellett az is, hogy bizonyos tájékoztatást adjanak az általános betegségek fogászati vonatkozásaira és a fogak mellett a száj egyéb alkotóelemeinek és szerveinek betegségeivel kapcsolatban. Bár az orális medicinát a világ minden részén kissé mostohagyermekkén kezelik, egyre nagyobb jelentőséggel bír az életkor meghosszabbodása és a prevenció miatt a fogazat egyre hosszabb ideig való megtartása eredményeképpen. Vegye hasznát az olvasó mind a diagnosztikus, mind a terápiás módszereknek, tanulmányai, illetve praxisa során.

Hivatkozás: https://mersz.hu/kovesi-oralis-medicina//

BibTeXEndNoteMendeleyZotero

Kivonat
fullscreenclose
printsave