Kövesi György (szerk.)

Orális medicina


6.1.1. Primer HSV-fertőzés. Gingivostomatitis herpetica

A herpes simplex vírus (HSV) egy közepes nagyságú DNS-vírus, melynek két fő, fajspecifikusan fertőző típusát ismerjük, de több enyhén módosult átmeneti formája is van. A HSV1 betegséget okoz a szájnyálkahártyán, a garatban és a bőrön. Elemi jelensége a vesicula. A HSV2 elsősorban a genitaliákat fertőzi, de orális betegségben is kimutatták. A HSV mindkét formája azonos léziót produkál, de hosszú távon a HSV2 szerepelhet a cervix carcinomák kialakulásában (ezt eddig csak szövettenyészetben igazolták, HSV2 hatására emelkedett a proliferációs ráta). A száj és arc léziókban elsősorban a HSV1 szerepel.
 
6.1. ábra. A HSV elektronmikroszkópos képe
 
A primer gingivostomatitis herpetica a szájban a leggyakoribb vírusfertőzés. A gyermekek 2 és 8 éves kor között fertőződnek meg és a lefolyás gyakran tünetmentes. Ha a vírus bejut a szervezetbe, az idegek mentén az idegdúcokba jut (ez a száj esetén a Gasser-dúc) és ott stagnál, mint latens vírus. Inkubációs ideje 8–14 nap.
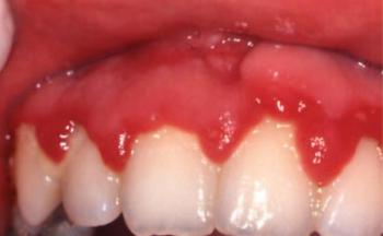
Klinikai kép. A gingivostomatitis herpeticás beteg anamnézisében szerepel herpeszes személlyel való találkozás. Az elsődleges (prodromális) tünetek: magas láz 38,5–39 0C gyengeség, fáradékonyság, izomfájdalom és néha torokfájás. Ebben a korai szakaszban a nyaki nyirokcsomók duzzadtak és érzékenyek lehetnek. A prodromális stádium 1-2 napig tart, majd megjelennek az orális és néha a periorális léziók (6.2. ábra, 6.3. ábra).
 
6.2. ábra. Gingivostomatitis herpetica
 
6.3. ábra. Primer gingivostomatitis herpetica. Az ajak és a periorális bőr is érintett
 
Vesiculák jelennek meg a szájnyálkahártyán, amelyek a nedves környezetben hamar felrepednek és felületes eróziók maradnak vissza. Bár a vesiculák viszonylag kicsik, az összefolyó vesiculák felrepedése nagy, fájdalmas fekélyeket okoz. Herpeslézió a szájban bárhol megjelenhet, de leggyakoribb az ajkon és az orr alatt. A fekélyes területeken kívül a gingiva gyulladt, a nyelven, a buccán, a palatumon vesiculacsoportok észlelhetők. Az egész szájnyálkahártya enyhén hyperaemiás és fájdalmas. Felnőttkorban jelentkező fertőzés hematológiai betegségekre (leukaemia) és immunhiányos állapotokra hívhatja fel a figyelmet, ezért a beteget laborvizsgálatra kell küldeni. A felnőttkori megjelenés gyakori oka lehet még, hogy a beteg hosszabb ideig ki volt téve ultraibolya sugárzásnak (napozás) vagy a beteg enyhén immunhiányos. Az intraorálisléziók mellett a vesiculák megjelenhetnek az ajkon és a száj körüli bőrön, és mivel a bőr viszonylag stabilabb, mint a szájnyálkahártya, a vesiculák tovább megmaradnak. Ritkán a primer HSV-fertőzés szóródhat, átjutva a vér-agy gáton életet veszélyeztető meningitist vagy encephalitist okozhat. Ez főleg súlyos immunhiányos személyeken fordul elő (nem jelent feltétlenül AIDS-et).
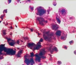
A herpesvírus-fertőzések diagnózisa. A legtöbb eset diagnózisa egyértelműen klinikai, de kimutatható kenetben, tenyésztéssel, csirkeembrió chorioalantois hártyáján, elektronmikroszkóppal és direkt immunfluoreszcenciával (6.4. ábra6.6. ábra).
 
6.4. ábra. Herpeses betegtől vett kenet May–Grünwald–Giemsa-festése
 
6.5. ábra. Herpesvírusok elektronmikroszkópos vizsgálata. Ballonáló sejtdegeneráció
 
6.6. ábra. Hepresvírus direkt immunfluoreszcens vizsgálata
 
Kezelés. Vírusfertőzések elleni specifikus terápia a jelenlegi ismeretek szerint nem elégséges, ezért tüneti kezelés és a szervezet általános állapotának támogatás szükséges, mint ágynyugalom, sok folyadék fogyasztása, láz és fájdalomcsillapítás (chlorhexidines szájöblítés) csökkentik a másodlagos fertőzés (bakteriális szuperinfekció) lehetőségét és a beteg szubjektív panaszait. Szisztémás láz- és fájdalomcsillapításra szükség lehet. Az egészséges immunrendszerű betegeken a HSV-fertőzés önkorlátozó, 10–14 nap alatt spontán gyógyul.
A szájban előforduló herpesvírus fertőzések többségének kezelése tüneti:
  • ágynyugalom,
  • sok folyadék fogyasztása,
  • szisztémás láz-, fájdalom- és lázcsillapítás,
  • fertőtlenítő szájöblítők.
 
Az acyclovir hatásos a herpesvírus csoport tagjai ellen, de nem pusztitja el a ganglionokban stagnáló vírusokat. A bőr és nyálkahártya primer HSV-fertőzések kezelésére szisztémásan nagyon jó, mert felére-harmadára csökkenti a gyógyulás időtartamát. A kisgyermekek a szájban lévő fájdalmas fekélyek miatt tablettát nehezen vesznek be, a szer tablettából kúppá alakítható.
 
Az acyclovir kúp receptje:
Rp.
Tabl. Telvirán No. viginti (XX)
Buttiri cacao quantum satis ut fiat lege artis suppositorium
No. viginti (XX)
DS: 2x1 kúp naponta
 
Ha egy kisgyermek négy-öt napig nem eszik, annak súlyos következménye nem lesz, de ha ennyi ideig nem fogyaszt folyadékot, súlyosan dehidrálódik. Ilyenkor jobb, ha a gyermeket hospitalizáljuk. Szisztémás antivitrális kezelés szükséges immunkompromittált betegeken, akik fogékonyak lehetnek a HSV általános szóródására.
Másodlagos primer fertőzés is egyre gyakrabban fordul elő (felnőttkori gingivostomatitis herpetica), bár a kialakuló HSV-ellenes immunitás nem teljes, az egészséges immunrendszerű személyeken ritkán fordul elő. A szájnyálkahártya egyes területein, főleg a palatumon kialakuló vesiculacsoportokról nem lehet biztosan eldönteni, hogy az primer vagy szekunder fertőzés (6.7. ábra).
 
 

Orális medicina

Tartalomjegyzék


Kiadó: Semmelweis Kiadó

Online megjelenés éve: 2026

ISBN: 978 963 331 709 9

Az Orális Medicina a fogorvostan-hallgatók számára egy kissé elhanyagolt tárgy, mert elméleti alapjainak ismerete korábbi évfolyamok során történik, mint a tárgy oktatása (anatómia, élettan, immunológia). A könyv bizonyos elméleti ismereteket feltételezve, azokra hivatkozva adhat tájékozódási lehetőséget a fogorvostan-hallgatóknak és alkalmanként a fogorvosoknak is a szájbetegségek felismerésére, a diagnózis felállítására és a betegségek kezelésére. A szerzők célja emellett az is, hogy bizonyos tájékoztatást adjanak az általános betegségek fogászati vonatkozásaira és a fogak mellett a száj egyéb alkotóelemeinek és szerveinek betegségeivel kapcsolatban. Bár az orális medicinát a világ minden részén kissé mostohagyermekkén kezelik, egyre nagyobb jelentőséggel bír az életkor meghosszabbodása és a prevenció miatt a fogazat egyre hosszabb ideig való megtartása eredményeképpen. Vegye hasznát az olvasó mind a diagnosztikus, mind a terápiás módszereknek, tanulmányai, illetve praxisa során.

Hivatkozás: https://mersz.hu/kovesi-oralis-medicina//

BibTeXEndNoteMendeleyZotero

Kivonat
fullscreenclose
printsave