Major László (szerk.)

A katasztrófa-készenlét, a reagálás és a beavatkozásbiztonság egészségügyi alapjai


ROBBANÁSOS SÉRÜLÉSEK

Az egyes sérülésfajtákat keletkezési mechanizmusuk szerint öt fő csoportba soroljuk: elsődleges, másodlagos, harmadlagos, negyedleges és ötödleges robbanásos sérülések [107, 114].
 
Elsődleges robbanásos sérülések
 
A TÚLNYOMÁS ÁLTALÁNOS HATÁSAI
Elsődleges robbanásos sérülést (primary blast injury-PBI, barotrauma) a detonáció okozta nyomáshullám (lökéshullám), illetve a hirtelen nyomásváltozás idéz elő nagy hatóerejű robbanásban. Ezt egyrészt a robbanási gáz lökéshulláma, másrészt a környezeti légnyomásváltozás és annak tovaterjedése idézi elő. A nyomáshullám a testfelszínt elérve kis részben visszaverődik, nagyobb része azonban tovaterjed a szövetekbe. A hirtelen nyomásváltozás leginkább a légtartalmú üreges szervek és a dobhártya sérülésével jár [83, 88, 97, 99, 104].
Az elsődleges robbanási sérülés mértékét a sérült robbanástól való távolsága befolyásolja. A robbanási nyomáshullám erőssége a távolság négyzetével fordítottan arányos. Szabad térben bekövetkező robbanás hatásai enyhébbek, mint zárt térben bekövetkező robbanásé, hiszen a zárt térben (pl. harcjármű, autóbusz) a nyomáshullám intenzitásának csökkenése sokkal lassúbb és a visszavert hullámok hatása sem elhanyagolható. Sík felületek, pl. falak vagy a talaj közelében bekövetkezett robbanás nyomáshulláma a felületről visszaverődve súlyosbíthatja az elsődleges sérülés mértékét [107].
 
A HALLÓSZERV SÉRÜLÉSEI
A légtartalmú szervek közül a hallószerv sérül leggyakrabban. A dobhártyasérülés fájdalommal, vérzéssel, halláscsökkenéssel és fülzúgással járhat. A dobhártya szakadása átlagosan 35 kPa csúcsnyomás felett következik be.
 
A FELSŐ LÉGUTAK SÉRÜLÉSEI
A robbanásos túlnyomás okozta sérülés legkorábbi jelei a felső légutakon láthatók petechiák és ecchymosis formájában, melyeket a submucosa és a mucosa bevérzései, illetve az ödéma okoznak. A gége sérülései a vestibulum felett és az epiglottis hátsó felszínén, a tracheáé random vagy a gyűrűknek megfelelő elrendezésben.
 
A TÜDŐ SÉRÜLÉSEI
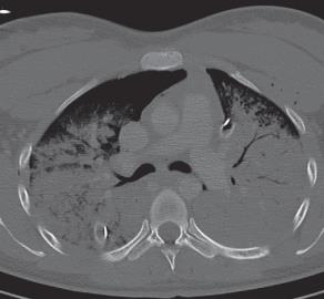
A nyomáshullám 100 kPa felett főleg a tüdő sérülését eredményezi, kisebb-nagyobb bevérzésektől a súlyos tüdőroncsolódásig, következményes légmellel. A túlnyomásos tüdősérülés az elsődleges robbanásos sérülések leggyakoribb primer halálozási oka. Az azonnal halált okozó emboliák forrása a tüdő. Emellett a nagy kiterjedésű tüdőcontusio a második számú halálok [78, 94].
A túlnyomás okozta sérülés legsúlyosabb tünetcsoportja az ún. robbanásos tüdő (blast lung), mely klinikailag apnoe, bradycardia és hypotensio triászának képében nyilvánul meg. A robbanásos tüdő képe az esetek egy részében a robbanást követően azonnal, más részében 12–48 órával később alakul ki. A leggyakoribb halálok a robbanást kezdetben túlélők között a robbanásos tüdő kialakulása. Mellkasi AP röntgenfelvételen kétoldali, jellegzetes pillangó alakú elváltozás észlelhető [107].
A legsúlyosabb tüdősérülést az akcelerációs-decelerációs mechanizmus okozza, amikor a tüdőparenchyma leszakad az erekről, vérzést és légemboliát okozva. A nyomáskülönbség összepréseli az alveolusokban lévő összenyomható levegőt, átszakítja az alveolaris membránt és azok egybenyílása a légzőfelület csökkenését eredményezi. A nyomáshullám átterjed az összenyomhatatlan folyadéknak tekinthető tüdőszövetekre, az eltérő sűrűségű szövethatárokon súlyos sérülést eredményezve. A lökéshullám áthaladtával az alveolusokban összepréselt levegő hirtelen kitágul s ez a kialakult sérüléseket tovább súlyosbítja (légembolia). Kiterjedt vérzések jellemzők a tüdő állományában. A füst és a robbanási gázok belélegzése a tüdő sérülését súlyosbíthatja.
A túlnyomásos sérülés azonnali és legnagyobb halálozással járó szövődménye a légembolia. Valódi kóroki előfordulása ismeretlen. Az alveolusok és az interlobalis erek együttes sérülését tartják lehetséges előidéző oknak. A nyomáshullám által az alveolusokban összenyomott levegő a nyomáshullám tovaterjedése után hirtelen tágulni kezd, és a sérült érfalon át az érpályába préselődik. Az alveolaris septumok szakadása emphysemát okoz, ezáltal levegő jelenik meg az interstitialis térben vagy subpleuralis cysták formájában, melyek a pleura felé törhetnek ki. Ennek eredménye légmell, azaz pneumothorax (PTX).
 
16.1. ábra. Robbanásos tüdő (blast lung) CT képe (a szerző felvétele)
 
A SZÍV SÉRÜLÉSEI
Többféle mechanizmus vezethet károsodásához: direkt contusio, neurocardialis reflexek, sejtszintű állománykárosodás, coronariaelzáródás légembolia vagy fibrinkiválás miatt [94]. A túlnyomás kapcsán igen gyakran ritmuszavarok jelentkeznek: asystole, bradycardia, tachycardia, kamrafibrillatio.
 
HASÜREGI SÉRÜLÉSEK
Az emésztőrendszer sérülései gyakran fordulnak elő többszörös, illetve víz alatti robbanások esetén. A hasüregben a bélcsatorna nagy gáztartalmánál fogva a legsérülékenyebb [107]. A bélcsatorna falán ödéma, bevérzések, perforatio és esetleg laceratio jelentkezik. Leggyakrabban az alsó vékonybélszakaszon, a coecum, de leginkább az ileocoecalis átmenet tájékán, ahol a legtöbb gáz gyülemlik fel. A következményes akut hasi tünetek késleltetett formában, a sérüléstől számított 6–96 óra múlva alakulnak ki. A mesenterium sérülése sem ritka. A mesenterialis ischaemia oka leggyakrabban a légembolia. Magasabb túlnyomás esetén a máj és a lép sérülése gyakoribbá válik. Felszíni robbanáskor leginkább harmadlagos mechanizmussal, tompa hasi trauma hatására következik be sérülésük. Zúzódás és szakadás egyaránt előfordul következményes haemoperitoneummal. A vesék és a hasnyálmirigy sérülése igen ritka.
 
VÉGTAGSÉRÜLÉSEK
A gyalogság elleni aknák (melyek telepítésének célja az áldozat harcképtelenné tétele s nem feltétlen megölése) okoznak leggyakrabban végtagi sérülést, elsősorban az alsó végtagon. Jellemző az igen magas robbanási túlnyomás (1500 kPa felett), mely a végtag rendkívüli roncsolódását, gyakran amputációját eredményezi. A detonáció során a nyomás igen hirtelen megnövekszik, majd a távolsággal arányosan jelentős mértékben csökken, így következhet be, hogy az alsó végtag amputációt szenved, de nem alakul ki tüdősérülés. A kiterjedt roncsolás következtében a vérvesztés számottevő lehet. Emellett a szövetek hőkárosodása is jelentős. Másodlagos mechanizmusként a szövetekben nagy mennyiségű idegen anyag található: föld, kövek, repeszek, lábbeli- és ruhafoszlányok, egyéb idegentestek. A kiterjedt szövetkárosodás és szennyezettség (földdel szennyezett sebek) a bakteriális, főleg anaerob fertőzések kockázatát jelentősen megnövelik. Az amputációs sérülések leggyakoribb helye a lábszár alsó harmada és a láb. Az ellenoldali végtagon és a gáttájon másodlagos mechanizmussal gyakran áthatoló sérülések keletkeznek.
 
Másodlagos robbanásos sérülések
Másodlagos robbanásos sérülés vagy repeszsérülés a robbanó szerkezetből (primer repeszhatás) és a környezetből (szekunder repeszhatás) származó fragmentumok roncsoló hatásának következménye [84]. Szövetkárosító hatásuk nagyságuktól, alakjuktól, sűrűségüktől, a becsapódás helyétől és az utána bekövetkező széttöredezéstől, forgásuktól, a sérült által viselt ruházattól, de legfőképpen a mozgási energiától függ. Ezen mozgási energia a tömeg és a becsapódási (megelőzően a kezdő-) sebesség függvénye [82]. A repeszek kezdősebessége átlagosan 900–2500 m/s között változik. A nagy mechanikai energia miatt a roncsolás többnyire igen kiterjedt. A szekunder repeszek sebessége jóval alacsonyabb, tömegük változó. A sérülések jellege függ a környezetben található anyagoktól. Épületekben bekövetkező robbanás az üvegablakokból származó nagyszámú repesz roncsoló hatása miatt kiterjedt lágyrész-, illetve testüregi sérüléseket okoz. A katonai robbanószerkezetek többsége a repeszhatás fokozása érdekében fémszilánkokat (srapnel) tartalmaz. A terroristatámadásokban használt robbanószerkezetek a roncsoló hatás növelése miatt szegeket, csavarokat és egyéb kisméretű fémanyagokat tartalmaznak. Járművek robbantása során a zárt térben bekövetkező súlyos elsődleges sérülést a jármű alkotóelemeiből képződött másodlagos repeszek súlyosbítják. Páncélzattal nem ellátott katonai járművek, illetve buszok elleni merényletekkor gyakori e jelenség. Öngyilkos merénylők önrobbantásakor az elkövető testéből származó darabok, elsősorban csontok másodlagos repeszként viselkedve az áldozat testébe fúródhatnak.
 
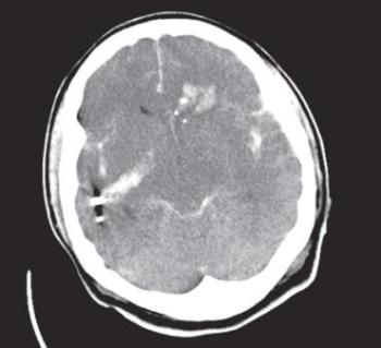
16.2. ábra. Behatoló koponyasérülés CT képe (a szerző felvétele).
 
A másodlagos robbanásos mechanizmus gyakran eredményezi a testüregek behatoló sérülését, elsősorban a hasüreg és a mellkas érintett.
Az egyes repeszek lőfegyverből származó alacsony kezdősebességű lövedékhez hasonlóan viselkednek, elsődleges és másodlagos üregeket hozva létre [117].
 
Harmadlagos robbanásos sérülések
Harmadlagos robbanásos sérülést a nyomáshullámból eredő nagy mechanikai energia miatt az áldozat egész testének hely- és helyzetváltozása okoz, mely közben a környezeti tárgyakkal vagy a talajjal való ütközés idéz elő főleg töréseket (koponya, nagy csöves csontok, medence, mellkas csontos váza). Az ún. akcelerációs (gyorsulási) fázisban a test helyváltoztatása több 10 métert is elérhet. Másrészt a detonáció következtében a testet repülő tárgyak általi ütés is érheti. A különböző szövetek és testrészek gyorsulása eltérő, ez újabb sérülésekhez vezethet a könnyű felületes sérüléstől a súlyos, életveszélyes sérülésekig. A test illetve az érintett testrész gyorsulása a test méretének, alakjának és tömegének a lökéshullám paramétereihez viszonyított arányától függ. A decelerációs (lassulási) fázisban a test különböző tárgyaknak, illetve a földnek ütközve szenved különböző sérüléseket [19]. Az üreges szervek, főleg a mellkas sérülésének, a csont- és gerinctörések és a koponyaűri sérülések fő mechanizmusa ez. Ez egyrészt a direkt ütődés, másrészt a negatív gyorsulás következménye.
 
16.3. ábra. Medence- és combcsonttörés ellátása külső rögzítővel robbanásos sérültön (a szerző felvétele)
 
A sérülések széles skálán jöhetnek létre mindkét fázisban, de tapasztalatok szerint a decelerációs fázisban létrejött sérülések általában kevésbé súlyosak, mint az akcelerációs fázisban.
 
Negyedleges (kevert) robbanásos sérülések
Kevert, negyedleges robbanásos sérülésben a hőhatás a felszabaduló és kisugárzott hő és lánghatás valamint a robbanási gáz magas hőmérséklete eredménye, mely különböző mélységű égést okoz a bőrön és a légutakban [107].
Ezek alapján az égési sérülések két csoportra oszthatók: direkt lánghatás és a kontakt égés (környezet éghető anyagai, ruházat) okozta égés.
A légvákuum-jelenség miatti oxigénhiány fulladást okozhat. Nagy energiájú robbanás esetén a nagy mennyiségű por vagy füst belélegzése is légzési zavart okoz.
A robbanás során felszabaduló és az égéskor keletkező toxikus gázok (pl. CO) mérgezést okozhatnak.
 
Ötödleges robbanásos sérülések
Ötödleges robbanásos sérülést a tömegpusztító (AVB) robbanó eszközök alkalmazásakor annak jellegétől függően sugárzó, kémiai és biológiai ágensek okoznak. A nagy erejű robbanások, öngyilkos merényletek alkalmával nagy energiával szétszóródó emberi testrészek más áldozatok sérüléseit okozhatják, a vérrel és testnedvekkel terjedő betegségek vírusfertőzéseinek fokozott kockázatával (HIV, HCV).
 

A katasztrófa-készenlét, a reagálás és a beavatkozásbiztonság egészségügyi alapjai

Tartalomjegyzék


Kiadó: Semmelweis Kiadó

Online megjelenés éve: 2026

ISBN: 978 963 331 706 8

A tankönyv és a kapcsolódó tantárgy Magyarországon, illetve Közép-Európában teljesen új, egyedülálló, reményeink szerint egy újszerű katasztrófa-orvostani oktatás újabb meghatározó lépése. Létjogosultságát és időszerűségét az utóbbi idők katasztrófái is bizonyítják. Jelen tankönyv a tömegeket érintő, különböző okokból létrejövő egészségkárosodás diagnosztikus, terápiás, preventív és szervezési kérdéseit tárgyalja a nagy tapasztalattal és széles látókörrel rendelkező, a hazai egészségügyben ismert és elismert szerzők tollából. Az elmúlt évtizedek katasztrófáinak (nukleáris, vegyi balesetek, „emerging infections”, cunamik stb.) tapasztalatait, elemzéseinek következtetéseit a szerzők gondosan beépítették a klasszikus ismere-tek tárházába. A kritikus infrastruktúra egészségügyi vonatkozásának taglalása, valamint a hazai szakirodalomban először megjelenő beavatkozásbiztonság fogalmának megalapozása, tárgyalása pedig jelentős mérföldkő a téma kutatásában. Külön erénye a könyvnek, hogy valamennyi új elméleti megállapítás és a gyakorlati tapasztalat beillesztésre került egy komplex vezetési rendszerbe, amelyre már nagy szükség volt az egészségügy békeidőszaki és válsághelyzeti irányításában.

Hivatkozás: https://mersz.hu/major-a-katasztrofakeszenlet//

BibTeXEndNoteMendeleyZotero

Kivonat
fullscreenclose
printsave