Kövesi György (szerk.)

Orális medicina


15.1.3. Leukopenia

A leukopenia a fehérvérsejtszám csökkenését jelenti. Kialakulhat spontán, de lehet gyógyszerhatás következménnye is. Carbamazepine (pl. Tegretol) terápiához gyakran társul súlyos hematológiai betegség, ami lehet leukopenia vagy aplasticus anaemia. A leukopenia megjelenhet átmeneti állapotként, a leukaemia vagy más csontvelőt érintő betegség kialakulása során. Kialakulhat autoimmun betegségekkel együtt, mint SLE, vagy vírusfertőzésekkel, elsősorban a leukaemiában kialakuló HIV/EBV-vel kapcsolatban.
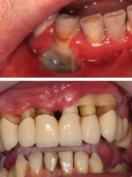
Bár ez igazán nem gyakori betegség, a leggyakoribb klinikai megjelenése az agranulocytosis. Ez a betegség a periférián a granulocytaszám csökkenésében manifesztálódik. Ennek következtében nő a beteg fogékonysága a különböző bakteriális fertőzésekre. A szájnyálkahártyán ez különböző, a normál flórához tartozó baktériumok okozta opportunista fertőzésekhez és a szájnyálkahártya bármely részén, de elsősorban a gingiván kialakuló gyulladásmenetes udvarral szegélyezett fekélyképződéshez vezet (15.6. ábra). Ezek az elváltozások klinikailag néha nem különböznek a leukaemiában kialakuló képtől, de ilyenkor soha nem fordul elő ínyduzzanat. A betegségek etiológiai folyamata hasonló a fehérvérsejtek védő funkcióját tekintve, egyik esetben a funkciót vesztett, malignus fehérvérsejtszám jelentős emelkedése vagy a funkcióképes leukocyták teljes hiánya (lásd paramyeloblastos akut leukaemia), másik esetben a normál fehérvérsejtek elégtelen termelése vagy azok gyors pusztulása (lásd gyógyszer okozta citotoxikus reakciók) az ok.
 
15.6. ábra. Agranulocytosis – gyulladásmentes mély fekély a gingiván
(Gera I. felvétele)
 
Ciklikus neutropeniában a neutrophil granulocyták termelődése ismételten, intermittálóan csökken, a neutropeniás epizódok során súlyos ínynekrózis és aphthaszerű fekélyek jelennek meg a szájnyálkahártyán.
 

Orális medicina

Tartalomjegyzék


Kiadó: Semmelweis Kiadó

Online megjelenés éve: 2026

ISBN: 978 963 331 709 9

Az Orális Medicina a fogorvostan-hallgatók számára egy kissé elhanyagolt tárgy, mert elméleti alapjainak ismerete korábbi évfolyamok során történik, mint a tárgy oktatása (anatómia, élettan, immunológia). A könyv bizonyos elméleti ismereteket feltételezve, azokra hivatkozva adhat tájékozódási lehetőséget a fogorvostan-hallgatóknak és alkalmanként a fogorvosoknak is a szájbetegségek felismerésére, a diagnózis felállítására és a betegségek kezelésére. A szerzők célja emellett az is, hogy bizonyos tájékoztatást adjanak az általános betegségek fogászati vonatkozásaira és a fogak mellett a száj egyéb alkotóelemeinek és szerveinek betegségeivel kapcsolatban. Bár az orális medicinát a világ minden részén kissé mostohagyermekkén kezelik, egyre nagyobb jelentőséggel bír az életkor meghosszabbodása és a prevenció miatt a fogazat egyre hosszabb ideig való megtartása eredményeképpen. Vegye hasznát az olvasó mind a diagnosztikus, mind a terápiás módszereknek, tanulmányai, illetve praxisa során.

Hivatkozás: https://mersz.hu/kovesi-oralis-medicina//

BibTeXEndNoteMendeleyZotero

Kivonat
fullscreenclose
printsave