Kövesi György (szerk.)

Orális medicina


5.1.1. Pseudomembranosus candidiasis

A betegséget korábban, mint „thrush” vagy soor-gyep néven ismerték, ami Lehner eredeti osztályozása szerint; akut pseudomembranosus (álhártyás) candidiasis, annak ellenére, hogy sok eset nyilvánvalóan krónikus lefolyású. A candidiasis orális lézióját vizsgálva HIV-vel és más immunhiányos folyamattal kapcsolatban, az „akut” kifejezést lassan elhagyják. A pszeudomembrán a hifák hálózatából, desquamált sejtekből, más mikroorganizmusokból, fibrinből és debrisből áll. Az álhártya a szövetek felszínén fekszik, de a Candida-hifák behatolnak a hámba egészen a str. spinosumig és horgonyként működnek, ezért ezek mechanikus eltávolítása után a nyálkahártya vérzik, mert a felületes hám is leválik a gombafonalakkal együtt.
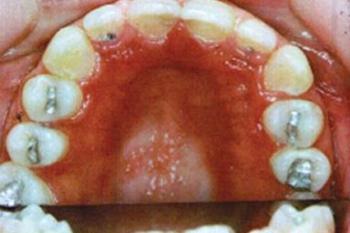
Klinikai kép. A klinikai képet a palatum erős hyperaemiája jellemzi, de azok a területek, melyeket a fogsor fed, nem tünnek érintettnek. Ha a fogsor alatt kiemelkedő terület van, úgy nézhet ki, mintha granuláció lenne, hyperplasticus forma (5.4. ábra, 5.5. ábra). Ezekre a klinikai állapotokra Newton egy lehetséges osztályozást vezetett be (5.5. táblázat).
 
5.4. ábra. Pseudomembranosus candidiasis
 
5.5. ábra. Hyperplasticus candidiasis (papillomatosis palati)
 
5.5. táblázat. A candidiasis klinikai osztályozása Newton szerint
Típus
Leírás
1.
Gombostűfejnyi hyperaemiás pontok főleg a palatumon
2.
Diffúz erythema, melyet a fogsor széle határol
3.
A palatum nyálkahártya nodularis hyperplasiája
 
A pszeudomembrán letörölhető, a törlés során a hám szuperficiális rétege is leválik vörös, enyhén vérző felszín marad vissza. A törlés egy elfogadott klinikai vizsgálatnak tűnik, ami elkülönítheti a pseudomembrános candidiasist a szájnyálkahártya más fehér lézióitól. A lézióból vett kenettel a diagnózis megerősíthető, festhetünk metilénkékkel vagy PAS-sal (perjódsavas Shiff). A mikroszkópban a hifák jól láthatóak (lásd 5.2. ábra). Vehetünk vizsgálati anyagot tamponnal, melyet laborban melaszos agaron szélesztenek és rezisztenciát is lehet vizsgálni belőle.
A száj bármely részén kialakulhat a pseudomembranosus candidiasis, akár a garat hátsó falán is, de gyakori a nyelven. Ez utóbbi formát komolyan kell venni, mert ráterjedhet az oesophagusra és a tracheára, szóródása fatális kimenetelű is lehet. Hasonló kép jelenhet meg más betegségek miatt legyengült szervezetben, bár a megelőző állapot nem mindig felismerhető, pl. antibiotikum vagy kis adag szteroidot szedő egyéneken (5.6. ábra - 5.7. ábra).
 
 
 
Kezelés. A pseudomembranosus candidiasis kezelésének alapelveit a 5.4. táblázat mutatja, de a nem súlyos, szubjektív panaszt alig okozó esetekben az első feladat a hajlamosító tényező meghatározása és megszüntetése. Sok esetben az elsődleges hajlamosító tényező megszüntetése a betegség javulását eredményezi, míg más esetekben, pl. AIDS-ben a szájban is folyamatosan fennálló Candida-fertőzés van. Ilyenkor hosszú távú, a szervezetet kevésbé terhelő antifungális kezelés szükséges az 5.4. táblázatban leírtak szerint.
 

Orális medicina

Tartalomjegyzék


Kiadó: Semmelweis Kiadó

Online megjelenés éve: 2026

ISBN: 978 963 331 709 9

Az Orális Medicina a fogorvostan-hallgatók számára egy kissé elhanyagolt tárgy, mert elméleti alapjainak ismerete korábbi évfolyamok során történik, mint a tárgy oktatása (anatómia, élettan, immunológia). A könyv bizonyos elméleti ismereteket feltételezve, azokra hivatkozva adhat tájékozódási lehetőséget a fogorvostan-hallgatóknak és alkalmanként a fogorvosoknak is a szájbetegségek felismerésére, a diagnózis felállítására és a betegségek kezelésére. A szerzők célja emellett az is, hogy bizonyos tájékoztatást adjanak az általános betegségek fogászati vonatkozásaira és a fogak mellett a száj egyéb alkotóelemeinek és szerveinek betegségeivel kapcsolatban. Bár az orális medicinát a világ minden részén kissé mostohagyermekkén kezelik, egyre nagyobb jelentőséggel bír az életkor meghosszabbodása és a prevenció miatt a fogazat egyre hosszabb ideig való megtartása eredményeképpen. Vegye hasznát az olvasó mind a diagnosztikus, mind a terápiás módszereknek, tanulmányai, illetve praxisa során.

Hivatkozás: https://mersz.hu/kovesi-oralis-medicina//

BibTeXEndNoteMendeleyZotero

Kivonat
fullscreenclose
printsave