Geriátria
Az időskor gyógyászata
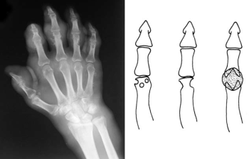
54.2.1. Köszvény
|
|
Primer
|
Szekunder
|
|
Fokozott húgysavképződés
|
|
|
|
Csökkent renalis húgysavkiválasztás
|
|
|
Tartalomjegyzék
- Geriátria
- Impresszum
- I. Szekció. Az időskor általános kérdései
- 1. Időskor: demográfia, epidemiológia, szociológia
- 2. Az öregedés biológiai és élettani vonatkozásai
- 2.1. Az öregedés definíciója és tünetei
- 2.2. Az öregedés kialakulásának elméletei
- 2.3. A szabad gyökök és az öregedés
- 2.4. A mitochondriumok és az öregedés
- 2.5. A dezoxiribonukleinsav (DNS) és az öregedés
- 2.6. A proteinek, a nem enzimatikus glükoziláció (glikáció) és az öregedés
- 2.7. A telomerek és az öregedés
- 2.8. Az endokrin rendszer és az öregedés
- 2.9. Az immunrendszer és az öregedés
- 2.10. Toxikus anyagok, kémiai „hulladékok” felhalmozódása és az öregedés
- Ajánlott irodalom
- 2.1. Az öregedés definíciója és tünetei
- 3. A kötőszövet és támasztó szervrendszer fiziológiás öregedése
- 4. A szív és érrendszer fiziológiás öregedése
- 4.1. A vascularis rendszer rugalmasságának, szerkezetének és funkcióinak elváltozásai az életkor előrehaladtával
- 4.2. A szív szöveti szerkezetének és funkcióinak változásai idősődő korban
- 4.3. A vérkeringési rendszer szabályozásának változásai az öregedés során
- 4.4. Következtetések
- Ajánlott irodalom
- 5. Az öregedés neurobiológiája
- 6. Anyagcsere- és táplálkozási zavarok az előrehaladott életkorban
- 7. A folyadék- és elektrolit-háztartás zavarai időskorban
- 8. Nemi funkciók az öregedő szervezetben
- 9. Egészségmegtartás, az öregedés fékezése
- 10. Az idős ember módosuló pszichoszociális és intrapszichés státusa, alkalmazkodási, beilleszkedési zavarai
- 11. Betegségek jellemzői idős- és aggkorban: multimorbiditás, kórfolyamatok interakciói, regenerációs insufficientia
- 12. Az időskor meghatározó kórfolyamatai
- 13. A család, a társadalom feladatai az öregek segítésében és ellátásában
- 14. Az egészségügyi és szociális ellátás határterületei időskorban; a rehabilitáció lehetőségei és határai
- II. Szekció. Az idős betegek vizsgálata-gondozása: orvosi-jogi-etikai szempontok
- 15. A geriátriai állapotfelmérés alapjai
- 16. Anamnézisfelvétel és fizikális vizsgálat
- 17. A terápia, a gyógyszerek megválasztásának sajátos szempontjai időskorban
- 18. A terápiás compliance-t rontó tényezők
- 19. Az idős gyógyíthatatlan betegek palliatív ellátása
- 20. Pszichológus az idős betegek ellátásában
- 21. Családorvosi feladatok a geriátriai betegek ellátásában
- 22. Idős személyek és betegek ellátásának joga, etikai útmutatója
- 22.1. Az egészségügy, az állampolgár és a jog
- 22.1.1. Az egészségügyi ellátáshoz való jog
- 22.1.2. Az emberi méltósághoz való jog
- 22.1.3. A kapcsolattartás joga
- 22.1.4. Az intézmény elhagyásának joga
- 22.1.5. A tájékoztatáshoz való jog
- 22.1.6. A cselekvőképes beteg lemondhat a tájékoztatásról
- 22.1.7. Az önrendelkezéshez való jog
- 22.1.8. Az ellátás visszautasításának joga
- 22.1.9. Helyettesítő döntéshozatal
- 22.1.1. Az egészségügyi ellátáshoz való jog
- 22.2. Idős személy – etikai kérdések
- 22.3. Idős személy – biztosítás kérdések
- Ajánlott irodalom
- 22.1. Az egészségügy, az állampolgár és a jog
- III. Szekció. Szív- és érrendszeri rendellenességek
- 23. Hypertonia időskorban
- 24. Atherosclerosis
- 25. Koszorúérbetegségek
- 26. Szív balkamraelégtelenség
- 26.1. A balszívfél-elégtelenség patofiziológiája időskorban
- 26.2. A balszívfél-elégtelenség súlyosságának megítélése
- 26.3. A balszívfélelégtelenség típusai
- 26.4. A balszívfélelégtelenség diagnózisát igazoló leggyakrabban használt vizsgálóeljárások
- 26.5. A balszívfélelégtelenség terápiája
- Ajánlott irodalom
- 26.1. A balszívfél-elégtelenség patofiziológiája időskorban
- 27. Myocardialis infarctus időskorban
- 28. Ritmuszavarok
- 28.1. Anamnézis és fizikális vizsgálat
- 28.2. Műszeres diagnosztika
- 28.3. Sinuscsomó-betegség
- 28.4. Szerzett AV-blokk
- 28.5. Pitvarfibrillatio
- 28.6. Pitvari flattern
- 28.7. Pitvari tachycardia
- 28.8. Kamrai extrasystolia
- 28.9. Kamrai tachyarrhythmiák: tachycardia, flattern és fibrillatio
- 28.10. AV nodalis reentry tachycardia
- Ajánlott irodalom
- 28.1. Anamnézis és fizikális vizsgálat
- 29. Pulmonalis embolisatio
- 29.1. A gázcsere és a hemodinamikai változások tüdőemboliában
- 29.2. Panaszok és tünetek
- 29.3. Diagnózis és differenciáldiagnózis
- 29.3.1. Laboratóriumi vizsgálatok
- 29.3.2. EKG
- 29.3.3. Mellkas-röntgenvizsgálat
- 29.3.4. Tüdőscintigraphia (ventilatiós-perfúziós scan)
- 29.3.5. Spirál-CT (helikális komputeres tomographia)
- 29.3.6. Pneumoangiographia (a tüdő arteriographiája)
- 29.3.7. Magmágneses rezonancia vizsgálat (NMR, MRI)
- 29.3.8. Echocardiographia
- 29.3.1. Laboratóriumi vizsgálatok
- 29.4. Terápia
- 29.5. Krónikus thromboemboliás pulmonalis hypertensio
- 29.6. Prognózis
- 29.7. Megelőzés
- 29.8. Nem thromboticus pulmonalis emboliák
- Ajánlott irodalom
- 29.1. A gázcsere és a hemodinamikai változások tüdőemboliában
- 30. Perifériás keringési zavarok
- 31. Nyaki verőerek atherosclerosisa
- IV. Szekció. Időskori neurológiai és pszichiátriai kórképek
- 32. Agyi keringészavarok időskorban
- 32.1. Az idegrendszer öregedése
- 32.2. Az időskorban jelentkező cerebrovascularis megbetegedések
- 32.3. A cerebrovascularis inzultusok késői következményei
- 32.4. A fehérállományelváltozások, leukoaraiosis
- 32.5. „Post-stroke" állapotok pszichiatriai és pszichológiai vonatkozásai
- 32.6. Prevenció, terápia
- Ajánlott irodalom
- 32.1. Az idegrendszer öregedése
- 33. Autonóm funkciózavarok
- 34. Fejfájás időskorban
- 34.1. Elsődleges (önálló) fejfájások
- 34.2. Másodlagos (tüneti) fejfájások leggyakoribb okai
- 34.3. Arcfájdalmak
- 34.4. Speciális, inkább időskorban jelentkező fejfájások
- 34.5. Kivizsgálási stratégia időskori fejfájás esetén
- 34.6. Elsődleges fejfájások terápiája időskorban
- 34.7. A tüneti fejfájások terápiája
- 34.8. Időskorban gyakran szedett, mellékhatásként fejfájást okozó gyógyszerek
- Ajánlott irodalom
- 34.1. Elsődleges (önálló) fejfájások
- 35. Az időskori neurotrauma
- 36. A vestibularis rendszer más szervek degeneratív zavaraihoz is kapcsolódó károsodásai: időskori szédülés
- 36.1. Az egyensúly fenntartásának mechanizmusa
- 36.2. Korral járó változások a szemmozgató rendszerben
- 36.3. Korral járó testtartási és egyensúlyi változások
- 36.4. Időskori szédülés okai
- 36.5. Az időskori szédülés kezelésének alapelvei
- 36.6. Az időskori szédülés kezelése és gondozása
- Ajánlott irodalom
- 36.1. Az egyensúly fenntartásának mechanizmusa
- 37. Az időskori demenciák
- 38. Mozgászavarral járó neurodegeneratív kórképek
- 39. Depresszív és mániás kórképek időskorban
- 40. Szorongás, paranoid psychosis
- 41. Időskori alkoholés gyógyszerabúzus
- 42. Delírium
- 32. Agyi keringészavarok időskorban
- V. Szekció. A vese és az urogenitalis traktus betegségei
- VI. Szekció. Az idős beteg fogorvosi ellátása, szájsebészeti kihívások
- 45. Sztomatológiai változások és a betegek fogorvosi ellátása időskorban
- 46. Szájsebészeti kihívások időskorú betegek kezelésében
- VII. Szekció. Gyakoribb időskori gasztroenterológiai kórképek
- 47. A nyelőcső és a gyomor betegségei az öregedés során
- 48. Vastagbél-kórfolyamatok előrehaladott életkorban
- 49. Idős betegek gastrointestinalis vérzéseinek ellátása
- 50. A hasnyálmirigy betegségei
- 51. Máj- és epeúti betegségek időskorban
- VIII. Szekció. Nőgyógyászati kihívások a ciklus megszűnése után
- IX. Szekció. Mozgásszervi betegségek az időskorban
- 53. Gyulladásos reumatológiai betegségek
- 54. Metabolikus csont- és ízületi kórképek
- 55. Degeneratív ízületi és gerincbetegségek. Lágyrész-rheumatismus
- 56. A csontok daganatos megbetegedései
- X. Szekció. Fontosabb endokrin és anyagcsere-problémák az öregedés során
- 57. Hyperthyreosis és hypothyreosis öregkorban
- 58. Időskori kalciumanyagcsere-zavarok
- 59. Az időskori hypophysis-hipofunkció és hypophysisdaganatok
- 59.1. A hyperprolactinaemia differenciáldiagnosztikája
- 59.2. Hormonálisan inaktív hypophysisdaganatok
- 59.3. A prolaktintermelő daganatok klinikai tüneteinek időskori sajátosságai
- 59.4. Acromegalia
- 59.5. Cushing-kór
- 59.6. A hypophysishipofunkció diagnosztikája
- 59.7. Az időskori hypophyis-daganatok kezelésének legfontosabb szempontjai
- Ajánlott irodalom
- 59.1. A hyperprolactinaemia differenciáldiagnosztikája
- 60. Az időskori mellékvese-betegségek klinikuma
- 61. A cukorbetegség kezelésének sajátos problémái időskorban
- XI. Szekció. Hematológiai kórképek, az időskori onkológiai ellátás alapelvei
- XII. Szekció. Légzőrendszeri betegségek
- 65. Krónikus obstructiv tüdőbetegség
- 66. Tüdőrák
- XIII. Szekció. Gyakoribb időskori fertőzések
- 67. Időskorban előforduló infectiók
- 68. Pulmonalis infectiók
- 68.1. Pneumonia
- 68.1.1. Az infectio mechanizmusa
- 68.1.2. Az immunrendszer időskori változásai
- 68.1.3. Etiológia
- 68.1.4. Panaszok és tünetek, klinikai megjelenés
- 68.1.5. Diagnózis
- 68.1.6. Az időskori pneumonia kezelése
- 68.1.7. Prognózis
- 68.1.8. A pneumonia prevenciója
- 68.1.9. Házi betegápolás
- 68.1.10. A pneumonia mint terminális betegség
- 68.1.1. Az infectio mechanizmusa
- 68.2. Tuberculosis
- 68.3. Légúti vírusfertőzések – influenza
- Ajánlott irodalom
- 68.1. Pneumonia
- 69. Urinalis infectiók
- XIV. Szekció. Bőrgyógyászati kórképek
- XV. Szekció. Szemészeti problémák
- 72. Időskorban gyakori progresszív szemészeti kórképek
- XVI. Szekció. Idős betegek traumatológiai ellátása, sajátosságok a sebészeti perioperatív teendőkben
- 73. Idős sérültek traumatológiai ellátása
- 74. Idős betegek perioperatív ellátása
- 74.1. Életkor és műtét
- 74.2. Perioperatív szövődmények időskorban
- 74.3. A műtéti érzéstelenítést befolyásoló strukturális és funkcionális változások időskorban
- 74.4. Idős betegek műtéti előkészítése
- 74.5. Műtéti érzéstelenítés
- 74.6. Regionális érzéstelenítés
- 74.7. Érzéstelenítés laparoscopos műtétek során
- 74.8. Intraoperatív szövődmények
- 74.9. Posztoperatív szövődmények
- 74.10. Érzéstelenítés egynapos sebészeti beavatkozások során
- Ajánlott irodalom
- 74.1. Életkor és műtét
- XVII. Szekció. Geriátriai kórképek problémaorientált megközelítése
- 75. A 12 leggyakoribb idősés aggkori panasz/tünetcsoport orvosi értékelése és kezelése
- 75.1. Szédülés, elesés
- 75.2. Krónikus fájdalom
- 75.3. Mozgászavar, mozgáskorlátozottság
- 75.4. Légszomj, fulladás
- 75.5. Székszorulás és széklet-visszatartási elégtelenség
- 75.6. Vizelet-visszatartási elégtelenség, vizelési nehézség
- 75.7. Alvási zavar, insomnia
- 75.8. Depresszió
- 75.9. Szellemi leépülés, elbutulás
- 75.10. Hallásromlás, fülzúgás
- 75.11. Nagyfokú látásromlás
- 75.12. Jelentősebb testsúlycsökkenés
- 75. A 12 leggyakoribb idősés aggkori panasz/tünetcsoport orvosi értékelése és kezelése
- Függelék
Kiadó: Semmelweis Kiadó
Online megjelenés éve: 2026
ISBN: 978 963 331 722 8
"Az öregkort nem megérni, elviselni, művészet." (Goethe). „A Geriátria tankönyv jelentős előrelépés időskorú betegeink ellátásának javításában, a megfelelő szakmai felkészülés biztosításában. Ajánlom ezt a munkát valamennyi beteg-ellátó orvoskollégám figyelmébe.” (Dr. Zöllei Magdolna) Az időskorba való átmenet, az időskor iránti elmélyült szakmai elkötelezettségét számos jelentős nemzetközi érdeklődést kiváltó tudományos közleményén túlmenően vezetőségi tagként a Magyar Menopauza Társaság, majd a Magyar Geriátriai Társaság munkájában való részvétele is jelzi. Már több korábbi szakkönyv tapasztalt írója-szerkesztőjeként 2004-ben új feladatba vágott. Mintegy 30 vezető klinikus-oktatót és több tehetséges fiatal szakembert nyert meg egy korszerű ismeretanyagot és újszerű problémaorientált klinikai megközelítési rendszert is bemutató egyetemi geriátriai tankönyv-kézikönyv 17 szekcióba csoportosított 75 fejezetének megírásához. Kezdeményezése sikeresnek bizonyult, hiszen 2005 eleje már a könyv bemutatását és forgalomba kerülését jelenti. A könyvben megvalósultak az idős beteget gyógyító orvost szakmailag hatékonyan felkészítő és kiszolgáló korszerű szerkesztői elképzelések. Ezt jelzi a könyv egyik nagy tekintélyű lektorának, Tringer László professzor bírálatának indító mondata is: „Végre egy klinikai szempontokat előtérbe helyező geriátriai tárgyú kézikönyv!” „A Semmelweis Egyetem vezető oktatóinak munkájával a Semmelweis Kiadó gondozásában ismét egy kitűnő könyv születetett. Az időskorúak egészségének eredményes védelme és betegségeik hatékony ellátása társadalmunk egyik igen fontos kihívása a jelenben és jövőben. Ajánlom ezért a korszerű ismeretanyagot, újszerű szemléletet adó Geriátria könyvet mind egyetemünk felsőéves hallgatóinak, mind különböző szakorvosok-nak készülő orvoskollégáink figyelmébe.” (Dr. Kopper László) „A Geriátria (az időskor gyógyászata) könyv régi hiányt pótol. A kötet korszerű ismere-teket tartalmaz és eligazítást nyújt a mindennapos orvosi gyakorlatban is. Meggyőződés-sel javasolható belgyógyászoknak, geriátriai szakvizsgára készülőknek, családorvosoknak és a geriátria iránt érdeklődő orvostanhallgatóknak.” (Dr. Romics László) „A Geriátria tankönyv jelentős előrelépés időskorú betegeink ellátásának javításában, a megfelelő szakmai felkészülés biztosításában. Ajánlom ezt a munkát valamennyi beteg-ellátó orvoskollégám figyelmébe.” (Dr. Zöllei Magdolna) „Bízom, hogy az alapellátásban egyre több családorvos kollégám teszi majd le a geriátria szakvizsgát, amihez végre Székács Béla egyetemi tanár szerkesztésében korszerű segítséget nyújtó egyetemi Geriátria tankönyv is rendelkezésre áll. Olyan teljesértékű könyv, amely nélkülözhetetlen az időskorúakat gyógyító-gondozó háziorvosi munkánkban.” (Dr. Balogh Sándor) Dr. Székács Béla egyetemi tanár, az MTA doktora, 1967 óta a Semmelweis Egyetem II. Sz. Belgyógyászati Klinikáján dolgozik, melynek az Országos Pszichiátriai és Neurológiai Intézetbe kihelyezett Geriátriai Tanszéki Csoportját vezeti a geriátriai-belgyógyászati-rehabilitációs osztály élén. Geriáter, belgyógyász, neph-rologus, hypertonologus szakorvos, az Európai Hypertonia Társaság klinikai hypertonia specialistája. Aktív szakmapolitikus, már az 1980-as évek második felében az Országos Belgyógyászati Intézet hypertonia-vese munkabizottságának titkára volt. Az 1990-es évek első felében a Belgyógyászati Szakmai Kollégium tagja, titkára, az egészségügyi finanszírozási reformbizottság tagja, napjainkban a Geriátriai Szakmai Kollégium tagja. Az 1980-as évek második felétől több orvostudományi társaság, így a Magyar Nephrologiai Társaság, majd a Magyar Hypertonia Társaság vezetésében vett részt, az utóbbinak ma is a továbbképzésért, minősítésért felelős alelnöke.
Hivatkozás: https://mersz.hu/szekacs-geriatria//
BibTeXEndNoteMendeleyZotero