Kövesi György (szerk.)

Orális medicina


17.3. A vesetranszplantált betegek orális szempontjai

A vesetranszplantált betegeknél, még ha a műtét sikeres is, a kezelt személyek akkor sem teljesen probléma mentesek. Bár ma már az immunszuppresszió módszerében jelentős változás állt be a szervkilökődés megelőzésére. A napjainkban alkalmazott cyclosporinA-nak (hazánkban Sandimun) kellemetlen általános és különösen súlyos orális mellékhatásai vannak (17.3. táblázat).
 
17.3. táblázat. A cyclosporin mellékhatásainak orális vonatkozásai
  • Gyógyszer indukálta ínyhyperplasia
  • Baktérium- és gombaplakkok a szájnyálkahártyán
  • Az orális malignus tumorok kialakulásának lehetősége Orális candidiasis
  • Másodlagos herpes simplex vírusfertőzés
 
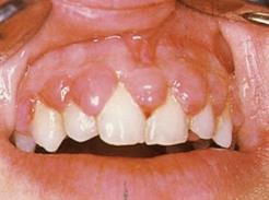
17.1. ábra. Cyclosporin-A okozta ínyhyperplasia vesetranszplatált betegen
 
A cyclosprin-A használata a szervkilökődés legbiztosabb szere annak ellenére, hogy parodox módon nefrotoxikus anyag. A legfontosabb orális mellékhatás az ínyhyperplasia (17.1. ábra). Ma már vannak alternatív szerek, mint pl. tacrolymus, amelynek azonban hasonló mellékhatásai vannak.
Ilyen ínyelváltozás a vesetranszplantált esetek 30%-ánál alakul ki. A vese eredetû magas vérnyomás kezelésére alkalmazott Ca-csatorna-blokkolók (niphedipin, verapamil, amilodipin származékok) mellékhatása ínyhyperplasia, így azt a transzplantáció után az elkerülhetetlenül alkalmazandó cyclosporin még tovább súlyosbíthatja Sok esetben vesetranszplantáció után is a két szert kombinációban
kapja a beteg, így a kétszer mellékhatása összegződik. Míg a kalciumcsatorna-blokkolók más hatásmechanizmusú vérnyomáscsökkentő szerrel helyettesíthetők, ma még a cyclosporinnak nincs valódi alternatívája. Sokszor kombinálják a cyclosporint kortikoszteroidokkal, és a szteroidkezelésben részesülő vesetranszplantált betegek érzékenyek bakteriális, gombás és vírusfertőzésre is, gyakran alakult ki náluk malignus orális tumor. Malignus orális tumort azonban már leírtak cyclosoprin-A-val kezelt betegeken is.
Mivel a vesetranszplantált betegek érzékenyek a szteroidkezelésnél leírt fertőzésekre, fogászati beavatkozás előtt a beteg kapjon antibiotikum-prevenciót, de figyelni kell arra, hogy a szer ne legyen nefrotoxikus. Kíséreljük meg ezeket a betegeket jó fogászati állapotban tartani, és vigyázni, hogy orális fertőzést ne kapjanak, legyen nagyon jó a szájhigiénéjük.
 

Orális medicina

Tartalomjegyzék


Kiadó: Semmelweis Kiadó

Online megjelenés éve: 2026

ISBN: 978 963 331 709 9

Az Orális Medicina a fogorvostan-hallgatók számára egy kissé elhanyagolt tárgy, mert elméleti alapjainak ismerete korábbi évfolyamok során történik, mint a tárgy oktatása (anatómia, élettan, immunológia). A könyv bizonyos elméleti ismereteket feltételezve, azokra hivatkozva adhat tájékozódási lehetőséget a fogorvostan-hallgatóknak és alkalmanként a fogorvosoknak is a szájbetegségek felismerésére, a diagnózis felállítására és a betegségek kezelésére. A szerzők célja emellett az is, hogy bizonyos tájékoztatást adjanak az általános betegségek fogászati vonatkozásaira és a fogak mellett a száj egyéb alkotóelemeinek és szerveinek betegségeivel kapcsolatban. Bár az orális medicinát a világ minden részén kissé mostohagyermekkén kezelik, egyre nagyobb jelentőséggel bír az életkor meghosszabbodása és a prevenció miatt a fogazat egyre hosszabb ideig való megtartása eredményeképpen. Vegye hasznát az olvasó mind a diagnosztikus, mind a terápiás módszereknek, tanulmányai, illetve praxisa során.

Hivatkozás: https://mersz.hu/kovesi-oralis-medicina//

BibTeXEndNoteMendeleyZotero

Kivonat
fullscreenclose
printsave