Kövesi György (szerk.)

Orális medicina


11.1.2. Lichen oris

Gyakoriság. A lichen orisa lakosság kb. 0,1–4,0%-átérinti. A szám inkább területimegoszlás szerint változik, városokban gyakoribb, vidéken ritkábban fordul elő. A nő-férfi arány 2:1. Az életkor szerinti előfordulás hasonló, mint bőrgyógyászati betegek esetében, bár a szájban inkább a 60 éves és az afölöttiesetekben gyakoribb, de egészen fiatalokon is előfordul. Az orális medicina szakrendeléseken sokkal gyakoribb a lichenes betegek előfordulása, mint más bőrbetegségek szájtüneteié. A bőrgyógyászati esetek 56%-ánál szájtünet is van, míg a szájelváltozással jelentkező betegek 52%-ának vannak bőrtünetei. Az bizonyos, hogy a szájelváltozások hosszabb ideig állnak fenn, mint a bőrelváltozások.
A lichen oris klinikai képe. Az esetek 90%-ában a szájlézió kétoldali, és a bucca nyálkahártyáját érinti, majd csökkenő gyakorisággal a nyelv, a gingiva, az ajak és ritkábban a palatum érintett. A különböző klinikai típusok leírásában ellentmondások vannak az irodalomban. A 11.1. táblázatban bemutatott beosztás a legelfogadottabb.
 
11.1. táblázat. A lichen oris klinikai típusai
  • Papularis
  • Rericularis
  • Plakkos
  • Bullosus
  • Atrophiás
  • Eróziós
  • Desquamativ gingivitis
 
11.2. ábra. Lichen oris – papularis forma
 
11.3. ábra. Lichen oris – reticularis forma
 
 
A papularis és reticularis forma akár tünetmentes is lehet, bár ez ritkán fordul elő, mert a lichenes betegeknek erős betegségtudata van (pszichés háttér). A hám ezeknél a betegeknél hyperorto- vagy hyperparakeratoticus. Nincs hámatrophia és fekélyesedés (11.2. ábra). A jellemző klinikai kép: fehér csíkok a szájnyálkahártyán, mely faág, szarvasagancs vagy anularis (gyűrűszerű) reticularis rajzolatot mutat. Ez az összefolyt papulák képe, az ún. Wickham-féle striák (11.3. ábra).
A papulák vonalas rajzolat helyett gyakran szorosan, egymás mellett nagyobb összefüggő felületen alakulnak ki plakkszerű elváltozás alkotva (11.4. ábra), amely leukoplakiára emlékeztet és differenciáldiagnosztikai problémát okozhat. A betegség folyamán a léziók morfológiája változhat, valamint változhat a betegség kiterjedése és intenzitása is. Általában a klinikai tünetek nem súlyosak és gyakran a beteg csak a nem teljesen sima felszínt veszi észre.
A reticularis formánál a klinikai kép elég a diagnózishoz, de a komplikáltabb formáknál szükség lehet szövettani vizsgálatra.
 
11.5. ábra. Lichen oris – bullosus forma
 
Az ún. simplex lichen (papularis, reticularis, plakkos) mellett az orális lichen csoportba változatos klinikai képet mutató, ún. exsudativ lichen típusok is tartoznak. Ezekben az elsődleges lézió sokszor a bullaképződés, amely felszakadva erózióba, majd a zavart gyógyulása során atrophiás formába mehet át. Azonban erózios lichen kialakulhat bullaképződés nélkül is. A bullosus lichen ritka betegség, sokszor benignus mucosus pemphigoiddal együtt fordul elő, azonban a jellegzetes Wickham-striák a lézió körül mindig felfedezhető. Ilyenkor hám-kötőszövet határán a sejtrétegek egymástól elválnak és gyulladásos exsudatum jelenik meg (11.5. ábra).
 
11.6. ábra. Lichen oris – atrophiás forma
 
11.7. ábra. Lichen oris – eróziós forma
 
A bulla azonban hamarosan felszakad és erózióba megy át. Ez gyakran jelentős fájdalommal társul. Erózió azonban kialakulhat hólyagképződés nélkül is. A lichen atrophiás formájában a szájnyálkahártya atrophiás változáson esik át, basalis rétege gyenge és oedemás (11.6. ábra). Ez a nyálkahártya-felszínen fekélyképződésben manifesztálódhat, és a szomszédos nyálkahártya- területeken reticularis elváltozás látható. Kezdetben az atrophiás hám nagyon törékeny és gyorsan széteshet, ami jellegzetes eróziós elváltozást okoz (11.7. ábra). Az irodalom, elsősorban az angolszász szakkönyvekben, a hámvesztésnél az erozív és az ulceratív kifejezést szinonímaként használja. Az a terminológia, melyet ennek a betegség formának a leírására az orális medicina használ, félrevezető lehet, mert nem tükrözi a szövettani jellegzetességeket. Ez a hám felületes hiánya, amely súlyosabb egyéb komplikáló faktorok nélkül nem terjed a kötőszövetre, és nem jár kötőszövet necrosissal, tehát valójában nem ulcus, hanem erózió. Az általunk használt erozív kifejezés a szájnyálkahártya szabálytalan (felületes vagy mély) károsodásának leírása, amit sárgásfehér, fibrines lepedék borít.
Az atrophiás formában (11.6. ábra) a hám elvékonyodik, és mint erythaemás nyálkahártyaelváltozás jelenik meg. Mind az erozív, mind az atrophiás forma a szájban tüneteket (fájdalom) okoz. A betegség reticularis és plakkos formájában az ilyen tünetek ritkák (bár a betegnek panaszai vannak), különösen fűszeres vagy csípős ételek fogyasztásakor. A nyálkahártya érzékeny mechanikus irritációkra. Az első tünete, amit a beteg észlel, az a fogsor okozta trauma, mely más klinikai tüneteknél korábban jelenik meg. Különösen időskorban lehet nagy buccalis vagy nyelven lévő fekély, ezek fájdalmasak. Az ilyen fájdalmas elváltozások zavarják a beteget az étkezésben és a beszédben.
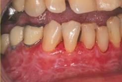
Az összes klinikai forma érintheti a gingivát, más intraorális területek megbetegedése nélkül. Az esetek kb. 10%-a csak a gingiván okoz tüneteket, a lichen a desquamativ gingivitis leggyakoribb oka. Ez megnehezítheti a diagnózist. A gingiva felépítése nehézzé teszi biopsiás anyag nyerését és a szöveti struktúra nehézzé teszi a szövettani eredmény interpretálását, különösen, ha a képet nem specifikus gingivitis is komplikálja. A gingiva ilyenkor teljes szélességében fénylő, vörös. Ezt a formát desquamativ gingivitisnek nevezik, ami más autoimmun betegségek szájtünete is lehet (11.8. ábra).
 
11.8. ábra. Gingivalis lichen oris (desquamativ gingivitis)
 
A lichen minden klinikai formájának végleges diagnózisa a biopsiás anyag szövettani vizsgálata, ami PAS (perjódsavas Shiff) festést is magába foglal, mert Candida albicans gyakran okoz Kőbner-jelenséget, ami fontos etiológiai tényező az orális lichenben. Differenciáldiagnosztikai problémát okozhat a nyálkahártya-pemphigoid (a bullákat lichenoid lézió övezi) és még az erythroleukoplakia.
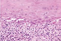
A lichen oris szövettani képe. Az orális lichen szövettani képe sokban hasonló a bőrelváltozás szövettani képéhez, amelyre a subepithelialis, bandázs-szerű, főleg CD8+ T-lymphocyákból álló infiltráció jellemző, azonban szájnyálkahártya-elváltozásban macrophagok is jelen vannak, és a hámban megnő a Langerhans-sejtek száma. Az orális lichen szövettani képére (11.9. ábra11.10. ábra) a következő jellemző: hyperorto- vagy hyperparakeratosis, acanthosis (ami a stratum spinosum sejtjeinek megnövekedett száma miatt alakul ki, majd a basalis sejtek szaporodása miatt a hám a kötőszövetbe kesztyűujjszerűen hatol be), valamint a bandage-szerű kereksejtes beszűrődés a kötőszövetbe. A bazális membrán területén és a bazális sejtekben hidropikus degeneráció néha a hám- és kötőszövet szeparációjaként manifesztálódik, és vezet a bullózus forma kialakulásához. Többször egyéb elváltozások, mint pl. az atrophia is látható. A reticularis lichenben is felfedezhető hámszövet-degeneráció. A nem erozív lichen szöveti képére jellemző a fokális epithelialis sejtelhalás következtében kialakuló üres sejtek (angolul civatte bodies), amely a programozott sejthalál, az apoptózis jelensége. Az apoptotikus sejteket a macrophagok távolítják el. Citoid „civatte” testek azonban nem betegségspecifikus struktúrák, immunglobulinokat és komplement komponenseket tartalmaznak. Ezek magas előfordulása jelzés, de nem diagnosztikus értékű. A kötőszövetben vaskos, bandage-szerű lymphocytabeszűrődés észlelhető. Azonban egyértelmű, hogy a T-lymphocyták megjelenése nem az epithelialis sejtpusztulás következménye, hanem annak okozója. A lichen oris direkt immunfluoreszcens (DIF) vizsgálatának eredménye magasan specifikus. Drága, de néha szükséges vizsgálat. A bazális membrán zónában fluoreszkáló csík látható, de csak nagyon ritkán ad pozitív reakciót anti-IgA, anti-IgG vagy antiIgM ellenanyaggal. Nincs immunglobulin depozitum. Sokkal gyakrabban lehet kimutatni fibrinogénlerakódást a basalis membrán alatt, amely antifibrinogén ellenanyaggal kimutatható. Ez azonban más autoimun betegségben is kimutatható. A betegség patogenezise még nem egyértelműen tisztázott, de valószínű, hogy valamilyen antigén hatására kialakuló immunválasz jön létre a szájnyálkahártya hámjában, ami a domináns T-sejtes infiltrátumot is megmagyarázza.
 
11.9. ábra. Acanthosis, a stratum spinosum sejtjeinek számának megnövekedése
 
11.10. ábra. A lichen szövettani képe, bandage-szerű kereksejtes beszűrődés
 

Orális medicina

Tartalomjegyzék


Kiadó: Semmelweis Kiadó

Online megjelenés éve: 2026

ISBN: 978 963 331 709 9

Az Orális Medicina a fogorvostan-hallgatók számára egy kissé elhanyagolt tárgy, mert elméleti alapjainak ismerete korábbi évfolyamok során történik, mint a tárgy oktatása (anatómia, élettan, immunológia). A könyv bizonyos elméleti ismereteket feltételezve, azokra hivatkozva adhat tájékozódási lehetőséget a fogorvostan-hallgatóknak és alkalmanként a fogorvosoknak is a szájbetegségek felismerésére, a diagnózis felállítására és a betegségek kezelésére. A szerzők célja emellett az is, hogy bizonyos tájékoztatást adjanak az általános betegségek fogászati vonatkozásaira és a fogak mellett a száj egyéb alkotóelemeinek és szerveinek betegségeivel kapcsolatban. Bár az orális medicinát a világ minden részén kissé mostohagyermekkén kezelik, egyre nagyobb jelentőséggel bír az életkor meghosszabbodása és a prevenció miatt a fogazat egyre hosszabb ideig való megtartása eredményeképpen. Vegye hasznát az olvasó mind a diagnosztikus, mind a terápiás módszereknek, tanulmányai, illetve praxisa során.

Hivatkozás: https://mersz.hu/kovesi-oralis-medicina//

BibTeXEndNoteMendeleyZotero

Kivonat
fullscreenclose
printsave