Kövesi György (szerk.)

Orális medicina


18.3.5.1. Anaesthesia, paraesthesia

Az anasthaesia és parasthesia kezdete lehet lassú, de lehet hirtelen egy ideg végágánál, lehet lokalizált és lehet generalizált. A 18.7. táblázat olyan állapotokat mutat, melyek facialis anaesthesiát és paraesthesiát okozhatnak. A n. trigeminus anaesthesiájának lokális oka lehet közvetlen trauma, pl. betört fog sebészi eltávolítása, sagittalis osteotomia, idegentest okozta nyomás az idegrostokon (pl. implantátum), gyulladásos folyamat (elsősorban osteomyelitis) és az ideg környezetében kialakuló tumorok.
 
18.7. táblázat. Facialis anaesthesiát és paraesthesiát okozó állapotok
Helyi
Szisztémás
  • Helyi érzéstelenítés
  • Trauma
  • Mandibularis csontresorptio miatt
  • foramen mentale
  • expositio
  • Malignoma
  • Sclerosis multiplex
  • Intraorális léziók
  • Hiperventiláció
  • Gyógyszerek
  • Pszichogén hatások
 
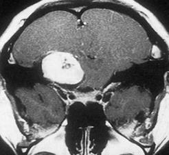
Vannak olyan neurológiai állapotok, amelyek okozhatnak n. trigeminus károsodást, ide tartoznak a sclerois multiplex, és a kevert kötőszöveti betegséggel járó neuropathia. Hasonló eredménye lehet az intracranialis térszükítő folyamatnak (pl. acusticus neuroma, 18.2. ábra).
Cerebrospinalis sérülést okozó baleset után több olyan neurológiai abnormalitás alakulhat ki, amelyek az arcot és a szájat is érintik. Ezek között a legnehezebben kezelhetők azok, amelyek változást okoznak az érzékelésben és a motoros működés kontrolljában, mert pl. ez utóbbi a fogsorviselést szinte lehetetlenné teszi.
 
 

Orális medicina

Tartalomjegyzék


Kiadó: Semmelweis Kiadó

Online megjelenés éve: 2026

ISBN: 978 963 331 709 9

Az Orális Medicina a fogorvostan-hallgatók számára egy kissé elhanyagolt tárgy, mert elméleti alapjainak ismerete korábbi évfolyamok során történik, mint a tárgy oktatása (anatómia, élettan, immunológia). A könyv bizonyos elméleti ismereteket feltételezve, azokra hivatkozva adhat tájékozódási lehetőséget a fogorvostan-hallgatóknak és alkalmanként a fogorvosoknak is a szájbetegségek felismerésére, a diagnózis felállítására és a betegségek kezelésére. A szerzők célja emellett az is, hogy bizonyos tájékoztatást adjanak az általános betegségek fogászati vonatkozásaira és a fogak mellett a száj egyéb alkotóelemeinek és szerveinek betegségeivel kapcsolatban. Bár az orális medicinát a világ minden részén kissé mostohagyermekkén kezelik, egyre nagyobb jelentőséggel bír az életkor meghosszabbodása és a prevenció miatt a fogazat egyre hosszabb ideig való megtartása eredményeképpen. Vegye hasznát az olvasó mind a diagnosztikus, mind a terápiás módszereknek, tanulmányai, illetve praxisa során.

Hivatkozás: https://mersz.hu/kovesi-oralis-medicina//

BibTeXEndNoteMendeleyZotero

Kivonat
fullscreenclose
printsave