Kövesi György (szerk.)

Orális medicina


16.7. Várandósság

A terhesség (egyéb problémák mellett) jelentős orális elváltozásokat okozhat, melyek a beteg esetlegesen szükséges fogászati ellátását is befolyásolják (16.14. táblázat).
A magzatra nézve a legnagyobb veszély az anya által elszenvedett sugárterhelés, főleg a terhesség első trimeszterében. Gyógyszerek közül teratogén hatása lehet a metronidazolnak (Klion), valamint elméleti teratogén hatása lehet néhány antiepileptikumnak, de ezt neurológusnak kell értékelni a terhesség során.
 
16.14. táblázat. A terhesség orális szempontjai
  • Gingivitis, epulis kialakulása
  • Recidiváló aphthák előfordulása (kezelési szempontok)
  • Hanyattfekvéskor hypotensio veszélye
  • Vas- és folsavhiány lehet
  • Hányás, hányinger
 
Fogászati szempontok
A legfontosabb fogászati hatás terhességben, a gingivitis súlyosbodása (16.7. ábra16.8. ábra). Ezzel részletesen a Parodontológia tankönyv foglalkozik.
Ilyenkor fontos a jó, professzionális szájhigiéné és a rendszeres szájápolás. A praenatalis fluorid kezelés a fogcsírák lehetséges károsodása miatt nem ajánlott. Általában a terhesség alatt az aphthás szájgyulladásos betegek állapota javul, de romlik, ha a gravidának vas- vagy folsavhiánya van.
Néhány beteg a terhesség végére hypotensiós lesz, főleg háton fekvéskor, mert a duzzadt uterus gátolja a vénás visszaáramlást. Ilyenkor az orvos kevés fekvést és sok ülést javasoljon.
A légzési rezervoár (tartalék) is csökken, ez magzati hypoxiát okozhat. A magzat légzését a placentán átjutó gyógyszerek is károsíthatják; mint pl. barbiturátok, diazepam és opoidok. Az aspirin magzati, illetve újszülött vérzékenységet okozhat, helyette adjunk paracetamolt.
Bár a fogászati röntgen csak kis veszélyt jelent a terhesség első trimeszterében, csak feltétlenül szükséges esetben készítsünk, ólomkötény használatával.
Helyi érzéstelenítés terhességben nem kontraindikált, de az adrenalin adásával legyünk óvatosak, főleg a harmadik trimeszterben.
 
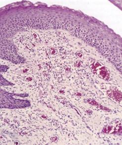
16.7. ábra. A terhességi epulis
(Gera I felvétele)
 
16.8. ábra. A terhességi epulis szövettani képe
(Gera I felvétele)
 

Orális medicina

Tartalomjegyzék


Kiadó: Semmelweis Kiadó

Online megjelenés éve: 2026

ISBN: 978 963 331 709 9

Az Orális Medicina a fogorvostan-hallgatók számára egy kissé elhanyagolt tárgy, mert elméleti alapjainak ismerete korábbi évfolyamok során történik, mint a tárgy oktatása (anatómia, élettan, immunológia). A könyv bizonyos elméleti ismereteket feltételezve, azokra hivatkozva adhat tájékozódási lehetőséget a fogorvostan-hallgatóknak és alkalmanként a fogorvosoknak is a szájbetegségek felismerésére, a diagnózis felállítására és a betegségek kezelésére. A szerzők célja emellett az is, hogy bizonyos tájékoztatást adjanak az általános betegségek fogászati vonatkozásaira és a fogak mellett a száj egyéb alkotóelemeinek és szerveinek betegségeivel kapcsolatban. Bár az orális medicinát a világ minden részén kissé mostohagyermekkén kezelik, egyre nagyobb jelentőséggel bír az életkor meghosszabbodása és a prevenció miatt a fogazat egyre hosszabb ideig való megtartása eredményeképpen. Vegye hasznát az olvasó mind a diagnosztikus, mind a terápiás módszereknek, tanulmányai, illetve praxisa során.

Hivatkozás: https://mersz.hu/kovesi-oralis-medicina//

BibTeXEndNoteMendeleyZotero

Kivonat
fullscreenclose
printsave