Kövesi György (szerk.)

Orális medicina


12.2.3. Radiológiai vizsgálómódszerek

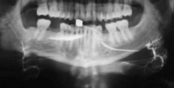
Szialográfia
A szialográfia a nyálmirigyek kontrasztanyaggal való feltöltése utáni röntgenfelvétel elkészítését jelenti. A módszer a ductusrendszert és ahol lehetséges, az acinusokat ábrázolja, természetesen a klinikai és radiológiai eredmények együttes elemzése szükséges a pontos diagnózishoz.
A feltöltéshez használt kontrasztanyagok részben az ún. olajos kontrasztanyagokhoz tartoznak (pl. Lipiodol). Előnyük, hogy a nyállal nem keverednek, jó kontrasztot biztosítanak, és lassabban ürülnek ki. Hátrányuk, hogy túl sok, illetve túl nagy nyomás alatt beadott kontrasztanyag extravasatiója idegentest-reakciót és súlyos gyulladást válthat ki. Ezen szövődmények miatt újabban a vízoldékony kontrasztanyagok alkalmazása került előtérbe. A ductusrendszer feltöltése a páciens ülő testhelyzetéhez a papilla előzetes érzéstelenítése nélkül történik, vékony műanyag kanülön át. A befecskendezést kézi fecskendővel vagy hidrosztatikus úton végezhetjük. A kézi befecskendezés gyakori szövődménye az extravasatio, ami különösen a megbetegedett nyálmirigyek törékeny ductusaiban fordulhat elő gyakrabban. A kontrasztanyag hidrosztatikus nyomással való bejutása lehetővé teszi a ductusrendszer kontrollált feltöltését, károsodásának megelőzését. A nyomás alig valamivel haladja meg a mirigyekben lévő szekréciós nyomást, így 70–90 vízcentiméter nyomást alkalmaznak általában. A módszer előnyei közé sorolják még azt is, hogy mivel a felvételt a feltöltési fázisban készítik, a kontrasztanyag refluxával nem kell számolnunk, valamint a vízoldékony kontrasztanyag gyorsan (kb. 15–20 perc alatt) kiürül, így újabb mirigyet vizsgálhatunk ugyanazon ülésben.
A hagyományos szialográfiás eljárás technikai hátrányainak kiküszöbölésére javasolják újabban a digitalis subtractiós szialográfiát, mely ígéretesen növeli az eljárással nyerhető információk mennyiségét és pontosságát.
A szialográfia elvégzésének főbb indikációi a nyálmirigyek gyulladásos és nem daganatos betegségei, amikor általában a ductusrendszer elváltozásai dominálnak (12.1. ábra). Ebbe a heterogén csoportba tartoznak a gyulladások különböző formái (beleértve a Sjögrenszindrómát), a granulomatosus kórképek, obstrukcióval járó elváltozások, mint sialolithiasis és stricturák; sialosisok, fejlődési rendellenességek. Bár sok esetben a klinikai kép, hasonló, a radiológiai eltérések gyakran lehetővé teszik a klinikus számára a differenciáldiagnózis felállítását. A tumorok diagnózisában az eljárást ma már korlátozott értékűnek tekintjük. Az 1 cm-nél kisebb átmérőjű daganatokat nem tudjuk kimutatni, továbbá az extrinsic és intrinsic elhelyezkedésük sem ítélhető meg pontosan. Nyálkövek esetében a radiolucens kövek kimutatására hasznos lehet a szialográfia, bár a kő orificiumhoz közeli lokalizációja esetén nem javasolt, mivel a követ distalis irányba diszlokálhatja, amikor már az eltávolítása technikailag sokkal nehezebb. Kontraindikált akut gyulladás esetén, bármilyen eredetű is, valamint ritkán jódallergia is fennállhat.
 
12.1. ábra. Krónikus sialoadenitis sialographiás képe(Dr. Pataky Levente anyagából)
 
Szcintigráfia
A nyálmirigy-szcintigráfia lényege, hogy radioizotóp (99Tc-izotóppal jelzett nátriumpertechnetát) intravénás bejuttatása után mérik gamma-kamerával az izotóp dúsulását és kiválasztását a nyálmirigyekben. A felvételeket sorozatszerűen készítik az intravénás injekció után, vagy videofelvételt készítenek. Az izotóp kiválasztását serkenthetjük gustatoricus vagy farmakológiai ingerléssel (12.2. ábra). A módszer előnye, hogy a beteg számára nem megterhelő, egyszerre vizsgálható az összes nagy nyálmirigy. Információt nyerhetünk a nyálmirigyek méretéről, helyzetéről, kontúrjáról (statikus képalkotás), és a mirigy funtiójáról (az izotóp felvétele és kiválasztása – dinamikus képalkotás). A tumorok kimutatására az eljárás nem megfelelő, mivel csak 1,5 cmnél nagyobb átmérőjű daganatot észlelhetünk. A malignus és benignus daganatok elkülönítése szintén nem lehetséges. Az eljárás igen hasznos a mirigyfunctio megítélésénél, pl. krónikus gyulladások, Sjögren-szindróma esetében. Az eljárás abszolút indikációja a nagy nyálmirigyek orificumának kanülálhatatlansága (pl. hegszövetképződés, műtéti kezelés a ductus áthelyezésével stb.). Ezekben az esetekben a szcintigráfia az egyetlen diagnosztikus eljárás a klinikai diagnózis kiegészítésére és a mirigyműködés megítélésére. A módszer különösen ígéretes krónikus gyulladások esetében, hátránya költséges és eszközigényes volta.
 
12.2. ábra. Nyálmirigy szcintigráfiás felvétel (Dr. Galuska S. anyagából Tc99 in iv. adását követően)
(Átvéve Dr. Nagy Gábor: Nyálmirigybetegségek, Medicina Könyvkiadó Rt., Budapest 2000)
 
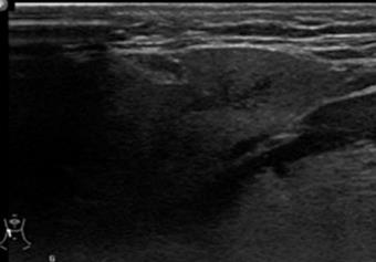
Ultrahangvizsgálat
Az ultrahang diagnosztikus használata az ultrahanghullám a vizsgálandó területen való áthaladásának és a különböző denzitású szövetek határfelületéről történő visszaverődésének kimutatásán alapszik (12.3. ábra). Az egyéb radiológiai eljárásokkal szemben számos előnye van: olcsó, széles körben hozzáférhető, könnyen kivitelezhető, fájdalmatlan, nem invasiv eljárás. Fő alkalmazási területe a nagy nyálmirigyek cysticus (folyadék tartalmú) elváltozásainak a tömör daganatoktól való elkülönítése. (A parotis mélyebben fekvő lebenye esetében a mandibuláról visszaverődő visszhangok félrevezetőek lehetnek.) A tumorok szövettani típusára azonban az információ nem specifikus, aspiratiós citológia vagy biopsia szükséges a kiegészítésre. Gyulladásos és obstruktív kórképek esetében a szialográfia több információt nyújt. A nyálkövek diagnosztikájában is hasznosan alkalmazható eljárás, bár a natív röntgenfelvétel és a szialográfia pontosabb adatokat nyújt a nyálkövek lokalizációjáról.
 
12.3. ábra. Ép submandibularis nyálmirigy ultra hangképe
(Dr. Dobai Ágnes anyagából)
 
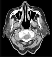
Computertomographia (CT)
A nyálmirigyek CT-vizsgálatát az 1970-es évek végén vezették be, és az ezt követő tapasztalatok alapján a térfoglaló folyamatok esetén választandó elsődleges eljárássá lépett elő. A gyulladásos és nem daganatos kórképek gyanúja esetében a natív röntgenfelvétel és a szialográfia az elsőként választandó módszer.
A CT előnye a lágy és kemény szövetek direkt elkülönítése és a lágy szövetek denzitásbeli finom különbségeinek kimutatása. A jóindulatú daganatok a CT-képeken általában, mint élesen körülhatárolt tumorok jelennek meg, többnyire hiperdenzek a környezethez viszonyítva. A malignus elváltozások rosszul körvonalazottak, a mirigy határain túl terjedhetnek, de a CT-kép alján pontosan nem differenciálhatók. (Kivételek a lyphomák, liposarcomák és a haemangiomák, a zsírra jellemző denzitás és a kontrasztanyag fokozott dúsítása révén). A submandibularis mirigy esetében a denzitásbeli különbség kisebb volta a kórismét nehezítheti, de a kép az ellenoldali miriggyel való összehasonlítása a különbséget kimutatja, kétséges esetben szialográfiás eljárással kombinálva világosan körülrajzolható a daganat. A CT legfontosabb indikációja, amikor a nyálmirigyen belüli szövetszaporulat extrinsic vagy intrinsic volta pontosan nem ítélhető meg. Ekkor a választandó sebészi beavatkozás irányát is befolyásolhatja a radiológiai lelet. Lehetővé teszi a nyálmirigyek és az azokat határoló lágyszövetek közötti finom különbségek, a mirigyeken belül elhelyezkedő tumorok határainak pontos megítélését; intravénás kontrasztanyagot használva ér eredetű malformációk vizsgálatát, illetve szialográfiával kombinálva a térfoglaló folyamatok kiterjedésének pontosabb lokalizációját (12.4. ábra).
 
12.4. ábra. Ép parotis natív
(Dr. Kollár József anyagából)
 
Mágneses rezonancia (Magnetic Resonance Imaging, MRI)
A számítógépes rétegvizsgálatot nem helyettesítő, hanem azt jólkiegészítő eljárás, mely elsősorban a nyálmirigyek tumoros elváltozásainak differenciáldiagnosztikájában alkalmazható módszer (12.5. ábra). Különösen jó hatásfokkal alkalmazták pleomorph adenomák recidívája esetén a kiújuló tumorok számának és kiterjedésének megítélésére (12.6. ábra). A módszer, ionizáló sugárzás alkalmazása nélkül képes nagy felbontású tomográfiás felvételek készítésére bizonyos szervekről, beleértve a nyálmirigyeket is. A módszer lényegében a különböző szövetek víztartalmáról nyújt alapvető információkat. Képes az ép és a kóros szövetek közti minimális különbség kimutatására is. A módszer hátránya időigényessége, kontraindikált volt pacemakerimplantáció, illetve intraoralis fémtárgyak (pl. rögzített fogpótlás, fix fogszabályozó készülék) esetében.
 
12.5. ábra. Jobb oldali ép parotis MRI-felvétele(Dr. Dobai Ágnes anyagából)
 
12.6. ábra. Jobb oldali parotis tumor MRI felvétele(Dr. Kollár József anyagából)
 

Orális medicina

Tartalomjegyzék


Kiadó: Semmelweis Kiadó

Online megjelenés éve: 2026

ISBN: 978 963 331 709 9

Az Orális Medicina a fogorvostan-hallgatók számára egy kissé elhanyagolt tárgy, mert elméleti alapjainak ismerete korábbi évfolyamok során történik, mint a tárgy oktatása (anatómia, élettan, immunológia). A könyv bizonyos elméleti ismereteket feltételezve, azokra hivatkozva adhat tájékozódási lehetőséget a fogorvostan-hallgatóknak és alkalmanként a fogorvosoknak is a szájbetegségek felismerésére, a diagnózis felállítására és a betegségek kezelésére. A szerzők célja emellett az is, hogy bizonyos tájékoztatást adjanak az általános betegségek fogászati vonatkozásaira és a fogak mellett a száj egyéb alkotóelemeinek és szerveinek betegségeivel kapcsolatban. Bár az orális medicinát a világ minden részén kissé mostohagyermekkén kezelik, egyre nagyobb jelentőséggel bír az életkor meghosszabbodása és a prevenció miatt a fogazat egyre hosszabb ideig való megtartása eredményeképpen. Vegye hasznát az olvasó mind a diagnosztikus, mind a terápiás módszereknek, tanulmányai, illetve praxisa során.

Hivatkozás: https://mersz.hu/kovesi-oralis-medicina//

BibTeXEndNoteMendeleyZotero

Kivonat
fullscreenclose
printsave