Kövesi György (szerk.)

Orális medicina


11.2.2.1. Pemphigus vulgaris

Elsősorban a 4–5. évtizedben alakul ki. Ritka betegség, 100 000 emberből évente 0,1–0,5 megbetegedés fordul elő. A betegségnek biztos genetikai háttere is van, így bizonyos etnikai csoportok, elsősorban az Ashkenazi zsidó populációban szignifikánsan gyakrabban fordul elő, mint másokban. Ugyancsak gyakrabban fordul elő a mediterrán országok felnőtt lakosságán (olasz, görög, arab). Ittbizonyos allél polimorfizmus felel az auto-antigenitásért (HLA DRB10402 haplotípus). Előfordulhat egyéb autoimmun betegséggel társulva (rheumatoid arthritis, SLE, myasthenia gravis, illetve anaemia perniciosa).
Nagyon gyakran, hozzávetőlegesen az esetek 70%-ában az első tünetek a szájban jelennek meg. Előfordulhat, hogy évekig csak a szájnyálkahártya károsodik, de érintett lehet jóval ritkábban más nyálkahártya régió is. Ismert orális, orális-genitális, bőr, orális + genitális + cutan és nagyon ritkán csak genitális érintettség is. A legfontosabb autoantigén a cutan pemphigusban a Dsg1, a szájnyálkahártya-pemphigusban a Dsg3
Krónikus lefolyású, régen kezelés nélkül letális kimenetelű betegség, amely minden esetben felületes, intraepithelialis nagy hólyagképződéssel indul mind a bőrön, mind a nyálkahártyán. Mivel a bőr hámrétege vastagabb, többször találkozhatunk intakt cutan hólyagokkal (11.15. ábra). Bizonyos idő múlva a bőrhólyagok felszakadnak és kezdetben felületes hámfosztott eróziók, majd idővel a beszáradt plazma révén pörkök jelennek meg (11.16. ábra). A szájnyálkahártya jóval vékonyabb és sérülékenyebb, ezért a felületes hólyagok borító hámrétege már enyhe sérülése után felszakad, és azonnal felszínes, gyulladásos udvar nélküli eróziók alakulnak ki a nyálkahártyán. Szájnyálkahártyán intakt pemphigusos bulla alig észlelhető (11.17. ábra).
Klinikai diagnosztika. A részletes anamnézis felvételekor a klinikus viszonylag könnyen elkülönítheti egyéb, akut orális hólyagos betegségektől, a stomatitis herpeticától vagy a erythema exsudativum multiformétől vagy akár a aphtháktól is. Míg a herpes és aphtha hirtelen kezdődik, jó gyógyulási hajlamot mutat, de visszatérhet, a pemphigus alattomosan kezdődik, spontán soha nem gyógyul és folyamatosan terjed, egyre nagyobb felszíneket érintve. Amennyiben a felszínes, bőrléziók is megjelennek, ez is megerősíti diagnózisunkat.
 
11.15. ábra. Nagy felületes hólyagok pemphigus vulgarisban (a), amely spontán könnyen felszakad (b) és felületes bőreróziókat (c) alkot
 
11.16. ábra. Pörkösödött, felületes bőrléziók
 
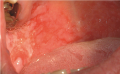
11.17. ábra. Felületes erózió orális pemphigusban
 
11.18. ábra. A buccán és nyelven megjelenő bizonytalan, gyulladásmentes eróziók esetében mindig gondolnunk kell pemphigus gyanújára (a-d). Az ajkon idővel nyálkahártya léziót beszáradt pörk boríthatja (e, f)
 
11.19. ábra. Jellemző, hogy pemphigusban a felszínes nyálkahártya-eróziónak nincs gyulladásos udvara
 
11.20. ábra. Bizonytalan desquamativ gingivitis nagyon felületes eróziói is pemphigus
 
11.21. ábra. A desquamativ gingivitis leggyakrabban lichen oris talaján alakul ki gyanúját vetik fel
 
11.22. ábra. A kezdődő bőrpemphigus felületes, pörkkel borított eróziói
 
Mindig pemphigus vulgarisra kell gyanakodnunk, amennyiben valaki bizonytalan, felületes nyálkahártya-eróziókkal és felszínes bőrsérülésekkel jelentkezik fogorvosánál. Néha csak alig látható vöröses eróziók jelennek meg a buccán, szájpadon vagy a nyelven (11.18. ábra (a, b, c, d)). Az ajakpíron megjelenő léziók idővel pörkösödhetnek (11.18. ábra (e, f)). Ép nyálkahártya-hólyagot alig láthatunk, mivel az intraepithelialis bulla teteje nagyon vékony és ezért nagyon sérülékeny. Legtöbbször a fogorvos már csak a felrepedt bulla talján kifejlődött erózióval találkozik. A gyulladásban a kötőszövet nem vesz részt, ezért sem oedema, sem hólyagok körüli gyulladásos udvar nem észlelhető (11.19. ábra). Gyakran fordul elő a gingiván desquamativ gingivitis formájában (11.20. ábra). Desquamativ gingivitisre jellemző, hogy a plakk okozta gingivitisszel ellentétben, gyulladás nem az ínypapilla csúcsán és a sulcus gingivae-ben zajlik, hanem a feszes ínyt érinti. Desquamativ gingivitis különböző ismert vagy ismeretlen etiológiájú betegségben előfordul (11.21. ábra). A leggyakoribb a lichen oris talaján kialakuló ínylézió. Azonban a legsúlyosabb, ismert okokra visszavezethető desquamativ gingivitis az orális pemphigus vulgarissal társuló ínylézió.
A bőrléziók néha az orális hólyagok megjelenése után csak hónapokkal később manifesztálódnak. Kezdetben kisebb bőrsebek jelzik a bajt (11.22. ábra), de súlyos esetben nagy felületen leválhat a bőr külső hámrétege, másodfokú égésre emlékeztető állapotot okozva. A cutan pemphigus egyik diagnosztikus jele, hogy amennyiben az intakt hólyagra nyomást gyakorolunk, akkor a hólyag az épnek látszó bőrirányában terjed.A másik klinikai diagnosztikus jelaz ún. Nikolsky-tünet. Pozitív Nikolsky-tesz esetén az épnek látszó bőrfelületet megdörzsölve néhány perc alatt bullaképződés váltható ki. Az autoimmun acantholysis ugyanis a teljes bőrszövetet érinti, csak a hámrétegek nem mindenütt válnak el egymástól. A bőr megdörzsölésével az egymáshoz már szorosan sehol sem kötődő sejtrétegek elválnak, és a sejtrétegek között hamarosan transsudatum jelenik meg manifeszt hólyagképződés kíséretében. A pontos diagnózis felállításában azonban nélkülözhetetlen az immunhisztokémiai vizsgálat.
Laboratóriumi diagnózis. Pusztán az anamnézis és klinikai tünetek alapján azonban a pemphigus soha nem diagnosztizálható. Az orális, de a bőrléziók laboratóriumi diagnosztikájában is az első lépés lehet a Tzanck-féle citológiai vizsgálat. A friss lézióból egy tompa műszerrel kaparékot veszünk, és ezt tárgylemezen kikenjük, majd alkohollal fixáljuk és Gimsa- vagy Papanicolau-festéssel megfestjük. Pozitív esetben több individuális, lekerekített, sötéten festődő, nagy felfújt magvú sejtet látunk a kenetben (11.23. ábra). A pozitív Tzanck-teszt azonban nem döntő bizonyíték, mert sokszor hasonló citológiai leletet kaphatunk más hólyagos betegségekben, elsősorban stomatitis herpeticában (ballonáló degeneráció).
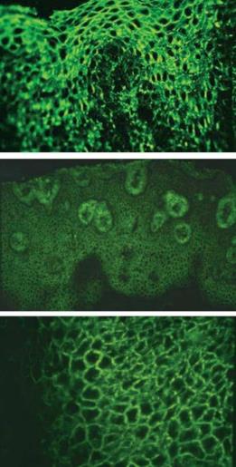
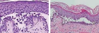
Biztos diagnózis csak biopsia vétele után, direkt vagy indirekt immunfluoreszcens hisztokémiai vizsgálattal állítható fel. Azonban hagyományos HE-festett metszeten is jól látszik a résképződés az egyes hámrétegek között (11.24. ábra). A legérzékenyebb a direkt immunfluoreszcens vizsgálat, amelyben a betegből nyert biopsiás anyagra fluoreszcens festékkel jelölt anti-humán immonglobulint viszünk fel. Pozitív esetben a hámsejtek membránjához kötött auto-IgG-hez vagy auto-IgM-hez kötődik a jelzett anti-humán Ig, és a teljes sejtmembrán zöldesen fluoreszkál (11.25. ábra). Az Ig-vel társuló komplement szintén kimutatható.
 
11.23. ábra. Tzank-pozitív citológiai lelet
 
11.24. ábra. Hagyományos HE festett metszeten jól látszik a résképződés az egyes hámrétegek között
 
11.25. ábra. Immunfluoreszcens technikával kimutatható, hogy a sejtmembrán fehérjéihez auto-IgG kötődik, amely a jellegzetes képe az autoimmun II-es típusú citotoxikus reakciónak
 
Az indirekt tesztben a betegből nyert szérumot állati hámszövetre (leggyakrabban majom vagy törpesertés oesophagus szövete) viszik fel, majd erre rétegeznek fluoreszcens festékkel jelölt anti-humán Ig-t. Pozitív esetben a betegből származó szérum immunglobulinjai kötődnek az állati hámsejtek dezmogleinjéhez és ezt a szövettani metszeten a jelzett anti-humán Ig floreszcens fény alatt jelöli.
ELISA teszttel a beteg szérumában a nyálkahártya pemphigus vulgarisban keringő Dsg3, bőr-nyálkahártya pemphigus vulgarisban Dsg1 és Dsg3 elleni ellenanyag mutatható ki.
Kezelése. A pemphigus vulgaris megfelelő kezelés nélkül még ma is potenciálisan halálos betegség, elsősorban a táplálkozási képtelenség, a fehérjeveszteség és bőrléziókon fellépő szuperinfekciók következtében. Sajnos, oki kezelés még ma sem alkalmazható, lévén, hogy a betegséget kiváltó szöveti immunogenitás oka nem ismert. Így a pemphigus vulgarisban szenvedő beteg sokszor élete végéig immunszuppresszív kezelésre szorul. A pemphigusos beteg soha nem gyógyul meg, csak a fenntartó szteroid és egyéb immunszuppresszív kezeléssel (cyclosporin-A, azathyoprin készítmények) tarható állapota egyensúlyban. A beteg egy életen át ellenőrzésre szorul, és orális pemphigus vulgarisban ennek a folyamatos ellenőrzésnek fontos része a gyakori professzionális szájhigiénés szupportív kezelés is.
Amennyiben a betegnek bőrtünetei vannak, mindenképen bőrgyógyásszal együtt kell kezelni, azonban orális pemphigus vulgaris esetén is konzultálnunk kell dermatológussal [lásd Kárpáti Sarolta (szerk.) Bőrgyógyászat és venerológia. Medicina]. A szisztémás kezelést kiegészítjük helyi kezeléssel, a szájüregben antiszeptikus szájöblítőszereket, lokális felületes érzéstelenítő oldatokat vagy krémeket, a bőrfelületen ugyancsak antiszeptikus ecsetelőket és hámosító krémeket alkalmazunk. Amennyiben viszonylag fiatalkorban kezdődik a betegség és a betegnek természetes fogazata van, különös gondot kell fordítani a rendszeres professzionális szájhigiénére és az otthoni plakk-kontrollra is. Sajnos a kémiai plakkellenes szerek ilyen esetben irritatív hatásuk miatt tartósan nem alkalmazhatók, és soha nem helyettesíthetik a speciális mechanikai fogtisztítást.
A szisztémás gyógyszeres kezelés két fázisra osztható:
  1. Az aktív tünetek kezelése: magas, legalább 1–2 mg/kg/ nap kortikoszteroid dózissal kell indítani, amely egy felnőtt esetében megfelel 100–120 mg kortikoszteroidnak (Medrol), nehezen reagáló esetekben a gyógyszeres kezelés kiegészíthető adjuváns immunszuppresszív szerekkel: cyclophosphamid 50–200 mg/nap, azathioprin (1–2 mg/kg/nap) adásával. Egyes esetekben jó eredményről számoltak be cyclosporin-A (Sandimmun) alkalmazása után.
  2. Fenntartó kezelés: A kezdeti magas szteroiddózist akkor kezdjük csökkenteni, amikor a meglévő eróziók már hámosodásnak indulnak, illetve már újabb hólyagok nem jelennek meg. Addig csökkentjük a dózist, amíg a páciens még tünetmentesen tartható. Mivel nagyon gyakran fordul elő recidíva, ekkor újra emelni kell a dózist. Így betegek állandó megfigyelése szükséges egyensúlyban tartásukhoz. Mivel a szteroidoknak számos negatív mellékhatása van, amely az osteoporosis rizikójának fokozódásától, a vércukorszint emelkedésén át keringési zavarokig vezethet, mindig számolni kell azzal, hogy belgyógyász is ellenőrizze betegünket [lásd Kárpáti S. (szerk.) Bőrgyógyászat és venerológia. Medicina].
 
Az immunszuppresszált állapotban nagy a szekunder infekciók, az intraorális opportunista infekciók (Candida, herpes) incidenciájának veszélye. Csak orális érintettség esetén a helyi (intrafocalis) szteroidkezeléssel is jó eredmény érhető el, de ha emelkedik a szérum autoantitest-szint, akkor mindenképen szisztémás szteroidkezelés is szükségessé válik. A jó szájhigiéné elősegíti a szájléziók gyógyulását, csökkentve az eróziós nyálkahártya felszínek felülfertőződést (pl. Candida), valamint a dentalis plakk okozta ínygyulladás esélyét is.
Ma alternatív kezelésként egyre nagyobb teret hódít az ún. biológiai terápia ennek azonban az eredményei még nem meggyőző módon bizonyítottak.
Differenciáldiagnózis. Az orálispemphigus vulgarist el kell különíteni a stomatitis herpeticától, a különböző aphthás stomatitisektől, az erythema exsudativum multiformétól vagy a Behçet-kórtól.
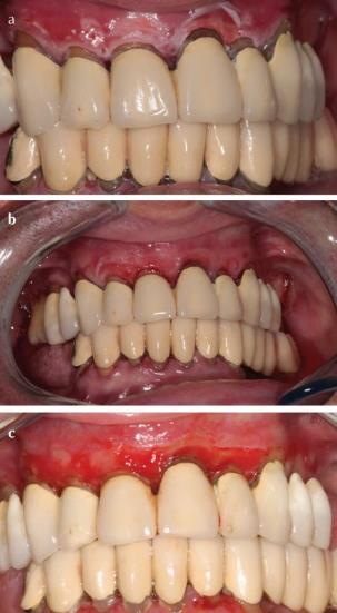
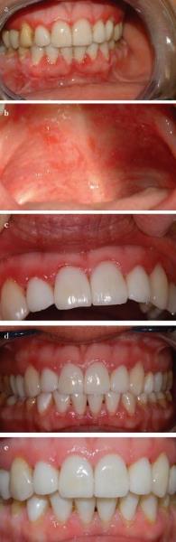
Esetismertetés: A bemutatott esetben egy első jelentkezésekor 36 éves nő fordultbizonytalan panaszaival 2007-ban a SE Parodontológiai Klinikához. Felvételkor szájában a palatumon és a gingiván felületes eróziókat láttunk, gyulladásos udvar nélkül (11.26. ábra (a, b)). Az elvégzett biopsiás vizsgálat megerősítette gyanúnkat, hogy betegünk pemphigusban szenved. Akkorra már bőr léziói is kifejlődtek. Csak nagyon hosszas rábeszélés után fogadta el az immunszuppresszív kezelést, félve attól, hogy arca eltorzulhat, holdvilág képű lesz. Végül kezelését a SE Bőrgyógyászati Klinikájával közösen végeztük (Kárpáti Sarolta). Az alkalmazott szteroidkezelés hatására állapota csak másfél éven belül rendeződött, és lehetett olyan fenntartó szteroiddózist beállítani, mely már minimális mellékhatásokkal járt (11.26. ábra (c)). Betegünk – aki a médiában ismert személyiség – könyvet is írt betegségéről. Az aktív kezelési szak után legnagyobb panasza már csak az volt, hogy nem tudott kellő hatékonysággal fogat mosni, mert ahogy a fogkefe sörtéje az ínyszélhez ért, azonnal felsértette azt, és így ínye mindig kicsit gyulladt volt (11.26. ábra (d)). A nagyon motivált és életkedvét ismételten visszanyert páciensünket sikerült rotációs elektromos fogkefével olyan atraumatikus fogmosási technikára megtanítani, amely hatékony supragingivalis plakk-kontrolt biztosított, de ínyét nem sértette. A rendszeres professzionális plakk-kontrollal kombinálva, íny állapota gyorsan javult, és jelenleg a fenntartó szteroiddózis mellett szájnyálkahártyája és bőre ép, és az ínye is plakk- és gyulladásmentes (11.26. ábra (e).
 
11.26. ábra. 36 éve fiatal nő bizonytalan orális eróziókkal jelentkezett 2006-ban (a, b) –a gingivalis állapota a szteroid kezelés 2. évében c, A gingiva állapota a kezelés 4. évében a nagyon kíméletes, de tökéletes supragingivalis mechanikai tisztítás eredménye
 
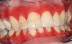
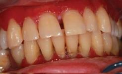
A nem jól kollaboráló betegek esetében azonban lényegesen nehezebb stabilizálni mind általános bőrgyógyászati, mind orálisparodontalis állapotukat. A bemutatott második esetben egy 60 éves férfi páciens olyan súlyos hisztológiailag is igazolt gingivalis pemphigusszal jelentkezett, hogy a gingiva hámja már a fogak levegővel történőleszárítása hatására hártyaszerűen levált (achantolysis) (11.27. ábra (a)).A nagy fájdalom miatt állandó professzionális szájhigiénés kezelés lett volna indokolt, de betegünk nem megfelelő kollaborációja miatt sem a bőrgyógyászati kezelés, sem a helyi kezelés nem lehetett sikeres (11.27. ábra (b, c)).
 
11.27. ábra. Nehezen kooperáló 60 éves páciens gingivalis állapota felvételkor, a kezelés 2. és 4. évében. A nem tökéletes szájhigiéné és a plakkretenciós tényezőknek köszönhetően parodontalis állapota nehezen volt kontrollálható
 

Orális medicina

Tartalomjegyzék


Kiadó: Semmelweis Kiadó

Online megjelenés éve: 2026

ISBN: 978 963 331 709 9

Az Orális Medicina a fogorvostan-hallgatók számára egy kissé elhanyagolt tárgy, mert elméleti alapjainak ismerete korábbi évfolyamok során történik, mint a tárgy oktatása (anatómia, élettan, immunológia). A könyv bizonyos elméleti ismereteket feltételezve, azokra hivatkozva adhat tájékozódási lehetőséget a fogorvostan-hallgatóknak és alkalmanként a fogorvosoknak is a szájbetegségek felismerésére, a diagnózis felállítására és a betegségek kezelésére. A szerzők célja emellett az is, hogy bizonyos tájékoztatást adjanak az általános betegségek fogászati vonatkozásaira és a fogak mellett a száj egyéb alkotóelemeinek és szerveinek betegségeivel kapcsolatban. Bár az orális medicinát a világ minden részén kissé mostohagyermekkén kezelik, egyre nagyobb jelentőséggel bír az életkor meghosszabbodása és a prevenció miatt a fogazat egyre hosszabb ideig való megtartása eredményeképpen. Vegye hasznát az olvasó mind a diagnosztikus, mind a terápiás módszereknek, tanulmányai, illetve praxisa során.

Hivatkozás: https://mersz.hu/kovesi-oralis-medicina//

BibTeXEndNoteMendeleyZotero

Kivonat
fullscreenclose
printsave