Kövesi György (szerk.)

Orális medicina


12.4.4. Sialolithiasis

A nyálkövek többsége a mirigyek kivezetőcsöveiben jelentkezik, ennél sokkal ritkábbak a parenchymában keletkező kövek. Főleg felnőttkorban fordulnak elő, gyerekekben extrém ritkán, férfiakban kétszer gyakoribb. Általában csak egy mirigy érintett, és gyakori az ismételt kőképződés eltávolítás után. Sokáig tünetmentesek lehetnek, míg a ductusrendszert elzárva klinikai tünetet okoznak. Ez utóbbi a mirigy fájdalmas duzzanata, mely főleg étkezés után jelentkezik („meal time syndrome”). Ha a kő nem távozik, a létrejövő nyálpangás miatt bakteriális sialoadenitis jöhet létre. Az előfordulás leggyakoribb a submandibularis mirigyben (kb. 83%), a parotisban kb. 10%-ban és a sublingualisban kb. 7%-ban. A kis nyálmirigyek igen ritkán érintettek, bár a triviális tünetek miatt az esetek egy részében nem ismerik fel a betegséget.
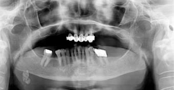
Patogenezis. A kristályok képződésének magjául sejttörmelék, idegentest vagy a nyál stagnálása következtében létrejövő szedimentum, ún. „nyákdugó” szolgálhat. A nyálkövek mérete igen változó, a gombostűfejnyitől a több cm átmérőjűig, színük a fehéressárgától a barnáig változhat. Organikus összetevők döntően kalcium-foszfátok és kalcium-karbonátok. Több nyomelemet is kimutattak nyálkövekből (pl. magnézium, réz, cink, mangán). A szerves és szervetlen anyagok sokszor egymással váltakozó rétegeket alkotnak, így a kő keresztmetszete lamellaris szerkezetet mutat, ritkábban hiányzik a mag, és a kő homogén szerkezetű (12.12. ábra).
 
12.12. ábra. A jobb oldali gl. submandibularis hatalmas nyálköve
 

Orális medicina

Tartalomjegyzék


Kiadó: Semmelweis Kiadó

Online megjelenés éve: 2026

ISBN: 978 963 331 709 9

Az Orális Medicina a fogorvostan-hallgatók számára egy kissé elhanyagolt tárgy, mert elméleti alapjainak ismerete korábbi évfolyamok során történik, mint a tárgy oktatása (anatómia, élettan, immunológia). A könyv bizonyos elméleti ismereteket feltételezve, azokra hivatkozva adhat tájékozódási lehetőséget a fogorvostan-hallgatóknak és alkalmanként a fogorvosoknak is a szájbetegségek felismerésére, a diagnózis felállítására és a betegségek kezelésére. A szerzők célja emellett az is, hogy bizonyos tájékoztatást adjanak az általános betegségek fogászati vonatkozásaira és a fogak mellett a száj egyéb alkotóelemeinek és szerveinek betegségeivel kapcsolatban. Bár az orális medicinát a világ minden részén kissé mostohagyermekkén kezelik, egyre nagyobb jelentőséggel bír az életkor meghosszabbodása és a prevenció miatt a fogazat egyre hosszabb ideig való megtartása eredményeképpen. Vegye hasznát az olvasó mind a diagnosztikus, mind a terápiás módszereknek, tanulmányai, illetve praxisa során.

Hivatkozás: https://mersz.hu/kovesi-oralis-medicina//

BibTeXEndNoteMendeleyZotero

Kivonat
fullscreenclose
printsave