Orális medicina
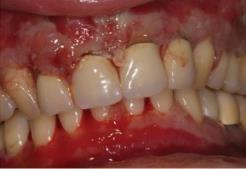
15.1.4. Myelodysplasia szindróma
Tartalomjegyzék
- Orális medicina
- Impresszum
- Előszó
- 1. A szájnyálkahártya
- 2. Az orális medicina irányelvei: a betegek értékelése és vizsgálata
- 3. Terápiás módszerek az orális medicinában
- 4. Az íny és szájnyálkahártya fertőző betegségei
- 5. Gombás fertőzések a szájban
- 6. Vírusfertőzések
- 7. Fekélyes szájbetegségek
- 8. Gyulladásos duzzanatok, fejlődési rendellenességek, benignus léziók és nyálkahártya-pigmentációk
- 9. Az ajak és a nyelv betegségei, az ízérzés zavarai
- 10. Szájüregi praecancerosisok
- 11. Mucocutan betegségek
- 12. Nyálmirigyek és betegségeik
- 12.1. A nyálmirigyek klinikai anatómiája
- 12.2. A nyálmirigyek vizsgálatának módszerei
- 12.3. A nyálszekréció eltérései
- 12.4. A nyálmirigyek betegségei
- 12.1. A nyálmirigyek klinikai anatómiája
- 13. A gastrointestinalis betegségek orális vonatkozásai
- 14. Immun- és autoimmun betegségek
- 15. Vérképző szervi és táplálkozási betegségek
- 16. Endokrin betegségek
- 17. Vesebetegségek orális vonatkozásai
- 18. Az arcfájdalom és idegrendszeri zavarok jelei a szájüregben
- 19. A temporomandibularis ízület betegségei
- 20. Akut ellátás a fogászatban
Kiadó: Semmelweis Kiadó
Online megjelenés éve: 2026
ISBN: 978 963 331 709 9
Az Orális Medicina a fogorvostan-hallgatók számára egy kissé elhanyagolt tárgy, mert elméleti alapjainak ismerete korábbi évfolyamok során történik, mint a tárgy oktatása (anatómia, élettan, immunológia). A könyv bizonyos elméleti ismereteket feltételezve, azokra hivatkozva adhat tájékozódási lehetőséget a fogorvostan-hallgatóknak és alkalmanként a fogorvosoknak is a szájbetegségek felismerésére, a diagnózis felállítására és a betegségek kezelésére.
A szerzők célja emellett az is, hogy bizonyos tájékoztatást adjanak az általános betegségek fogászati vonatkozásaira és a fogak mellett a száj egyéb alkotóelemeinek és szerveinek betegségeivel kapcsolatban.
Bár az orális medicinát a világ minden részén kissé mostohagyermekkén kezelik, egyre nagyobb jelentőséggel bír az életkor meghosszabbodása és a prevenció miatt a fogazat egyre hosszabb ideig való megtartása eredményeképpen.
Vegye hasznát az olvasó mind a diagnosztikus, mind a terápiás módszereknek, tanulmányai, illetve praxisa során.
Hivatkozás: https://mersz.hu/kovesi-oralis-medicina//
BibTeXEndNoteMendeleyZotero