Kövesi György (szerk.)

Orális medicina


12.2.6. Biopsia

A nagy nyálmirigyek biopsiája
A nagy nyálmirigyek betegségeinek elkülönítő diagnózisában az egyik legértékesebb vizsgálómódszer, de nem veszélytelen eljárás. Két típusa ismeretes, a vékonytű-aspirációs citológia és az incisiós biopsia.
Vékonytű-aspirációs citológia. Lényege, hogy speciális markolatba fogott fecskendőre (mely lehetővé teszi az egy kézzel való aspirációt) vékony injekciós tűt szerelnek, melyet a vizsgálandó területbe vezetünk a bőrön át, vákuumot létesítve a fecskendőben. (A kivétel előtt a vákuumot megszüntetjük, nehogy tumorsejtek jussanak a tű nyomvonalába.) Az aspirált anyagot a tűből tárgylemezre szélesztjük, megszárítjuk, majd megfestjük. Az eltávolított sejteket a szokásos citológiai kritériumoknak megfelelően vizsgáljuk. A módszer technikai kivitelezése egyszerű, azonban az aspirátum citológiai megítélése nem könnyű feladat, a siker nagyban a patológus jártasságától függ.
A citológia és hisztológia nem egymás vetélytársai, hanem inkább egymást kiegészítő diagnosztikus eljárások. Természetesen a hisztológia megbízhatóbb információkat nyújt, ezzel szemben sokszor kontraindikált és szövődményekkel jár. A citológia gyors, veszélytelen eljárás, és tapasztalt patológus esetében a siker ráta igen magas. Természetesen tumorra utaló jelek esetén a citológiát mindig kiegészítjük szövettani vizsgálattal. Negatív citológiai leletet mindig a klinikai képpel összevetve értékelünk.
Incisiós biopsia. A nagy nyálmirigyekből sebészi úton való szövetminta vétele számos veszélyt hordoz magában. Ha az eltávolított szövetrészlet túl felületes volt, inkorrekt diagnózist állítunk fel. A daganat tokjának megsértése a tumoros sejtek szóródását okozhatja. Sérülhetnek ér- és idegképletek is (különösen nagy a n. facialis bénulás veszélye), nyálsipoly képződhet. A biopsiát ezért csak akkor végezzük, ha a minta fagyasztott metszeten rögtön vizsgálható, és szükség esetén a megfelelő radikális műtétet eltudjuk végezni. A radikális műtét személyi vagy tárgyi feltételeinek hiányában az incisiós biopsiát nem szabad elvégezni. Klinikailag benignus parotistumor gyanújakor a biopsia ellenjavallt, helyette superficialis parotidectomiát végzünk.
 
A kis nyálmirigyek biopsiája
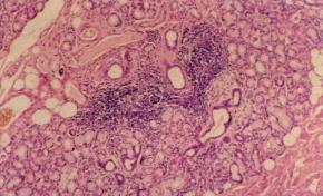
A kis nyálmirigyek daganatának gyanúja esetén excisiós biopsiát végzünk. Sokszor alkalmazzuk a nyálmirigyeket érintő, szisztémás kórképek gyanúja esetén a kis nyálmirigyek incisiós biopsiáját (pl. Sjögren-szindróma, cysticus fibrosis, sarcoidosis, amyloidosis). A kis nyálmirigyek szövettani eltérései jól korrelálnak a nagy nyálmirigyekével, de szemben azok előbbiekben részletezett veszélyeivel, a művelet egyszerű, s a beteg számára alig megterhelő. Az eljárás során nyert anyagból rutin és speciális szövettani vizsgálatokat egyaránt végezhetünk. Általában az alsó ajakból távolítunk el mirigyeket, mivel ez kis nyálmirigyekben a leggazdagabb, egyben a legjobban hozzáférhető és a betegnek is legmegfelelőbb hely, de leírták a bucca és a palatum kis nyálmirigyeinek biopsiáját is. Felületes infiltratiós érzéstelenítés után a szájzug és a középvonal között felületes nyálkahártyametszést ejtünk 1–2 cm hosszban, majd a nyálkahártya és az ajak izomrétege között található nyálmirigyeket tompán preparálva eltávolítjuk. A sebet egy-két csomós öltéssel zárjuk, és műtét után chlorhexidines szájöblögetést rendelünk, az 5 nap múlva elvégzett varratszedés idejéig. Műtéti szövődmények igen ritkán fordulnak elő és elhanyagolhatók (12.7. ábra, 12.8. ábra).
 
12.7. ábra. Sjögren-szindrómás betegből eltávolított kis nyálmirigy, periductalis lymphocytás fókusszal (HE-festés, 100x)
(átvéve: Dr. Nagy Gábor: Nyálmirigybetegségek, Medicina, Budapest 2000.)
 
12.8. ábra. Kis nyálmirigy műtéti eltávolítás közben
 

Orális medicina

Tartalomjegyzék


Kiadó: Semmelweis Kiadó

Online megjelenés éve: 2026

ISBN: 978 963 331 709 9

Az Orális Medicina a fogorvostan-hallgatók számára egy kissé elhanyagolt tárgy, mert elméleti alapjainak ismerete korábbi évfolyamok során történik, mint a tárgy oktatása (anatómia, élettan, immunológia). A könyv bizonyos elméleti ismereteket feltételezve, azokra hivatkozva adhat tájékozódási lehetőséget a fogorvostan-hallgatóknak és alkalmanként a fogorvosoknak is a szájbetegségek felismerésére, a diagnózis felállítására és a betegségek kezelésére. A szerzők célja emellett az is, hogy bizonyos tájékoztatást adjanak az általános betegségek fogászati vonatkozásaira és a fogak mellett a száj egyéb alkotóelemeinek és szerveinek betegségeivel kapcsolatban. Bár az orális medicinát a világ minden részén kissé mostohagyermekkén kezelik, egyre nagyobb jelentőséggel bír az életkor meghosszabbodása és a prevenció miatt a fogazat egyre hosszabb ideig való megtartása eredményeképpen. Vegye hasznát az olvasó mind a diagnosztikus, mind a terápiás módszereknek, tanulmányai, illetve praxisa során.

Hivatkozás: https://mersz.hu/kovesi-oralis-medicina//

BibTeXEndNoteMendeleyZotero

Kivonat
fullscreenclose
printsave